I. Wprowadzenie

A. Czym jest odma opłucnowa?

Odma opłucnowa

Odma opłucnowa to stan, w którym powstaje zbieranie się powietrza w przestrzeni pomiędzy opłucną, czyli błoną pokrywającą płuca, a ścianą klatki piersiowej. Powoduje to rozsuniecie się opłucnej od klatki piersiowej, co może prowadzić do trudności w oddychaniu i innych poważnych komplikacji.

B. Dlaczego odma opłucnowa jest istotnym problemem zdrowotnym?

Odma opłucnowa jest istotnym problemem zdrowotnym z kilku powodów:

  • Może prowadzić do pogorszenia funkcji płuc, co utrudnia oddychanie i może wymagać pilnego leczenia.
  • W niektórych przypadkach odma opłucnowa może być objawem poważniejszego schorzenia, takiego jak uraz piersi czy zawał płuc.
  • Odma opłucnowa wymaga staranności w diagnostyce i leczeniu, aby uniknąć powikłań i zapobiec nawrotom.
  • Jest istotnym zagadnieniem zdrowia publicznego, ponieważ może być również spowodowana przez urazy w wypadkach komunikacyjnych czy pracowniczych.

II. Zrozumienie odmy opłucnowej

A. Budowa anatomiczna opłucnej

Opłucna to błona, która pokrywa płuca i wyściela wnętrze klatki piersiowej. Składa się z dwóch warstw: opłucna trzewna, która przylega do powierzchni płuc, i opłucna ścienna, która przylega do wewnętrznej powierzchni klatki piersiowej. Opłucna pełni kluczową rolę w zapewnieniu odpowiedniego środowiska dla płuc, umożliwiając ich rozszerzanie się i kurczenie podczas oddychania, jednocześnie zapewniając ochronę i wsparcie dla tych delikatnych organów.

B. Rodzaje odmy opłucnowej

Odma jatrogenna
  • Odma samoistna (pierwotna i wtórna): Odma samoistna może być podzielona na pierwotną, która występuje u osób bez zidentyfikowanej przyczyny, oraz wtórną, która jest związana z istniejącym schorzeniem płuc, takim jak rozedma lub uraz.
  • Odma pourazowa: Jest to odma spowodowana obrażeniem klatki piersiowej, takim jak złamanie żeber lub uraz penetracyjny, który powoduje pęknięcie opłucnej.
  • Odma jatrogenna: Występuje jako skutek działań medycznych, takich jak nakłucie klatki piersiowej podczas procedur diagnostycznych lub leczniczych.
  • Odma prężna – najbardziej niebezpieczna postać: Jest to sytuacja, w której powietrze nagromadzone w opłucnej nie ma możliwości ucieczki, co prowadzi do zwiększającego się nacisku na płuca i inne struktury w klatce piersiowej. Może to prowadzić do zatrzymania krążenia i zagrażać życiu pacjenta.

III. Przyczyny odmy opłucnowej

A. Przyczyny samoistne

Istnieją pewne predyspozycje genetyczne, które mogą zwiększyć ryzyko wystąpienia odmy opłucnowej. Osoby mające historię rodzinnych przypadków odmy mogą być bardziej narażone na rozwinięcie tej dolegliwości.

Palenie papierosów to główny czynnik ryzyka związany z rozwojem odmy opłucnowej. Inne czynniki ryzyka to m.in. przewlekłe choroby płuc, takie jak rozedma, urazy klatki piersiowej, infekcje płucne czy intensywne wysiłki fizyczne.

B. Przyczyny pourazowe

  • Urazy klatki piersiowej: Wystąpienie odmy opłucnowej jako skutek urazu klatki piersiowej jest dość powszechne. Złamania żeber czy inne obrażenia mogą spowodować uszkodzenie struktur opłucnowych i prowadzić do gromadzenia się powietrza w opłucnej.
  • Wypadki komunikacyjne i sportowe: Wypadki komunikacyjne oraz urazy sportowe, zwłaszcza te związane z kontaktowymi dyscyplinami sportowymi, mogą prowadzić do urazów klatki piersiowej i wywołać odmę opłucnową.

C. Przyczyny jatrogennne

Procedury medyczne, takie jak biopsje płuc czy wkłucia klatki piersiowej, mogą być związane z ryzykiem wystąpienia odmy opłucnowej jako powikłania. Przeprowadzenie takich interwencji może uszkodzić opłucną i spowodować gromadzenie się powietrza w przestrzeni opłucnowej.

