I. Wprowadzenie
A. Czym jest odra?

Odra to wirusowa infekcja, która charakteryzuje się wysypką, zapaleniem dróg oddechowych i gorączką. Jest bardzo zaraźliwa i przenosi się głównie drogą kropelkową. Odra najczęściej występuje u dzieci i wymaga leczenia pod opieką lekarza. Jeśli podejrzewasz u siebie lub u kogoś objawy odry, ważne jest jak najszybsze skonsultowanie się z specjalistą.
B. Historia i znaczenie choroby
Odra była jedną z najbardziej powszechnych chorób dziecięcych zanim została wprowadzona szczepionka. Przed erą szczepień była jedną z głównych przyczyn zgonów dzieci na całym świecie. Dzięki programom szczepień, odra została zdecydowanie zmniejszona, ale wciąż pozostaje istotnym wyzwaniem zdrowotnym w niektórych regionach świata z powodu niedostatecznego dostępu do szczepień. W przypadku nieleczonych powikłań odra może prowadzić do poważnych konsekwencji zdrowotnych, dlatego ważne jest, aby zapobiegać jej rozprzestrzenianiu się poprzez szczepienia.
II. Przyczyny i czynniki ryzyka
A. Wirus odry jako główny czynnik
Główną przyczyną ospy jest zarażenie wirusem odry, który należy do rodziny Paramyxoviridae. Jest to wirus RNA, który atakuje komórki układu oddechowego, skóry i ośrodkowego układu nerwowego.
B. Drogi przenoszenia wirusa

Wirus odry przenosi się drogą kropelkową, czyli poprzez kontakt z osobą zarażoną, która kaszle, kicha lub rozmawia. Można również zarazić się poprzez kontakt z zanieczyszczonymi powierzchniami. Wirus jest bardzo zakaźny i może przetrwać na zewnętrznych powierzchniach przez długi czas.
C. Grupy ryzyka i podatność na chorobę
Największym ryzykiem zarażenia odrą są niemowlęta, dzieci oraz osoby starsze, których układ odpornościowy jest osłabiony. Osoby niezaszczepione są również bardziej podatne na zakażenie. W społecznościach o niskim wskaźniku szczepień występuje większe ryzyko wystąpienia epidemii ospy, dlatego ważne jest, aby jak najwięcej osób było zaszczepionych i chronionych przed chorobą.
III. Objawy odry
A. Początkowe objawy (gorączka, kaszel, katar)
Początkowe objawy odry są podobne do przeziębienia i obejmują gorączkę, kaszel oraz katar. Pacjenci mogą odczuwać ogólne zmęczenie i osłabienie, co może prowadzić do dezorientacji z początkiem infekcji.
B. Wysypka charakterystyczna dla odry
Charakterystyczna wysypka dla odry jest jednym z najbardziej rozpoznawalnych objawów. Zwykle zaczyna się od twarzy i szyi, rozprzestrzeniając się następnie na resztę ciała. Wysypka składa się z czerwonych plamek, które zlewają się w większe plamy. Może towarzyszyć swędzenie i pieczenie skóry.
C. Inne objawy: zapalenie spojówek, bóle mięśni
- Odra może także powodować inne objawy, takie jak zapalenie spojówek, które objawia się zaczerwienieniem, obrzękiem i świądem oczu.
- Pacjenci mogą doświadczać także bólów mięśni i stawów, uczucia osłabienia oraz braku apetytu. Jest to ogólna reakcja organizmu na infekcję wirusową, która może utrzymywać się przez cały okres trwania choroby.
- W przypadku wystąpienia tych objawów zaleca się skonsultowanie się z lekarzem w celu diagnozy i leczenia.
IV. Diagnostyka odry

A. Badania laboratoryjne
Diagnostyka odry opiera się na badaniach laboratoryjnych, które mogą potwierdzić obecność wirusa odry. Przykładem może być test PCR (reakcja łańcuchowa polimerazy), który pozwala na wykrycie materiału genetycznego wirusa odry w próbkach pobranych od pacjenta.
