I. Wprowadzenie
A. Co to jest rakowiak?
Rakowiak jest rzadkim nowotworem, który rozwija się w tkankach miękkich, a szczególnie w mięśniach gładkich, takich jak przewód pokarmowy, dróg żółciowych i układu moczowego. Jest to rodzaj guza, który jest zazwyczaj łagodny, ale w niektórych przypadkach może być złośliwy.

B. Znaczenie i aktualność tematu
Znaczenie i aktualność tematu polega na tym, że nowe metody diagnostyki i leczenia rakowiaka są stale rozwijane, aby poprawić wyniki terapeutyczne pacjentów z tym rodzajem nowotworu. Ponadto, ze względu na rzadkość tego typu nowotworu, edukacja na temat rakowiaka jest istotna dla lekarzy oraz społeczeństwa jako całości, aby promować wczesne rozpoznanie i skuteczne leczenie.
C. Cel i zakres artykułu
Cel artykułu to przedstawienie zrozumiałych informacji na temat rakowiaka, włączając w to jego objawy, metody diagnostyczne, opcje leczenia oraz perspektywy dla pacjentów z tą chorobą. Zakres artykułu obejmie również aktualne trendy w leczeniu rakowiaka oraz możliwe kierunki badań przyszłościowych.
II. Podstawy biologiczne
A. Czym są komórki neuroendokrynne?
Komórki neuroendokrynne to grupa komórek, które mają zdolność do wydzielania hormonów oraz peptydów neurotransmiterowych. Są one obecne w różnych narządach, takich jak trzustka, jelito cienkie, płuca i inne. Ich funkcje obejmują regulację procesów metabolicznych, przewodzenie impulsów nerwowych oraz inne aspekty homeostazy organizmu.
B. Mechanizmy powstawania rakowiaka
Mechanizmy powstawania rakowiaka są złożone i nadal nie do końca zrozumiane. Zwykle rakowiak rozwija się w tkankach, w których znajdują się komórki neuroendokrynne i może powstać w wyniku mutacji genetycznych lub narażenia na czynniki środowiskowe. Istnieje również związek między niektórymi zespołami dziedzicznymi a występowaniem rakowiaka.
C. Różnice między rakowiakiem a innymi nowotworami
Różnice między rakowiakiem a innymi nowotworami mogą obejmować unikalne cechy biologiczne komórek rakowiaka, takie jak zdolność do wydzielania hormonów lub inne właściwości morfologiczne. Ponadto, rakowiak może być trudny do zdiagnozowania ze względu na swoją rzadkość i podobieństwo do innych nowotworów.
III. Klasyfikacja i typy rakowiaka
A. Rakowiak typowy vs atypowy
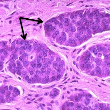
- Rakowiak typowy charakteryzuje się niskim stopniem złośliwości i zazwyczaj wykazuje wolny wzrost. Komórki w raku typowym wyglądają i rozmnażają się w sposób zbliżony do prawidłowych komórek neuroendokrynnych.
- Rakowiak atypowy z kolei ma większe ryzyko przerzutów i może rosnąć szybciej niż rakowiak typowy. Komórki rakowiaka atypowego wykazują abnormałności w strukturze i zachowaniu, co sprawia, że są bardziej złośliwe.
B. Lokalizacja nowotworu
Rakowiak może występować w różnych lokalizacjach anatomicznych, takich jak jelito cienkie, płuca, trzustka, żołądek, jajniki, nadnercza i inne. Różne lokalizacje mogą wpływać na objawy kliniczne oraz strategie leczenia.
C. Stopień złośliwości i grading WHO
WHO (Światowa Organizacja Zdrowia) podzieliła rakowiaki na różne stopnie złośliwości w oparciu o ocenę histologiczną. Stopień złośliwości może wpłynąć na prognozę i decyzje dotyczące leczenia. W zależności od aktywności proliferacyjnej komórek nowotworowych, rakowiaki mogą być klasyfikowane jako G1 (niski stopień złośliwości), G2 (średni stopień złośliwości) lub G3 (wysoki stopień złośliwości).
D. Nowotwory NET a rakowiak – relacja i różnice
Nowotwory neuroendokrynne (NET) to szeroka kategoria nowotworów, do której zalicza się zarówno rakowiaki, jak i inne nowotwory neuroendokrynne. Różnice między nimi mogą obejmować stopień złośliwości, lokalizację, morfologię komórek oraz obecność przerzutów. Rozpoznanie konkretnego nowotworu neuroendokrynnego i określenie jego właściwości jest kluczowe dla odpowiedniego leczenia i prognozy pacjenta.