IV. Objawy odmy opłucnowej

Nagły ból w klatce piersiowej

A. Najczęstsze objawy kliniczne

  • Nagły ból w klatce piersiowej: Jednym z najczęstszych objawów odmy opłucnowej jest nagły, ostry ból w klatce piersiowej. Ból ten może być intensywny i nasilać się podczas oddychania lub kaszlu. Pacjenci często opisują go jako uczucie ściskania w klatce piersiowej.
  • Duszność i trudności w oddychaniu: Inny powszechny objaw odmy opłucnowej to uczucie duszności i trudności w oddychaniu. Pacjenci mogą odczuwać, że nie są w stanie złapać pełnego oddechu, a oddychanie staje się utrudnione i płytsze. Objawy te mogą być szczególnie nasilone podczas wysiłku fizycznego.

B. Objawy zaawansowanej odmy prężnej

  • Niebieskie zabarwienie skóry (sinica): W przypadku zaawansowanej odmy prężnej, gdzie gromadzące się powietrze w przestrzeni opłucnowej wywiera nacisk na płuca i serce, może dojść do ograniczenia przepływu tlenu. To może skutkować niebieskim zabarwieniem skóry, zwłaszcza w okolicach ust, nosa czy paznokci – objawem znanym jako sinica.
  • Przyspieszenie akcji serca i spadek ciśnienia krwi: W miarę rozwoju odmy prężnej, nacisk na struktury klatki piersiowej i narządy klatki piersiowej może wywołać przyspieszenie akcji serca (tachykardia) oraz spadek ciśnienia krwi. Osoby z zaawansowaną odmą prężną mogą odczuwać uczucie słabości, zawroty głowy i inne objawy związane z zaburzeniami krążenia.

V. Diagnostyka odmy opłucnowej

A. Wywiad medyczny i badanie fizykalne

Podczas wywiadu medycznego istotne jest pytanie pacjenta o nagłe wystąpienie bólu w klatce piersiowej oraz trudności w oddychaniu. Ważne jest również zapytanie o ewentualne urazy klatki piersiowej, choroby płucne lub zabiegi, które pacjent mógł mieć w przeszłości.

Podczas badania fizykalnego lekarz może zauważyć charakterystyczne objawy odmy opłucnowej podczas osłuchiwania klatki piersiowej. Może to obejmować tzw. szmer osłuchowy skalpulacji (nietypowy dźwięk podczas oddychania) oraz tzw. hipertympanitę – odgłos opukiwania klatki piersiowej zwiększony ze względu na obecność powietrza w opłucnej.

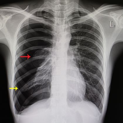
B. Badania obrazowe

  • Zdjęcie rentgenowskie klatki piersiowej: Jednym z podstawowych badań obrazowych stosowanych w diagnostyce odmy opłucnowej jest wykonanie zdjęcia rentgenowskiego klatki piersiowej. Na zdjęciu można zaobserwować obecność powietrza w przestrzeni opłucnowej oraz ewentualne zmiany w strukturze płuc i opłucnej.
  • Tomografia komputerowa: W przypadku wątpliwości co do diagnozy lub konieczności dokładniejszego zobrazowania zmian w klatce piersiowej, może być zalecane wykonanie tomografii komputerowej. Ta bardziej zaawansowana technika obrazowania pozwala na dokładniejszą ocenę stanu klatki piersiowej i struktur anatomicznych.
  • Ultrasonografia (USG) klatki piersiowej: Badanie ultrasonograficzne klatki piersiowej może być przydatne do oceny obecności płynu lub powietrza w przestrzeni opłucnowej. USG pozwala na dynamiczną ocenę stanu pacjenta i może być przydatne zwłaszcza w warunkach pilnych.

C. Badania laboratoryjne

W diagnostyce odmy opłucnowej stosuje się również badania laboratoryjne, w tym gazometrię. Badanie gazometryczne pozwala na ocenę poziomu gazów we krwi, w tym tlenu i dwutlenku węgla, co jest istotne w przypadku zaburzeń oddychania związanych z odmą opłucnową.

VI. Leczenie odmy opłucnowej

A. Postępowanie w odmie samoistnej małego stopnia

W przypadku odmy samoistnej małego stopnia, której objawy nie są nasilone, zaleca się przeprowadzenie obserwacji pacjenta oraz podanie tlenoterapii. Podczas obserwacji pacjenta lekarz monitoruje stan kliniczny i ewentualne zmiany w wynikach badań obrazowych.

