I. Wstęp
A. Definicja Gruźlicy Pierwotnej

Gruźlica pierwotna jest formą gruźlicy, która rozwija się bezpośrednio w płucach w wyniku infekcji bakteryjnej Mycobacterium tuberculosis. Może prowadzić do poważnych powikłań, w tym na przykład rozprzestrzenienia się bakterii poza płuca.
B. Znaczenie Tematu w Dzisiejszym Świecie
Gruźlica pierwotna nadal stanowi poważny problem zdrowotny na całym świecie, zwłaszcza w krajach rozwijających się. Rozwój odporności na antybiotyki i zwiększony współwystępujący HIV sprawiają, że kontrola tej choroby wymaga ciągłego wysiłku.
C. Cel Artykułu
Celem tego artykułu jest zwiększenie świadomości na temat gruźlicy pierwotnej, jej objawów, metod diagnozy i leczenia, a także jak zapobiegać jej rozprzestrzenianiu się.
II. Podstawy Gruźlicy Pierwotnej
A. Czym Jest Gruźlica?
Gruźlica jest zakaźną chorobą bakteryjną wywoływaną przez pałeczki gruźlicy (Mycobacterium tuberculosis). Może ona wpływać na różne części ciała, ale gruźlica pierwotna koncentruje się na infekcji płucnej.
B. Gruźlica Pierwotna vs. Gruźlica Wtórna
Gruźlica pierwotna jest wynikiem bezpośredniej infekcji pałeczkami gruźlicy, zwykle w płucach, podczas gdy gruźlica wtórna rozwija się u osób, które wcześniej miały kontakt z bakterią i ponownie się uaktywniła, często w innych częściach ciała.
C. Historia i Epidemiologia Gruźlicy Pierwotnej
Gruźlica była jedną z najpoważniejszych chorób zakaźnych w historii ludzkości. Mimo postępu w leczeniu i zapobieganiu, nadal stanowi poważny problem zdrowotny na świecie, zwłaszcza w krajach o niskim statusie ekonomicznym, gdzie warunki sanitarne są złe. Epidemia HIV/AIDS również zwiększa ryzyko rozwoju gruźlicy pierwotnej u osób z osłabionym układem odpornościowym.
III. Etiologia Gruźlicy Pierwotnej
A. Czynniki Wywołujące Gruźlicę Pierwotną
- Gruźlica pierwotna jest spowodowana przez zakażenie pałeczkami gruźlicy (Mycobacterium tuberculosis).
- Te bakterie są przenoszone poprzez kropelki zawierające wirusy wydychane przez zakażone osoby podczas kaszlu, kichania lub rozmowy.
- Zakażenie pojawia się po kontakcie z osobą z aktywną postacią gruźlicy lub poprzez wdychanie zanieczyszczonego powietrza.
- Jest to choroba zakaźna, ale nie każdy osoba zakażona bakteriami gruźlicy zachoruje na pełnoobjawową gruźlicę.
- Osoby z osłabionym układem odpornościowym są bardziej podatne na rozwój choroby.
B. Drogi Zakażenia
Główną drogą zakażenia gruźlicą pierwotną jest droga kropelkowa, czyli wdychanie cząsteczek Mycobacterium tuberculosis, które są rozprzestrzeniane podczas kaszlu, kichania, mówienia lub nawet oddychania przez zakażoną osobę. Bakterie te mogą dostać się do płuc i tam namnażać, prowadząc do infekcji.
C. Czynniki Ryzyka
Istnieje wiele czynników ryzyka związanych z gruźlicą pierwotną, w tym częsty kontakt z osobą zarażoną gruźlicą, brak szczepień ochronnych, obniżona odporność organizmu (np. z powodu HIV/AIDS, leczenia immunosupresyjnego), narażenie na zanieczyszczone środowisko, zła wentylacja oraz niska higiena. Ponadto, palenie tytoniu może zwiększyć ryzyko rozwoju gruźlicy pierwotnej, ponieważ osoby palące mają osłabiony układ oddechowy. Warto również zauważyć, że częstsze występowanie gruźlicy pierwotnej jest obserwowane w krajach o niskim i średnim dochodzie, gdzie warunki sanitarno-higieniczne są gorsze.