Innym testem jest badanie serologiczne, które polega na badaniu poziomu przeciwciał skierowanych przeciwko wirusowi odry we krwi pacjenta.
B. Diagnoza kliniczna
Diagnoza kliniczna odry opiera się głównie na obserwacji charakterystycznych objawów choroby u pacjenta. Lekarz może przeprowadzić dokładne wywiady medyczne i badanie fizyczne w celu potwierdzenia podejrzenia odry. Charakterystyczna wysypka oraz początkowe objawy takie jak gorączka, kaszel i katar są istotnymi elementami diagnozy klinicznej.
C. Rozróżnienie od innych chorób o podobnych objawach
Rozpoznanie odry wymaga również rozróżnienia tej choroby od innych infekcji o podobnych objawach. Wykluczenie innych możliwych przyczyn objawów, takich jak inne wirusowe infekcje układu oddechowego czy egzemy, jest istotne dla poprawnej diagnozy. Lekarz może zastosować różne kryteria diagnostyczne oraz dodatkowe badania, takie jak badania obrazowe czy badania mikrobiologiczne, aby wykluczyć inne choroby i potwierdzić obecność odry.
V. Przebieg choroby
A. Etapy rozwoju odry
- Okres w inkubacji: Po zakażeniu wirusem odry może wystąpić okres inkubacji trwający od 7 do 14 dni, w którym pacjent nie wykazuje jeszcze żadnych objawów choroby.
- Faza prodromalna: Jest to pierwotna faza objawów, która może trwać od 2 do 4 dni. Pacjenci podczas tej fazy mogą doświadczać ogólnych objawów choroby, takich jak gorączka, ból głowy, kaszel i katar.
- Faza egzantematyczna: W tej fazie pojawia się charakterystyczna wysypka punktowa, która zaczyna się zwykle od twarzy i szybko rozprzestrzenia się po całym ciele. Wysypka obejmuje drobne czerwone plamki, które zlewają się w większe plamy.
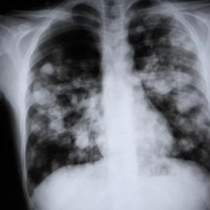
B. Komplikacje związane z odrą
- Zapalenie płuc: Odra może prowadzić do powikłań związanych z układem oddechowym, takich jak zapalenie płuc, które może być poważne, zwłaszcza u osób starszych lub osób z obniżoną odpornością.
- Zapalenie mózgu: W rzadszych przypadkach odra może prowadzić do zapalenia mózgu, co może skutkować poważnymi konsekwencjami neurologicznymi.
- Zakażenia wtórne: Pacjenci z odra są bardziej podatni na zakażenia bakteryjne, które mogą wystąpić jako wtórne infekcje i stanowić dodatkowe zagrożenie dla zdrowia.
C. Odra u dzieci vs. odra u dorosłych
- Odra u dzieci: Większość przypadków odry występuje u dzieci i zazwyczaj jest łagodniejsza u młodszych pacjentów. Objawy mogą być łagodniejsze, a ryzyko powikłań jest mniejsze. Jednakże, ze względu na możliwe powikłania, szczepienie przeciw odrze jest zalecane dla dzieci.
- Odra u dorosłych: Odra u dorosłych może przebiegać bardziej poważnie i być obarczona większym ryzykiem powikłań, zwłaszcza jeśli osoba nie miała odrażenia w dzieciństwie lub nie została zaszczepiona. Dlatego odrę u dorosłych należy potraktować poważnie i konieczna jest opieka medyczna w celu zapobieżenia powikłaniom i złagodzenia objawów choroby.
VI. Leczenie odry
A. Leczenie objawowe
- Objawy łagodne: W przypadku łagodnych objawów odry, leczenie objawowe może być wystarczające. Pacjentowi zaleca się odpoczynek, nawodnienie, leki przeciwbólowe i przeciwgorączkowe, aby złagodzić objawy takie jak gorączka, ból ciała i kaszel.