B. Zabiegi inwazyjne

  • Drenaż opłucnej: W przypadku odmy większego stopnia lub nawrotowej odmy, może być konieczne wykonanie drenażu opłucnej. Polega to na wprowadzeniu drenu przez klatkę piersiową do przestrzeni opłucnowej w celu odprowadzenia nadmiaru powietrza lub płynu, który powoduje ucisk na płuco.
  • Wideotorakoskopia (VATS): To inwazyjna procedura, podczas której za pomocą endoskopu wprowadzonego przez niewielkie nacięcie w klatce piersiowej lekarz może dokładnie obejrzeć wnętrze klatki piersiowej i opłucnej. W niektórych przypadkach wideotorakoskopia może być stosowana do wykonania drenażu opłucnej.
  • Chirurgiczne leczenie odmy: W przypadku powikłań, nawrotów odmy lub odmy prężnej, konieczne może być podjęcie decyzji o chirurgicznym leczeniu odmy. Podczas zabiegu chirurgicznego lekarz usuwa nadmiar powietrza z opłucnej i może wykonać inne procedury w celu zapobieżenia ponownemu wystąpieniu odmy.
Drenaż opłucnej

C. Postępowanie w odmie prężnej

Odma prężna jest stanem pilnym, w którym gromadzące się powietrze w opłucnej powoduje ucisk na płuco i zaburzenia krążenia. W przypadku podejrzenia odmy prężnej konieczne jest natychmiastowe działanie, takie jak natychmiastowe drenaż opłucnej lub wykonanie torakocentezy w celu udrożnienia dróg oddechowych i poprawy wentylacji.

VII. Powikłania odmy opłucnowej

A. Krótkoterminowe powikłania

W czasie lub po drenażu opłucnej istnieje ryzyko zakażenia w miejscu wprowadzenia drenu. Może to prowadzić do miejscowych objawów zapalenia, takich jak zaczerwienienie, obrzęk, ból czy gorączka. W takiej sytuacji konieczne może być podjęcie odpowiednich działań antybiotykoterapii.

Przewlekłe problemy oddechowe

Nawracająca odma to powikłanie, które polega na ponownym gromadzeniu się powietrza w przestrzeni opłucnowej po zastosowanym wcześniej leczeniu drenażem opłucnej. W takich przypadkach konieczne może być dalsze leczenie inwazyjne lub zastosowanie innych metod terapeutycznych.

B. Długoterminowe konsekwencje zdrowotne

  • Przewlekłe problemy oddechowe: Odma opłucnowa może spowodować przewlekłe problemy oddechowe, takie jak duszności i trudności z oddychaniem, które mogą wymagać długotrwałej opieki medycznej.
  • Bliznowacenie płuc: W rezultacie odmy opłucnowej może dojść do bliznowacenia płuc, co może prowadzić do utraty elastyczności płuc i pogorszenia funkcji oddechowych.

VIII. Zapobieganie odmie opłucnowej

A. Zmiana stylu życia

Palenie papierosów jest jednym z głównych czynników ryzyka wystąpienia odmy opłucnowej. Dym tytoniowy drażni drogi oddechowe, co może prowadzić do uszkodzenia płuc i zwiększonej podatności na rozwój odmy. Dlatego rzucenie palenia jest istotnym krokiem w zapobieganiu odmie opłucnowej oraz innych powikłań zdrowotnych związanych z układem oddechowym.

B. Świadomość ryzyka w przypadku zabiegów medycznych

Przed planowanymi zabiegami medycznymi, zwłaszcza tymi związanymi z układem oddechowym, istotne jest informowanie lekarza o historii odmy opłucnowej lub innych problemach zdrowotnych z nią związanych. Dzięki temu lekarz może podjąć odpowiednie środki profilaktyczne i monitorować pacjenta pod kątem ryzyka powikłań. Współpraca z lekarzem jest kluczowa w minimalizacji ryzyka wystąpienia jatrogennych powikłań i zapewnieniu bezpiecznego przebiegu procedur medycznych.

IX. Podsumowanie

A. Najważniejsze wnioski

  • Odma opłucnowa to stan, w którym powietrze gromadzi się w przestrzeni opłucnowej, prowadząc do ucisku na płuca i trudności w oddychaniu.
  • Objawy odmy opłucnowej mogą obejmować nagłe, ostry ból w klatce piersiowej, duszność, przyspieszone bicie serca, bądź zmianę koloru skóry na szary lub niebieski.
  • Diagnoza odmy opłucnowej często opiera się na badaniu fizykalnym, zdjęciach rentgenowskich klatki piersiowej oraz tomografii komputerowej.
  • Leczenie odmy opłucnowej może obejmować monitorowanie stanu pacjenta, próbę usunięcia powietrza z przestrzeni opłucnowej, a w niektórych przypadkach konieczne może być leczenie chirurgiczne.