IV. Czynniki ryzyka i predyspozycje
A. Czynniki genetyczne
Rakowiak często ma podłoże genetyczne i może być spowodowany mutacjami w genach predysponujących do rozwoju tego rodzaju nowotworu. Na przykład, dziedziczny rakowiak jelita grubego (syndrom Lynch) jest związany z mutacjami w genach MSH2, MLH1, MSH6, czy PMS2. Osoby posiadające te mutacje genetyczne mogą mieć zwiększone ryzyko rozwoju rakowiaka jelita grubego.
B. Styl życia i środowisko
Niektóre czynniki stylu życia, takie jak palenie tytoniu, nadmierna konsumpcja alkoholu, niezdrowa dieta i brak aktywności fizycznej, mogą zwiększać ryzyko wystąpienia rakowiaka. Ponadto, ekspozycja na substancje rakotwórcze w środowisku pracy lub otoczeniu może także przyczyniać się do ryzyka rozwoju tego nowotworu.
C. Związane choroby i zespoły genetyczne
Rakowiak może być związany z pewnymi chorobami lub zespołami genetycznymi. Na przykład, rakowiak trzustki może wystąpić u osób z zespołem MEN1 (Multiple Endocrine Neoplasia Type 1), który jest spowodowany mutacją w genie MEN1. Osoby z tym zespołem mają podwyższone ryzyko rozwoju rakowiaka trzustki, przytarczyc, oraz gruczołów przysadki.
Utrzymywanie zdrowego stylu życia, regularne monitorowanie ryzyka genetycznego oraz świadomość związków między chorobami genetycznymi a rozwojem rakowiaka mogą pomóc w zapobieganiu i wczesnym wykrywaniu tej choroby.
V. Objawy i pierwsze oznaki

A. Objawy ogólne
Rakowiak może wywoływać różnorodne objawy ogólne, takie jak:
- zmęczenie,
- utrata masy ciała,
- gorączka,
- nudności
- czy wymioty.
Te objawy mogą być niecharakterystyczne i łatwo mylone z innymi schorzeniami, dlatego ważne jest skonsultowanie się z lekarzem w razie ich wystąpienia.
B. Objawy specyficzne dla lokalizacji
Objawy rakowiaka mogą być również zależne od jego lokalizacji. Na przykład, rakowiak trzustki może powodować:
- bóle brzucha promieniujące do pleców,
- żółtaczkę,
- zaburzenia trawienne,
- czy utratę apetytu.
Natomiast rakowiak jelita grubego może objawiać się zmianami w wypróżnianiu, bólami brzucha, czy obecnością krwi w kale.
C. Zespół rakowiaka – kiedy występuje?
Zespół rakowiaka to zespół objawów neuroendokrynnych, które wynikają z nadmiernego wydzielania hormonów przez komórki rakowiaka. Ten zespół może objawiać się migrenami, wypryskami skórnymi, niestabilnością emocjonalną, biegunką, czy nagłymi skokami ciśnienia krwi. Występowanie zespołu rakowiaka może być wskazaniem do dalszej diagnostyki i leczenia.
W przypadku podejrzenia rakowiaka lub wystąpienia jakichkolwiek niepokojących objawów, zawsze warto skonsultować się z lekarzem, który może zlecić odpowiednie badania i leczenie. Regularne monitorowanie swojego zdrowia i reagowanie na pierwsze oznaki choroby może pomóc w wczesnym wykryciu i skutecznym leczeniu.
VI. Diagnostyka rakowiaka
A. Badania krwi i markerów (np. chromogranina A)
W diagnostyce rakowiaka wykorzystuje się badania krwi, w tym ocenę poziomu specyficznych markerów nowotworowych, takich jak chromogranina A. Wzrost stężenia chromograniny A we krwi może wskazywać na obecność rakowiaka neuroendokrynnego. Badania krwi mogą wspomagać diagnostykę i monitorowanie odpowiedzi na leczenie.
B. Obrazowanie: TK, MRI, PET, scyntygrafia
Obrazowanie medyczne, takie jak tomografia komputerowa (TK), rezonans magnetyczny (MRI), pozytronowa tomografia emisyjna (PET) oraz scyntygrafia, jest istotnym narzędziem w diagnostyce rakowiaka. Pozwala ono na lokalizację guza, ocenę jego rozległości, a także poszukiwanie przerzutów. Dzięki badaniom obrazowym można precyzyjniej planować leczenie i monitorować postępy terapii.