- Izolacja: W przypadku odry istotne jest izolowanie chorej osoby, aby zapobiec dalszemu rozprzestrzenianiu się wirusa. Zaleca się unikanie kontaktu z osobami nieszczepionymi lub z obniżoną odpornością.
B. Rola witaminy A w terapii
- Opatrunki: Witamina A odgrywa ważną rolę w leczeniu odry, zwłaszcza u dzieci, ponieważ niedobór tej witaminy może prowadzić do powikłań. Dlatego w leczeniu odry zaleca się suplementację witaminy A w postaci kropli lub zastrzyków.
- Zapobieganie powikłaniom: Witamina A pomaga wzmocnić układ odpornościowy i zmniejszyć ryzyko wystąpienia powikłań, takich jak zapalenie spojówek, zapalenie płuc czy zapalenie mózgu.

C. Leczenie powikłań (np. zapalenie płuc)
- Zapalenie płuc: Jeśli wystąpi zapalenie płuc jako powikłanie odry, konieczne może być leczenie antybiotykami w celu zwalczania infekcji bakteryjnej. Pacjentom z zapaleniem płuc zaleca się również odpoczynek, nawodnienie, leki przeciwgorączkowe i inne leki przeciwbólowe, aby złagodzić objawy i wspomóc proces leczenia.
- Monitorowanie: W przypadku powikłań związanych z odrą, takich jak zapalenie płuc, konieczne jest dokładne monitorowanie pacjenta przez lekarza w celu oceny postępu choroby i skuteczności leczenia. W przypadku wystąpienia powikłań, mogą być konieczne dodatkowe interwencje medyczne, aby zapewnić pacjentowi właściwą opiekę i wsparcie w procesie rekonwalescencji.
VI. Zapobieganie odrze
A. Szczepienia jako najskuteczniejsza forma zapobiegania
Szczepienie przeciw odrze jest uznawane za najskuteczniejszą formę zapobiegania tej chorobie. Dzięki szczepieniom możliwe jest wytworzenie odporności organizmu na wirusa odry, co zmniejsza ryzyko zakażenia i rozprzestrzeniania się choroby.
Szczepienia przeciw odrze są powszechnie dostępne w wielu krajach i stanowią obligatoryjną część programów szczepień, szczególnie u dzieci. Poprzez regularne szczepienia populacji, można skutecznie kontrolować i eliminować zachorowania na odrę.
B. Schemat szczepień
Podstawowy schemat szczepień
Zazwyczaj podstawowy schemat szczepień przeciw odrze obejmuje podanie dwóch dawek szczepionki MMR (przeciw odrze, śwince i różyczce). Pierwsza dawka podawana jest zazwyczaj w wieku około 12-15 miesięcy, a druga dawka między 4. a 6. rokiem życia.
Szczepienia u dorosłych
Osoby, które nie zostały zaszczepione w dzieciństwie lub nie miały odry, mogą skorzystać z jednej lub dwóch dawek szczepionki przeciw odrze w wieku dorosłym, aby zwiększyć odporność na tę chorobę.
C. Mity i błędne przekonania na temat szczepionek
Istnieje wiele mitów i błędnych przekonań na temat szczepionek, w tym również szczepień przeciw odrze. Niektórzy ludzie obawiają się skutków ubocznych szczepień, jednak badania naukowe wielokrotnie potwierdziły bezpieczeństwo i skuteczność szczepień.
Wprowadzanie błędnych przekonań na temat szczepień może prowadzić do obniżenia wskaźników szczepień i zwiększenia ryzyka przypadków zachorowań na odrę oraz innych chorób zakaźnych. Dlatego ważne jest edukowanie społeczeństwa na temat bezpieczeństwa i korzyści płynących z regularnych szczepień.
VIII. Wpływ odry na zdrowie publiczne
A. Epidemie i ich wpływ na społeczeństwo
- Rozprzestrzenianie się epidemii: Odra jest chorobą zakaźną, która może szybko rozprzestrzeniać się w społeczeństwie, zwłaszcza wśród osób niezaszczepionych. W wyniku braku odporności populacyjnej, mogą wystąpić epidemie odry, które prowadzą do wzrostu liczby zachorowań i wymagają intensywnych działań w celu kontrolowania choroby.