B. Znaczenie szybkiej diagnozy i odpowiedniego leczenia

  • Wczesne rozpoznanie odmy opłucnowej jest kluczowe dla uniknięcia powikłań, takich jak niedotlenienie tkanek, zapalenie płuc czy zespół odmy opłucnowej odwracalnej.
  • Szybka interwencja po diagnozie odmy opłucnowej może pomóc zapobiec pogorszeniu stanu pacjenta i zmniejszyć ryzyko długoterminowych konsekwencji.
  • Odpowiednie leczenie, które może obejmować monitorowanie, procedury aspiracyjne lub interwencje chirurgiczne, pozwala na skuteczną eliminację powietrza z przestrzeni opłucnowej i przywrócenie prawidłowej funkcji oddychania.

X. Najczęściej zadawane pytania (FAQ)

A. Czy odma opłucnowa może wystąpić ponownie?

Odma opłucnowa może wystąpić ponownie, szczególnie jeśli występowała już wcześniej u pacjenta. Ryzyko nawrotu jest większe u osób, które miały odmę opłucnową związana z podstawowymi chorobami płuc, takimi jak rozedma płuc.

B. Jak długo trwa leczenie odmy opłucnowej?

Czas trwania leczenia odmy opłucnowej zależy od wielu czynników, takich jak stopień nasilenia odmy, obecność innych chorób czy skuteczność zastosowanej terapii. W niektórych przypadkach leczenie może trwać kilka dni lub tygodni, a czasem może być konieczna interwencja chirurgiczna.

C. Czy mogę uprawiać sport po odmie opłucnowej?

Po przebyciu odmy opłucnowej zaleca się unikanie aktywności fizycznej, szczególnie w intensywnym stopniu, do czasu pełnego zagojenia się tkanek oraz stabilizacji stanu zdrowia. Zaleca się konsultację z lekarzem w celu ustalenia odpowiedniego momentu powrotu do regularnej aktywności fizycznej.

D. Jakie badania kontrolne są potrzebne po przebytej odmie?

Po przebyciu odmy opłucnowej mogą być zalecane regularne badania kontrolne, takie jak kontrola rentgenowska klatki piersiowej, aby monitorować ewentualne nawroty lub zmiany w stanu zdrowia pacjenta. Lekarz może także zalecić inne badania, np. spirometrię, w zależności od indywidualnych okoliczności.

Zioła w leczeniu chorób: Odma opłucnowa

  • Tymianek: Posiada właściwości przeciwzapalne i może pomóc w łagodzeniu objawów Odmy opłucnowej.
  • Mięta pieprzowa: Działa rozkurczowo na mięśnie gładkie, co może przynieść ulgę w przypadku objawów związanych z Odma opłucnową.
  • Kurkuma: Znana z silnych właściwości przeciwzapalnych, może pomóc w redukcji stanu zapalnego związanego z Odma opłucnową.
  • Lawenda: Ma działanie uspokajające i przeciwzapalne, co może wspomóc proces leczenia Odmy opłucnowej.
  • Lukrecja: Posiada właściwości przeciwbakteryjne i przeciwzapalne, co może być pomocne w eliminacji infekcji związanych z Odma opłucnową.
Tymianek

Zalecam skonsultowanie się z lekarzem przed rozpoczęciem stosowania jakichkolwiek ziół w przypadku Odmy opłucnowej, aby upewnić się, że nie będą one kolidować z innymi metodami leczenia i nie spowodują żadnych niepożądanych skutków ubocznych.

Dodaj komentarz

Twój adres e-mail nie zostanie opublikowany. Wymagane pola są oznaczone *

Więcej artykułów

Borelioza: Zrozumienie, Objawy, Leczenie i Zapobieganie

Borelioza

I. Wprowadzenie do Boreliozy A. Definicja i tło Borelioza, znana również jako choroba z Lyme, jest bakteryjną chorobą zakaźną przenoszoną przez kleszcze. Jest spowodowana przez bakterie z rodzaju Borrelia, w

Gruźlica: Współczesne Wyzwania i Terapie

Gruźlica

I. Wprowadzenie do Gruźlicy A. Co to jest gruźlica? Gruźlica jest zakaźną chorobą bakteryjną, która najczęściej atakuje płuca. Jest wywoływana przez Mycobacterium tuberculosis i przenosi się poprzez dropletów wydychanych podczas

Gruźlica prosówkowa: Perspektywy i wyzwania w walce

Gruźlica prosówkowa

I. Wprowadzenie do Gruźlicy prosówkowej A. Co to jest gruźlica prosówkowa? Gruźlica prosówkowa jest zakaźnym schorzeniem płuc wywołanym przez bakterię Mycobacterium tuberculosis. Choroba ta charakteryzuje się powstawaniem charakterystycznych zmian w