IV. Patofizjologia Gruźlicy Pierwotnej
A. Mechanizm Zakażenia
- Wniknięcie Bakterii do Organizmu: Bakterie gruźlicy (Mycobacterium tuberculosis) dostają się do płuc zakażonej osoby poprzez drogę kropelkową podczas oddychania. Następnie, bakterie przedostają się do układu oddechowego i są fagocytowane przez makrofagi.
- Namnażanie w Makrofagach: Po wniknięciu do makrofagów, Mycobacterium tuberculosis unika fagocytozy i zaczyna się namnażać, tworząc zmiany zapalne w płucach.
- Tworzenie Pierwotnego Ogniska Gruźliczego: Bakterie tworzą specyficzną strukturę zwana pierwotnym ogniskiem gruźliczym, gdzie dochodzi do zogniskowania i ogniskowego zapalenia.

B. Etapy Rozwoju Gruźlicy Pierwotnej
- Faza Inkubacji: Po zakażeniu organizmu, może wystąpić faza inkubacji, która trwa od kilku tygodni do kilku miesięcy, podczas której objawy nie są jeszcze zauważalne.
- Rozwój Choroby: Po faktycznym zakażeniu i namnażaniu się bakterii, gruźlica pierwotna może przejść do pełnoobjawowej fazy aktywnej choroby. W tej fazie mogą wystąpić objawy takie jak kaszel, krwioplucie, gorączka, utrata masy ciała i ogólne osłabienie.
- Rozprzestrzenianie się Choroby: Jeśli nie zostanie podjęte leczenie, gruźlica pierwotna może rozprzestrzenić się do innych narządów ciała, tworząc wtórne ogniska gruźlicze i prowadząc do powikłań.
C. Wpływ na Organizm
- Uszkodzenie Płuc: Gruźlica pierwotna często prowadzi do uszkodzenia płuc, gdy bakterie namnażają się i prowadzą do powstawania blizn i zmian zapalnych w tkance płucnej.
- Obniżona Wydolność Oddechowa: Zmiany zapalne wywołane przez Mycobacterium tuberculosis mogą prowadzić do spadku wydolności oddechowej, co objawia się trudnościami z oddychaniem i przewlekłym kaszlem.
- Niewydolność Organów: Gruźlica pierwotna, szczególnie w zaawansowanym stadium, może prowadzić do niewydolności różnych narządów, zwłaszcza płuc i układu krwionośnego, co w konsekwencji może być życiowo zagrożące.
V. Objawy Gruźlicy Pierwotnej
A. Wczesne Objawy
- Kaszel: Jednym z pierwszych objawów gruźlicy pierwotnej może być uporczywy kaszel, który może być suchy lub mokry z odkrztuszaniem plwociny.
- Gorączka: Podwyższona temperatura ciała, gorączka, może wystąpić jako reakcja organizmu na obecność Mycobacterium tuberculosis.
- Ogólne Osłabienie: Pacjenci mogą odczuwać zmęczenie, brak energii i ogólne osłabienie, które może być spowodowane przez infekcję bakteriami gruźlicy.
B. Objawy Zaawansowane
- Krwioplucie: Pacjenci mogą doświadczać kaszlu z krwiopluciem, co jest wynikiem uszkodzenia tkanki płucnej przez bakterie gruźlicy.
- Utrata Masy Ciała: Osoby z zaawansowaną gruźlicą pierwotną mogą wykazywać utratę masy ciała pomimo zachowania lub zwiększenia spożycia pokarmów.
- Trudności z Oddychaniem: W zaawansowanej fazie choroby, pacjenci mogą doświadczać trudności z oddychaniem, duszności i uczucia ucisku w klatce piersiowej.
C. Powikłania

- Rozprzestrzenianie się do Innych Narządów: Gruźlica pierwotna może rozprzestrzenić się z płuc do innych narządów, takich jak kości, stawy, skóra czy mózg, powodując powstanie wtórnych ognisk gruźliczych.