- Wpływ na służbę zdrowia: Epidemie odrą mogą znacząco obciążać systemy opieki zdrowotnej, zwłaszcza w obszarach, gdzie występuje duża liczba zachorowań. Wymaga to zwiększenia zasobów i personelu medycznego, co może prowadzić do zakłóceń w funkcjonowaniu służby zdrowia.
B. Odra a inne choroby zakaźne

- Powikłania zdrowotne: Odra może powodować powikłania zdrowotne, takie jak zapalenie płuc, zapalenie ucha, zapalenie mózgu i inne infekcje wtórne, co znacząco zwiększa ryzyko wystąpienia innych chorób zakaźnych.
- Wzrost ryzyka zakażeń: Osoby chore na odrę są bardziej podatne na zakażenia innymi chorobami zakaźnymi ze względu na osłabienie układu odpornościowego w wyniku walki z wirusem odry. W konsekwencji może dojść do zwiększenia rozprzestrzeniania się innych chorób w populacji.
C. Globalne wyzwania w walce z odrą
Jednym z głównych globalnych wyzwań w walce z odrą jest nierówności w dostępie do szczepień. W niektórych regionach świata, szczególnie w krajach biednych, brakuje wystarczających zasobów, infrastruktury i edukacji zdrowotnej, co utrudnia skuteczną profilaktykę i kontrolę odry.
W kontekście globalizacji, migracji i intensywnych podróży, istnieje ryzyko przenoszenia wirusa odry między krajami i regionami, co utrudnia kontrolę choroby na poziomie globalnym. Wprowadzanie skutecznych programów profilaktycznych na szczeblu międzynarodowym staje się kluczowym wyzwaniem w kontekście ochrony zdrowia publicznego przed odrą.
IX. Rola edukacji zdrowotnej w zapobieganiu odrze
A. Kampanie informacyjne
Edukacja zdrowotna poprzez kampanie informacyjne odgrywa kluczową rolę w zwiększaniu świadomości społecznej na temat ospy wietrznej. Poprzez kampanie można dotrzeć do szerszego grona osób i przekazać istotne informacje na temat objawów, metod zapobiegania oraz konieczności szczepień.
Kampanie informacyjne mogą promować zdrowy styl życia, zachęcać do szczepień, podkreślać ważność higieny osobistej oraz ostrzegać przed koniecznością izolacji chorych. Dzięki temu społeczeństwo może lepiej zrozumieć i przestrzegać zaleceń mających na celu zapobieganie rozprzestrzenianiu się odry.
B. Rola mediów w szerzeniu wiedzy o chorobie
Media odgrywają istotną rolę w szerzeniu wiedzy o odrze poprzez informowanie społeczeństwa o aktualnej sytuacji epidemiologicznej, przedstawianie objawów i metod leczenia oraz promowanie działań profilaktycznych. Dzięki temu wiadomości dotyczące odry mogą dotrzeć do szerokiej publiczności.
Media mają także zadanie w zwalczaniu dezinformacji na temat ospy wietrznej, która może prowadzić do obniżenia zaufania społecznego do szczepień oraz niewłaściwego podejścia do choroby. Poprzez rzetelną i sprawdzoną informację, media mogą przeciwdziałać fałszywym przekazom na temat odry.
C. Współpraca międzynarodowa w zakresie edukacji zdrowotnej
Współpraca międzynarodowa w zakresie edukacji zdrowotnej dotyczącej odry pozwala na dzielenie się najlepszymi praktykami, badaniami naukowymi oraz doświadczeniami w zwalczaniu choroby. Poprzez globalną wymianę informacji, kraje mogą skuteczniej zapobiegać epidemii i kontrolować zakażenia.