C. Endoskopia i biopsja
Endoskopia, czyli badanie wizualizacyjne narządów wewnętrznych przy użyciu elastycznego urządzenia z kamerą, może być wykorzystana w diagnostyce rakowiaka. Podczas endoskopii można pobrać próbkę tkanki do biopsji, która pozwoli na potwierdzenie obecności nowotworu oraz jego charakterystyki. Wynik biopsji pozwoli na ustalenie rodzaju rakowiaka i wybór odpowiedniej strategii leczenia.
D. Diagnostyka różnicowa
Diagnostyka różnicowa polega na odróżnieniu między rakowiakiem a innymi chorobami, które mogą wywoływać podobne objawy. Istotne jest przeprowadzenie dokładnej oceny klinicznej, wywiadu medycznego oraz wszystkich dostępnych badań diagnostycznych, aby ustalić właściwą diagnozę. Diagnostyka różnicowa pozwala uniknąć błędów diagnostycznych i zaplanować odpowiednie leczenie.
Proces diagnostyczny może być złożony i wymaga współpracy różnych specjalistów, takich jak lekarze onkolog, radiolog, czy patolog. Dokładna diagnoza i ocena rozległości choroby są kluczowe dla określenia optymalnego planu leczenia rakowiaka. Jeśli masz dodatkowe pytania na temat diagnostyki rakowiaka, jestem do dyspozycji, aby udzielić dalszych wyjaśnień.
VII. Stadia i zaawansowanie choroby
A. Systemy klasyfikacji TNM
System klasyfikacji TNM (Tumor, Node, Metastasis) jest powszechnie stosowanym narzędziem do określenia zaawansowania nowotworu, w tym rakowiaka. W ramach tego systemu ocenia się:
- T (tumor) – rozmiar guza pierwotnego i jego penetracja w otaczające tkanki,
- N (node) – obecność przerzutów do węzłów chłonnych,
- M (metastasis) – obecność przerzutów odległych.
Na podstawie wyników oceny T, N i M przypisywane są odpowiednie stadium choroby, co pomaga w planowaniu leczenia i prognozie.
B. Ocena rozsiewu – przerzuty do wątroby, kości, innych narządów
Rakowiak może prowadzić do przerzutów do różnych narządów, takich jak wątroba, kości, płuca czy mózg. Ocena rozsiewu choroby, czyli obecności przerzutów, jest istotna dla określenia zaawansowania choroby i wyboru odpowiedniego planu leczenia. Badania obrazowe, takie jak tomografia komputerowa (TK), rezonans magnetyczny (MRI) czy pozytronowa tomografia emisyjna (PET), są wykorzystywane do identyfikacji przerzutów i określenia ich lokalizacji.
Diagnoza stadiów i zaawansowania rakowiaka jest integralną częścią procesu diagnostycznego i terapeutycznego. Pozwala ona na ustalenie prognozy, określenie odpowiedniego leczenia oraz monitorowanie postępów terapii. Dokładne określenie stadiów choroby i obecności przerzutów jest kluczowe dla zapewnienia pacjentowi optymalnej opieki medycznej.
VIII. Możliwości leczenia
A. Leczenie chirurgiczne
Leczenie chirurgiczne jest często stosowane w przypadku rakowiaka w celu usunięcia guza pierwotnego lub zmniejszenia objętości guza, co może poprawić rokowanie pacjenta. W niektórych przypadkach zabieg chirurgiczny może być jedyną skuteczną metodą leczenia, szczególnie w przypadkach, gdy guz jest i możliwy do wycięcia.
B. Radioterapia i radioembolizacja

- Radioterapia wykorzystuje promieniowanie jonizujące do niszczenia komórek nowotworowych. Może być stosowana jako terapia uzupełniająca po zabiegu chirurgicznym lub jako leczenie pierwotne w przypadkach, gdy chirurgia nie jest możliwa.
- Radioembolizacja polega na podaniu izotopów promieniotwórczych bezpośrednio do naczynia krwionośnego zaopatrującego guza w celu zniszczenia komórek nowotworowych.
C. Chemioterapia i terapie celowane
- Chemioterapia polega na podawaniu leków przeciwnowotworowych, które niszczą komórki nowotworowe.
- Terapie celowane są bardziej ukierunkowane, atakując konkretne cząsteczki biorące udział w wzroście i podziale komórek nowotworowych. Mogą być skuteczne w zahamowaniu wzrostu nowotworu i zmniejszeniu przerzutów.