- Niewydolność Organów: Zaawansowana gruźlica pierwotna może prowadzić do niewydolności różnych organów, szczególnie płuc, co może być zagrożeniem dla życia pacjenta.
- Spontaniczne Pneumothorax: W niektórych przypadkach gruźlica pierwotna może prowadzić do powikłań, takich jak spontaniczny pneumothorax, czyli nagłe zapadnięcie się płuca z powodu obecności powietrza w opłucnej.
Pamiętaj, że objawy i powikłania gruźlicy pierwotnej mogą się różnić u każdej osoby, a szybka diagnoza i leczenie są kluczowe dla skutecznej kontroli choroby.
VI. Diagnostyka Gruźlicy Pierwotnej
A. Badania Kliniczne
- Wywiad Medyczny: Podczas badania klinicznego lekarz może przeprowadzić szczegółowy wywiad medyczny, aby określić występowanie objawów związanych z gruźlicą pierwotną oraz ewentualne czynniki ryzyka związane z chorobą.
- Badanie Fizykalne: Lekarz może przeprowadzić badanie fizykalne pacjenta, skupiając się na ocenie układu oddechowego, w poszukiwaniu nadmiernych szmerów oddechowych, zmian w opukaniu klatki piersiowej czy obecności powiększonych węzłów chłonnych.
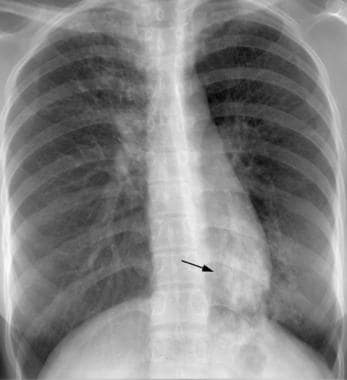
B. Metody Obrazowania
- RTG Klatki Piersiowej: Jednym z najczęściej stosowanych metod obrazowych do diagnozowania gruźlicy pierwotnej jest rentgen klatki piersiowej, który może pokazać obecność nacieków, cieni czy innych zmian charakterystycznych dla gruźlicy.
- Tomografia Komputerowa (CT): W niektórych przypadkach, tomografia komputerowa może być wykonana w celu dokładniejszej oceny zmian w płucach oraz ewentualnego rozprzestrzenienia się gruźlicy do innych tkanek.
C. Badania Laboratoryjne
- Badanie Plwociny: Jednym z podstawowych badań laboratoryjnych jest badanie plwociny pod kątem obecności bakterii Mycobacterium tuberculosis za pomocą barwienia metodą Ziehl-Neelsena lub testów molekularnych.
- Badanie Krwi: Badanie krwi może ujawnić niespecyficzne oznaki zapalenia, takie jak podwyższona liczba białych krwinek, które mogą wskazywać na obecność infekcji gruźlicą.
D. Różnicowanie Gruźlicy Pierwotnej
- Różnicowanie Od Innych Chorób Płucnych: Istotne jest różnicowanie gruźlicy pierwotnej od innych chorób płucnych, takich jak zapalenie płuc, rak płuc czy gruźlica wtórna.
- Testy Skórne: Testy skórne, takie jak test tuberkulinowy Mantoux czy test IGRA, mogą być wykorzystane do potwierdzenia obecności Mycobacterium tuberculosis u pacjenta.
Diagnostyka gruźlicy pierwotnej wymaga złożonego podejścia, łączącego badania kliniczne, metody obrazowania i badania laboratoryjne, aby umożliwić szybkie i skuteczne postawienie diagnozy oraz wdrożenie odpowiedniego leczenia.
VII. Leczenie Gruźlicy Pierwotnej
A. Farmakoterapia
Leczenie gruźlicy pierwotnej opiera się głównie na farmakoterapii, polegającej na podawaniu antybiotyków przeciwgruźliczych, takich jak izoniazyd, ryfampicyna, pirazynamid czy etambutol. Czas trwania leczenia oraz skład zestawów przeciwgruźliczych są ustalane indywidualnie, w zależności od stopnia ciężkości choroby oraz obecności oporności bakterii na leki.