Współpraca międzynarodowa umożliwia koordynację działań na rzecz edukacji zdrowotnej w obszarze zapobiegania odrze. Poprzez wspólne inicjatywy, programy szkoleniowe oraz kampanie informacyjne, kraje mogą skuteczniej podnosić świadomość społeczną i promować działania zapobiegawcze w walce z chorobą.
X. Szczepionka MMR
A. Skład i działanie szczepionki MMR
- Skład szczepionki: Szczepionka MMR to preparat łączony składający się z trzech komponentów: przeciwko odrze, śwince i różyczce. Każdy z tych składników zawiera osłabione lub zabite wirusy odpowiedzialne za dane choroby.
- Działanie szczepionki: Szczepionka MMR działa poprzez aktywację układu odpornościowego organizmu do produkcji przeciwciał chroniących przed zakażeniem odrą, świnką i różyczką. Po zaszczepieniu organizm rozwija swoją odporność na te choroby, dzięki czemu w przypadku kontaktu z wirusem będzie miał lepsze szanse na skuteczną obronę.

B. Efektywność i bezpieczeństwo
- Efektywność: Szczepionka MMR jest uznawana za bardzo skuteczną w zapobieganiu chorobom, przeciw którym zapewnia ochronę. Po pełnym cyklu szczepień, organizm zaszczepionej osoby staje się odporny na odrę, świnkę i różyczkę, zmniejszając ryzyko rozwoju tych chorób lub łagodząc ich przebieg.
- Bezpieczeństwo: Szczepionka MMR jest bezpieczna dla większości osób i obowiązkowa w wielu krajach, ze względu na swoją skuteczność i niskie ryzyko powikłań. Większość osób reaguje na szczepionkę bez problemów, mogą wystąpić jedynie łagodne objawy uboczne, takie jak stan zapalny w miejscu wkłucia czy lekkie objawy grypopodobne.
C. Kontrowersje i obawy dotyczące szczepionki
Istnieją grupy osób, które podważają skuteczność i bezpieczeństwo szczepionki MMR, twierdząc, że może ona powodować powikłania czy skutki uboczne. Kontrowersje te często są oparte na dezinformacji lub mitach dotyczących szczepień, co może prowadzić do obniżenia wskaźników szczepień i zwiększenia ryzyka epidemii.
Niektórzy rodzice obawiają się skutków ubocznych szczepionki MMR, takich jak alergie, reakcje po szczepieniowe czy związanie z autyzmem (choć nie ma dowodów na taki związek). Ważne jest, aby informować społeczeństwo o rzeczywistych korzyściach szczepień i faktycznie bazować na naukowych danych, aby skutecznie przeciwdziałać obawom i kontrowersjom dotyczącym szczepień.
XI. Odra w Polsce: stan obecny
A. Statystyki zachorowań
W Polsce obserwuje się niestety wzrost przypadków zachorowań na odrę w ostatnich latach. Odnotowano pewne epidemie w różnych regionach kraju, które spowodowały zwiększenie liczby zachorowań wśród dzieci i dorosłych.
Szczególnie narażone na zakażenie odrą są niemowlęta i dzieci w wieku przedszkolnym, które nie zostały jeszcze zaszczepione bądź nie ukończyły pełnego programu szczepień. Wzmożone ryzyko stanowią również osoby starsze, które nie miały kontaktu z wirusem w okresie dzieciństwa i nie są zaszczepione.
B. Wyzwania w Polsce
Jednym z głównych wyzwań w Polsce jest zmienny, ale często niski wskaźnik szczepień przeciw odrze. Niekiedy wynika to z braku dostępu do informacji o szczepieniach, obaw rodziców lub niechęci do ich stosowania.
W niektórych społecznościach mogą występować bariery zdrowotne i społeczne, które utrudniają dostęp do szczepień. Należą do nich m.in. niska świadomość zdrowotna, trudności w uzyskaniu terminów w przychodniach czy brak zaufania do służby zdrowia.