D. Leczenie hormonalne (analogii somatostatyny)
Rakowiak może czasami reagować na leczenie hormonalne, szczególnie w przypadku rakowiaka trzustki lub jelita grubego. Analogi somatostatyny mogą być stosowane w kontroli objawów oraz zmniejszaniu wydzielania hormonów przez guz.
E. Immunoterapia – przyszłość w leczeniu?
Immunoterapia to nowoczesna metoda leczenia, która polega na wykorzystaniu układu odpornościowego organizmu do zwalczania komórek nowotworowych. W przypadku rakowiaka, immunoterapia może być obiecującą opcją, zwłaszcza u pacjentów z zaawansowaną chorobą. Badania nad immunoterapią w raku rakowiaka są w toku i mogą przynieść nowe sposoby leczenia w przyszłości.
IX. Życie z rakowiakiem
A. Monitorowanie i opieka długoterminowa
Pacjenci z diagnozą rakowiaka będą potrzebowali regularnego monitorowania ich stanu zdrowia oraz opieki długoterminowej. Zalecenia dotyczące częstotliwości monitorowania będą zależały od stadium choroby, rodzaju leczenia oraz indywidualnych potrzeb pacjenta. Regularne wizyty kontrolne u lekarza onkologa oraz badań obrazowych będą istotne w monitorowaniu postępu choroby oraz ewentualnych nawrotów.
B. Skutki uboczne leczenia
Leczenie raka rakowiaka może wiązać się ze skutkami ubocznymi, które mogą mieć wpływ na jakość życia pacjenta. Skutki uboczne mogą obejmować zmęczenie, nudności, utratę włosów, problemy ze snem, zmiany wagi ciała itp. Ważne jest, aby pacjent był świadomy potencjalnych skutków ubocznych i żeby otrzymał wsparcie w ich radzeniu sobie.
C. Dieta i styl życia pacjenta
Dieta i styl życia mogą mieć istotny wpływ na zdrowie pacjenta z rakiem rakowiaka. Bardzo istotne jest utrzymanie zdrowej diety bogatej w warzywa, owoce, pełnoziarniste produkty, zdrowe tłuszcze i białko, a także unikanie przetworzonej żywności oraz nadmiernej konsumpcji alkoholu i papierosów. Regularna aktywność fizyczna może również być korzystna dla pacjentów.
D. Wsparcie psychologiczne i grupy wsparcia:
Diagnoza raka rakowiaka może mieć znaczący wpływ na zdrowie psychiczne pacjenta. Dlatego istotne jest, aby pacjent otrzymał wsparcie psychologiczne w postaci terapii indywidualnej, wsparcia grupowego lub uczestnictwa w grupach wsparcia dla osób z chorobami nowotworowymi. Wsparcie emocjonalne może pomóc pacjentowi w radzeniu sobie ze stresem, lękiem i depresją związanymi z chorobą.
X. Prognozy i przeżywalność
A. Czynniki wpływające na rokowanie
Prognoza pacjentów z rakiem rakowiaka może być wpływana przez wiele czynników, w tym stadium choroby, typ i lokalizację guza, obecność przerzutów, wiek pacjenta, stan ogólnego zdrowia oraz rodzaj leczenia. Inne czynniki, takie jak obecność mutacji genetycznych, mogą również mieć wpływ na rokowanie.
B. Statystyki przeżycia według typu i stadium
Statystyki przeżycia pacjentów z rakiem rakowiaka mogą różnić się w zależności od typu guza i stadium choroby. Na przykład, pacjenci z niskosterczowym rakowiakiem mogą mieć lepsze rokowanie niż ci z wysokosterczowym. Podobnie, pacjenci z rakiem rakowiaka w wczesnym stadium mają zazwyczaj lepsze szanse na przeżycie niż ci z zaawansowaną chorobą.
C. Wskaźniki nawrotu
Nawroty raka rakowiaka mogą wystąpić u pacjentów nawet po skutecznym leczeniu. Wskaźniki nawrotu mogą zależeć od wielu czynników, takich jak rodzaj leczenia, stadium choroby, obecność przerzutów czy reakcja na terapię. Regularne monitorowanie stanu zdrowia po zakończeniu leczenia jest istotne dla wczesnego wykrycia ewentualnego nawrotu i podjęcia odpowiednich działań.