W niektórych przypadkach, leczenie objawowe może być niezbędne, aby złagodzić objawy choroby i pomóc pacjentowi w radzeniu sobie z dolegliwościami, takimi jak kaszel czy gorączka.
B. Terapie Alternatywne
W niektórych przypadkach, leczenie sanatoryjne może być zalecane jako uzupełnienie farmakoterapii. Lecznicze wyjazdy do uzdrowisk i sanatoriów mają na celu poprawę ogólnego stanu zdrowia pacjenta oraz zdolności organizmu do zwalczania choroby.
Odpoczynek i zdrowa dieta zabezpieczają organizm przed powikłaniami choroby i pomagają przyspieszyć gojenie.
C. Opieka Podtrzymująca
Chorzy na gruźlicę pierwotną powinni regularnie uczestniczyć w kontrolach lekarskich, aby ocenić postęp leczenia i zminimalizować ryzyko powikłań.
Z powodu długotrwałości i uciążliwości farmakoterapii, pacjenci chorzy na gruźlicę pierwotną często potrzebują wsparcia psychologicznego, aby radzić sobie z chorobą.
D. Zapobieganie Oporności na Leki
W celu minimalizacji ryzyka oporności na leki, pacjenci chorzy na gruźlicę pierwotną powinni przyjmować zawsze cały zestaw przeciwgruźliczy zgodnie z zaleceniami lekarskimi.
Przy stopniowym wycofywaniu leków przeciw tuberkulotycznych, lekarz powinien na bieżąco monitorować skuteczność leczenia i reakcję organizmu na zmniejszającą się dawkę leków.
Leczenie gruźlicy pierwotnej jest skomplikowane i wymaga wytrwałości ze strony pacjenta. W sekcji tej omówiono główne metody i strategie leczenia, takie jak farmakoterapia, terapie alternatywne, opieka podtrzymująca i zapobieganie oporności na leki. Pacjenci chorzy na gruźlicę pierwotną powinni traktować leczenie jako proces całkowicie uzależniony od ich współpracy z lekarzem i skrupulatnego przestrzegania instrukcji dotyczących terapii.
VIII. Prewencja Gruźlicy Pierwotnej
A. Szczepienia
Szczepienia BCG: Szczepienie BCG (Bacillus Calmette-Guérin) jest używane w celu zapobiegania rozwojowi gruźlicy u dzieci. Pomimo niepełnej skuteczności, szczepionka BCG jest nadal szeroko wykorzystywana w krajach o wysokim ryzyku wystąpienia gruźlicy.
B. Środki Higieniczne

- Dbanie o higienę osobistą: regularne mycie rąk, korzystanie z chusteczek przy kaszlu i kichaniu, oraz unikanie bezpośredniego kontaktu z osobami chorymi na gruźlicę pomaga w zapobieganiu rozprzestrzenianiu się bakterii.
- Wentylacja i ogrzewanie pomieszczeń: dobrze wentylowane i ogrzewane pomieszczenia pomagają w ograniczeniu ryzyka zakażenia gruźlicą.
C. Profilaktyka w Grupach Wysokiego Ryzyka
- Badania przesiewowe: osoby z grup wysokiego ryzyka, takie jak pracownicy opieki zdrowotnej, osoby zakażone wirusem HIV, uzależnieni od narkotyków oraz osoby żyjące w miejscach o dużym zagrożeniu gruźlicą, powinny być poddawane regularnym badaniom przesiewowym w celu wczesnego wykrycia i leczenia.
- Edukacja: świadomość o gruźlicy i jej transmisji jest kluczowa, dlatego ważne jest prowadzenie programów edukacyjnych wśród grup wysokiego ryzyka oraz powszechne edukowanie społeczeństwa na temat zakaźności gruźlicy oraz metod jej zapobiegania.
Powyższe działania mogą mieć istotny wpływ na zmniejszenie zachorowalności na gruźlicę pierwotną oraz ograniczenie jej rozprzestrzeniania się w populacji.