C. Polityki rządowe dotyczące walki z odrą
- Kampanie informacyjne: Rząd i instytucje zdrowia podejmują działania mające na celu zwiększenie świadomości społecznej na temat ospy wietrznej i sposobów jej zapobiegania. Kampanie informacyjne oraz edukacja dotycząca korzyści i bezpieczeństwa szczepień są kluczowym elementem walki z odrą.
- Łagodzenie barier dostępu: Rząd podejmuje także starania w celu łagodzenia barier dostępu do szczepień, poprzez dostępność bezpłatnych lub refundowanych szczepień w ramach programów zdrowotnych oraz ułatwienia w uzyskaniu terminów szczepień dla osób zainteresowanych.
- Monitorowanie i reagowanie na epidemie: Rządowe agendy zajmujące się ochroną zdrowia monitorują sytuację epidemiologiczną w kraju i podejmują szybkie działania w przypadku wykrycia ognisk zakażeń. Wspierają także systemy raportowania przypadków zachorowań i monitorowania skuteczności programów szczepień.
XII. Odra na świecie: globalny kontekst
A. Przypadki i epidemie w różnych krajach
Odra nadal stanowi poważny problem zdrowotny w wielu krajach na całym świecie. Pomimo postępów w szczepieniach, wciąż występują przypadki zachorowań i epidemie, zwłaszcza w regionach o słabej infrastrukturze zdrowotnej.
B. Inicjatywy międzynarodowe mające na celu eliminację odry

W ramach współpracy międzynarodowej prowadzone są różne programy mające na celu eliminację odry na całym świecie. Organizacje takie jak WHO (Światowa Organizacja Zdrowia) i UNICEF (Fundusz Narodów Zjednoczonych dla Dzieci) angażują się w inicjatywy szczepień masowych i edukacyjnych mających na celu zmniejszenie liczby zachorowań.
C. Trudności w krajach o niskiej dostępności do szczepionek
Kraje o niskiej dostępności do szczepionek mogą napotykać trudności w zwalczaniu odry. Brak odpowiednich zasobów, infrastruktury i wsparcia może prowadzić do wzrostu liczby zachorowań i epidemii. Wsparcie międzynarodowe i programy pomocowe są kluczowe w zapewnieniu równego dostępu do szczepień na całym świecie.
XIII. Powikłania odry
A. Powikłania neurologiczne
Odra może prowadzić do powikłań neurologicznych, takich jak encefalitis (zapalenie mózgu) oraz zespół panencefalitis (działa na mózg i różne narządy, prowadząc często do zgonu). Te powikłania neurologiczne mogą być szczególnie niebezpieczne i wymagają natychmiastowej interwencji medycznej.
B. Powikłania układu oddechowego
Odra może również powodować powikłania układu oddechowego, takie jak zapalenie płuc i zapalenie oskrzeli. Te infekcje mogą być poważne, szczególnie u osób z osłabionym układem odpornościowym. W niektórych przypadkach mogą one prowadzić do hospitalizacji i wymagają specjalistycznego leczenia.
C. Długoterminowe efekty odry
Oprócz natychmiastowych powikłań, odra może również mieć długoterminowe skutki dla zdrowia. Osoby, które przebyły odrę, mogą mieć zwiększone ryzyko rozwinięcia innych chorób, takich jak zapalenie płuc w przyszłości.
Ponadto, istnieje ryzyko uszkodzenia wzroku, uszkodzenia słuchu oraz zaburzeń rozwojowych u dzieci dotkniętych odrą. Dlatego ważne jest, aby unikać zakażenia odry poprzez regularne szczepienia i staranne monitorowanie zdrowia, zwłaszcza u dzieci.
XIV. Odra a inne choroby zakaźne
A. Porównanie odry z ospą wietrzną
Zarówno odra, jak i ospa wietrzna, są wirusowymi chorobami zakaźnymi, które są łatwo przenoszone drogą kropelkową. Odra i ospa wietrzna mają podobne objawy, takie jak wysoka gorączka, wysypka skórna oraz objawy układu oddechowego.