XI. Badania naukowe i innowacje
A. Aktualne badania kliniczne
W obliczu dynamicznego postępu naukowego, trwają liczne badania kliniczne związane z rakiem rakowiaka. Te badania mają na celu zarówno lepsze zrozumienie patogenezy tego typu nowotworu, jak i opracowanie skuteczniejszych metod leczenia. Przykłady badań klinicznych mogą obejmować testowanie nowych leków, ocenę terapii celowanych czy badania nad immunoterapią.

B. Nowe biomarkery i terapie eksperymentalne
Ciągłe odkrycia w dziedzinie nowych biomarkerów mogą pomóc w wczesnej diagnozie i monitorowaniu raka rakowiaka. Ponadto, rozwój terapii eksperymentalnych, takich jak terapie genowe czy terapie celowane, może otwierać nowe możliwości leczenia tej choroby. Badania nad nowymi biomarkerami i terapiami eksperymentalnymi mają na celu zwiększenie skuteczności terapii i poprawę rokowania pacjentów.
C. Rola sztucznej inteligencji w diagnostyce rakowiaka
Sztuczna inteligencja (AI) odgrywa coraz większą rolę w diagnostyce raka, w tym raka rakowiaka. Dzięki technologiom opartym na sztucznej inteligencji, takim jak analiza obrazów medycznych czy przetwarzanie danych genetycznych, możliwe jest wykrywanie zmian nowotworowych wczesnych stadiach oraz personalizacja terapii. AI może również pomóc w przewidywaniu odpowiedzi na leczenie i wskaźników nawrotu.
XII. Edukacja i świadomość społeczna
A. Rola kampanii informacyjnych
Kampanie informacyjne odgrywają kluczową rolę w edukowaniu społeczeństwa na temat rakowiaka. Te kampanie mogą zawierać informacje na temat czynników ryzyka, objawów, metod diagnozy i dostępnych form leczenia tej choroby. Poprzez świadomość społeczną i edukację, kampanie informacyjne mogą pomóc w wczesnym wykrywaniu nowotworu rakowiaka oraz zwiększać szanse na skuteczne leczenie.
B. Organizacje wspierające chorych
Istnieje wiele organizacji non-profit oraz stowarzyszeń, które zapewniają wsparcie i pomoc chorym na raka rakowiaka oraz ich rodzinom. Te organizacje oferują różnorodne usługi, takie jak porady medyczne, wsparcie emocjonalne, informacje na temat dostępnych zasobów lub programy edukacyjne. Poprzez udzielanie wsparcia, organizacje wspierające chorych mogą pomóc pacjentom w radzeniu sobie z chorobą i zapewnić im niezbędną pomoc.
C. Jak zwiększyć świadomość o rzadkich nowotworach?
Aby zwiększyć świadomość o rzadkich nowotworach, takich jak rakowiak, istotne jest kontynuowanie edukacji społecznej i informowanie społeczeństwa o tych rzadkich typach nowotworów. Działania takie jak organizowanie konferencji, warsztatów, kampanii edukacyjnych czy publikowanie materiałów informacyjnych mogą przyczynić się do zwiększenia świadomości społecznej na temat rzadkich nowotworów. Ponadto, ważne jest zachęcanie do badań profilaktycznych i propagowanie zdrowego stylu życia jako środek zapobiegawczy przed nowotworami.
XIII. Perspektywy przyszłości
A. Przewidywane trendy medyczne
W przyszłości przewidywane są znaczące postępy w dziedzinie medycyny, które mogą wpłynąć na lepsze leczenie raka rakowiaka. Rozwój technologii diagnostycznych, takich jak obrazowanie medyczne czy testy genetyczne, pozwoli na bardziej precyzyjne diagnozowanie choroby. Ponadto, badania nad nowymi terapiami, w tym terapiami celowanymi i immunoterapią, mogą przynieść nowe metody leczenia, które będą bardziej skuteczne i mniej inwazyjne dla pacjentów.
B. Personalizacja leczenia
Trendem przyszłości w leczeniu raka rakowiaka będzie personalizacja terapii. Dzięki postępom w dziedzinie biotechnologii i medycyny precyzyjnej, leczenie będzie coraz bardziej spersonalizowane i dostosowane do indywidualnych cech pacjenta oraz charakterystyki nowotworu. Personalizacja leczenia pozwoli na zwiększenie skuteczności terapii i minimalizowanie skutków ubocznych.