Jednakże, istnieją różnice w przebiegu choroby oraz w skuteczności szczepionek przeciwko nim. Szczepionka przeciwko odrze jest bardziej skuteczna i zapewnia długotrwałą odporność, podczas gdy szczepionka przeciw ospie wietrznej nie gwarantuje takiej samej skuteczności na dłuższą metę.
B. Odra a różyczka
Odra i różyczka są dwiema różnymi chorobami zakaźnymi, ale mają pewne podobieństwa. Obie są wirusowe, przenoszone drogą kropelkową i mogą powodować gorączkę oraz wysypkę. Różnica polega głównie na objawach i powikłaniach.
Różyczka może prowadzić do poważnych skutków zdrowotnych, takich jak wady rozwojowe u dzieci, jeśli kobieta ciężarna zachoruje w ciąży. Dlatego szczepienie przeciw różyczce jest zalecane dla ochrony zarówno kobiet w ciąży, jak i populacji generalnej.
C. Zakażenia odry a wzrost odporności na inne choroby
Istnieją badania sugerujące, że zakażenie odry może czasowo osłabić układ odpornościowy, co może zwiększyć ryzyko na inne choroby zakaźne. Dlatego szczepienie przeciwko odrze nie tylko chroni przed samą chorobą, ale także pomaga w utrzymaniu ogólnego stanu odporności organizmu. Ochrona przed odrą może również pomóc w zapobieganiu epidemii chorób zakaźnych poprzez utrzymywanie wysokiego poziomu odporności społecznościowej.
XV. Odra w kontekście podróży międzynarodowych
A. Ryzyko zachorowania podczas podróży
Podróżując międzynarodowo, istnieje ryzyko zarażenia się odrą zwłaszcza dla osób niezaszczepionych lub z niedostatecznym zabezpieczeniem odpornościowym. Może to wystąpić zarówno podczas pobytu w kraju endemicznym dla odry, jak i podczas podróży samolotem, gdzie łatwo może dojść do zakażenia w zamkniętej przestrzeni w przypadku obecności zarażonych osób.
B. Szczepienia przed wyjazdem
Zaleca się, aby osoby planujące podróż międzynarodową były zaszczepione przeciwko odrze. Szczepienia mogą zapobiec zakażeniu oraz rozprzestrzenianiu się choroby. Przed planowanym wyjazdem warto skonsultować się z lekarzem w celu upewnienia się, czy posiadamy odpowiednią ochronę szczepionkową przeciwko odrze.
XVI. Rola systemów opieki zdrowotnej w walce z odrą
A. Organizacje zdrowia publicznego
Systemy opieki zdrowotnej, w tym organizacje zdrowia publicznego, odgrywają kluczową rolę w zapobieganiu rozprzestrzenianiu się ospy wietrznej. Poprzez monitorowanie zachorowań, prowadzenie kampanii szczepień, edukację społeczeństwa i śledzenie przypadków, organizacje zdrowia publicznego są w stanie skutecznie zarządzać ryzykiem związanym z odrą.
B. Reakcje systemów ochrony zdrowia w przypadku epidemii
W przypadku wystąpienia epidemii ospy wietrznej, systemy ochrony zdrowia muszą szybko zareagować poprzez izolację przypadków, poszukiwanie osób, które miały kontakt z zarażonymi, oraz zapewnienie odpowiednich środków leczniczych i profilaktycznych dla osób narażonych na zakażenie. Systemy te muszą być przygotowane do skali epidemii i mieć wypracowane procedury postępowania w przypadku nagłego wzrostu zachorowań.
C. Wyzwania w organizowaniu opieki zdrowotnej w regionach o wysokiej zachorowalności
Regiony o wysokiej zachorowalności na odrę mogą napotykać trudności związane z organizacją opieki zdrowotnej ze względu na duże obciążenie systemu medycznego. Wyzwania te mogą obejmować brak wystarczającej liczby personelu medycznego, ograniczone zasoby leków i szczepionek, a także trudności logistyczne związane z dostarczeniem opieki medycznej do odległych obszarów.
Dlatego ważne jest, aby systemy opieki zdrowotnej były w stanie dostarczyć skuteczną opiekę medyczną w obszarach wysokiej zachorowalności poprzez wzmocnienie zasobów i infrastruktury medycznej oraz zapewnienie wsparcia ze strony rządu i organizacji międzynarodowych.
XVII. Podsumowanie
A. Kluczowe informacje o odrze
- Odra to wirusowa choroba zakaźna, która manifestuje się wysypką, gorączką i objawami grypopodobnymi.
- Może prowadzić do powikłań, takich jak zapalenie płuc, zaburzenia neurologiczne i zapalenie mózgu.
- Choroba jest bardzo zaraźliwa i rozprzestrzenia się drogą kropelkową, często atakując dzieci i osoby niezaszczepione.
- W przypadku ciężkiego przebiegu może prowadzić nawet do śmierci.
B. Rola szczepień w eliminowaniu choroby
- Szczepienia są kluczowym narzędziem w eliminowaniu ospy.
- Szczepionka MMR jest skutecznym sposobem na zapobieganie odrze, śwince i różyczce.
- Dzięki szczepieniom udaje się kontrolować i ograniczać zakażenia, zmniejszając ryzyko epidemii.
- Zapewnienie wysokiego pokrycia szczepieniami w społeczeństwie ma kluczowe znaczenie w zapobieganiu odrze i ochronie najbardziej wrażliwych grup, takich jak niemowlęta, kobiety w ciąży i osoby z obniżoną odpornością.
C. Przyszłość walki z odrą
- W przyszłości kontynuacja programów szczepień oraz świadomość społeczeństwa na temat znaczenia profilaktyki zdrowotnej będą kluczowe w walce z odrą.
- Należy także kontynuować badania naukowe nad doskonaleniem metod prewencji i leczenia choroby.
- Ważne jest również monitorowanie ewentualnych nowych szczepów wirusa odry oraz reagowanie na pojawiające się zagrożenia, aby utrzymać kontrolę nad chorobą i dążyć do eliminacji ospy na globalną skalę.
XVIII. Najczęściej zadawane pytania (FAQ)
A. Jakie są główne objawy odry?
Główne objawy odry obejmują wysypkę, wysoką gorączkę, katar, kaszel, zapalenie spojówek oraz uczucie ogólnego złego samopoczucia. Wysypka zaczyna się zazwyczaj na twarzy i szybko rozprzestrzenia się po całym ciele.
B. Kiedy należy udać się do lekarza, jeśli podejrzewamy odrę?
Jeśli podejrzewasz, że masz odrę z powodu wystąpienia typowych objawów, takich jak wysypka i gorączka, powinieneś natychmiast skontaktować się z lekarzem. Ważne jest, aby unikać kontaktu z innymi, a także poinformować personel medyczny o podejrzeniu ospy przed wizytą w placówce medycznej.
C. Czy odra jest w pełni wyleczalna?
Odra nie posiada specyficznej kuracji, ale objawy mogą być leczone objawowo. Większość osób wyzdrowieje w ciągu kilku tygodni po wystąpieniu objawów. Ważne jest jednak, aby unikać powikłań poprzez właściwą opiekę medyczną i zaleconą izolację.
D. Jakie ryzyko wiąże się z nieprzyjęciem szczepionki przeciw odrze?
Nieprzyjęcie szczepionki przeciw odrze niesie ze sobą ryzyko zarażenia się wirusem odry i rozprzestrzeniania choroby, szczególnie w społecznościach, gdzie nie występuje odpowiednie pokrycie szczepieniowe. Może to prowadzić do powikłań zdrowotnych oraz szerzenia się epidemii.
E. Jakie są możliwe powikłania po przebytej odrze?
Możliwe powikłania po przebytej odrze obejmują zapalenie płuc, zapalenie ucha, zapalenie mózgu, biegunkę, śpiączkę oraz zapalenie opon mózgowo-rdzeniowych. Osoby z obniżoną odpornością, szczególnie niemowlęta i osoby starsze, są bardziej narażone na ciężkie powikłania po przebytej chorobie.