C. Dostępność terapii w Polsce i na świecie
Zagadnienie dostępności terapii dla pacjentów z rakiem rakowiaka jest również istotnym punktem przyszłościowych perspektyw. Ważne jest, aby nowoczesne terapie były dostępne zarówno w Polsce, jak i na świecie, aby pacjenci mieli równe szanse na skorzystanie z nowatorskich metod leczenia. Dlatego konieczne jest ciągłe monitorowanie dostępności terapii i podejmowanie działań mających na celu zapewnienie równego dostępu do skutecznych terapii dla wszystkich pacjentów.
XIV. Podsumowanie
A. Kluczowe informacje do zapamiętania
- Rakowiak jest rzadkim typem nowotworu, który rozwija się z komórek neuroendokrynnych.
- Może występować w różnych częściach ciała, a jego objawy zależą od lokalizacji i zaawansowania choroby.
- Diagnostyka raka rakowiaka wymaga zwykle kilku badań, takich jak obrazowanie medyczne czy biopsja.
- Leczenie raka rakowiaka zależy od wielu czynników, takich jak stadium choroby, lokalizacja guza i stan ogólny pacjenta.
B. Znaczenie wczesnego wykrycia
- Wczesna diagnoza raka rakowiaka jest kluczowa dla skutecznego leczenia i poprawy rokowań.
- Regularne badania profilaktyczne, w tym badania przesiewowe i kontrola zdrowia, mogą pomóc w wczesnym wykryciu choroby.
- Wczesne rozpoznanie umożliwia szybsze podjęcie odpowiednich działań terapeutycznych i zwiększa szanse na powodzenie leczenia.
C. Nadzieje dla pacjentów z rakowiakiem
- Mimo że rak rakowiaka jest rzadki i stanowi wyzwanie diagnostyczne i terapeutyczne, wiele badań i postępów w medycynie daje nadzieję pacjentom na skuteczne leczenie.
- Rozwój technologii diagnostycznych i terapeutycznych, personalizacja leczenia oraz zwiększona świadomość społeczna na temat raka rakowiaka przyczyniają się do poprawy opieki nad pacjentami.
- Dzięki ciągłym badaniom klinicznym i innowacjom medycznym, istnieje perspektywa na rozwój skuteczniejszych terapii i lepsze wyniki dla pacjentów z rakiem rakowiaka.
Podsumowując, wczesna diagnoza raka rakowiaka, kluczowe informacje dotyczące choroby oraz nadzieje związane z postępami medycyny stanowią istotne elementy walki z tą rzadką formą nowotworu. W miarę rozwoju nauki i technologii istnieje nadzieja na dalsze poprawy w diagnostyce, leczeniu i rokowaniach dla osób dotkniętych rakiem rakowiaka. W razie dodatkowych pytań czy potrzeby dalszych informacji, proszę o kontakt.
XV. Najczęściej zadawane pytania (FAQ)
A. Czy rakowiak to choroba śmiertelna?
Rakowiak może być śmiertelny, jeśli nie zostanie zdiagnozowany i leczony we wczesnym stadium. Rokowanie zależy od wielu czynników, takich jak lokalizacja guza, stopień zaawansowania choroby i ogólny stan zdrowia pacjenta.
B. Jakie są pierwsze objawy rakowiaka?
Objawy raka rakowiaka mogą być różne w zależności od lokalizacji nowotworu. Niektóre z częstszych objawów to: bóle brzucha, zmiany w rytmie trawienia, utrata masy ciała, zmęczenie, napady kaszlu, duszności czy zmiany na skórze.
C. Czy rakowiak jest dziedziczny?
Niektóre rodzaje raka rakowiaka mogą mieć podłoże genetyczne. W przypadkach, gdy w rodzinie występują przypadki raka rakowiaka, zalecane jest przeprowadzenie badań genetycznych i konsultacja genetyczna.
D. Jak wygląda leczenie raka rakowiaka?
Leczenie raka rakowiaka zależy od wielu czynników, takich jak stadium choroby, lokalizacja guza i stan zdrowia pacjenta. Najczęściej stosowane metody leczenia to chirurgiczne usunięcie guza, terapia farmakologiczna (chemioterapia, leki celowane) oraz radioterapia.
E. Czy można całkowicie wyleczyć rakowiaka?
Możliwość całkowitego wyleczenia raka rakowiaka zależy głównie od zaawansowania choroby i odpowiedzi na leczenie. W niektórych przypadkach, szczególnie gdy rak rakowiaka zostanie zdiagnozowany we wczesnym stadium, istnieje szansa na całkowite wyleczenie lub długoterminową remisję.