IX. Powiązania Społeczne i Ekonomiczne
A. Wpływ Gruźlicy na Społeczeństwo
Osoby dotknięte gruźlicą często doświadczają stygmatyzacji ze strony społeczeństwa, co może prowadzić do wykluczenia społecznego i psychospołecznego. Gruźlica ma zdolność do szybkiego rozprzestrzeniania się w społeczeństwie, szczególnie w warunkach zbiorowych, co naraża na zakażenie również osoby spoza grupy ryzyka.
B. Koszty Leczenia i Prewencji
Leczenie gruźlicy, zwłaszcza w bardziej zaawansowanych przypadkach, wymaga stosowania długotrwałej terapii lekowej, co generuje znaczne koszty zarówno dla pacjentów, jak i systemu opieki zdrowotnej.
Programy prewencyjne, badania przesiewowe oraz szczepienia mają swoje koszty, które muszą być pokryte przez instytucje rządowe, organizacje non-profit lub systemy ubezpieczeń zdrowotnych.
C. Edukacja i Świadomość Społeczna
Edukacja pacjentów dotkniętych gruźlicą oraz ich rodzin na temat choroby, leczenia, zasad higieny i profilaktyki jest kluczowa w zapobieganiu rozprzestrzenianiu się infekcji i poprawie skuteczności terapii.
Programy edukacyjne dla społeczeństwa mają na celu zwiększenie świadomości o gruźlicy, jej transmisji, zapobieganiu oraz zmniejszeniu stygmatyzacji pacjentów, co może przyczynić się do szybszej identyfikacji i leczenia przypadków gruźlicy pierwotnej.
X. Gruźlica Pierwotna w Świecie Współczesnym
A. Wpływ Globalizacji na Rozprzestrzenianie Choroby
Wzrost mobilności: globalizacja i zwiększona mobilność społeczeństwa przyczyniają się do łatwiejszego i szybszego przenoszenia się zakaźnych chorób między różnymi krajami i regionami.
Migracja i podróże: migracja i podróże w ramach turystyki i handlu przyczyniają się do rozprzestrzeniania się gruźlicy pierwotnej w różnych częściach świata.
B. Wyzwania w Zwalczaniu Gruźlicy Pierwotnej
Pojawienie się oporności na leki przeciwgruźlicze stanowi poważne wyzwanie w walce z gruźlicą pierwotną. Oporność może wynikać z niewłaściwego stosowania leków lub zakażeń opornymi szczepami bakterii.
Szybka i trafna diagnoza gruźlicy pierwotnej jest kluczowa dla skutecznego leczenia. Jednakże, w wielu regionach świata nadal istnieją ograniczenia w dostępie do odpowiednich metod diagnostycznych oraz leków.
C. Przyszłość i Nowe Badania
- Badania nad nowymi lekami i szczepionkami: kontynuowane są badania nad opracowaniem nowych leków i szczepionek, które mogą być bardziej skuteczne w zwalczaniu gruźlicy pierwotnej, szczególnie w przypadku opornych na leki szczepów bakterii.
- Innowacyjne metody diagnozy: rozwijane są nowe innowacyjne metody diagnozowania gruźlicy pierwotnej, takie jak testy genetyczne, biomarkery czy szybkie testy diagnostyczne, które mogą przyspieszyć proces diagnozy i zapewnienie odpowiedniego leczenia.
- Wzrost świadomości i mobilizacji: coraz większa świadomość społeczeństwa na temat gruźlicy pierwotnej może prowadzić do większej mobilizacji społecznej, poparcia dla badań i inwestycji w zapobieganie i zwalczanie choroby.

Przyszłość walki z gruźlicą pierwotną wymaga dalszych badań naukowych, innowacji, edukacji i podjęcia współpracy międzynarodowej, aby skutecznie przeciwdziałać jej rozprzestrzenianiu się oraz minimalizować jej negatywne skutki na skalę globalną.
XI. Podsumowanie
A. Kluczowe Wnioski
- Gruźlica pierwotna jest nadal poważnym problemem zdrowotnym w świecie współczesnym, szczególnie w krajach o niskim i średnim dochodzie.
- Globalizacja i zwiększona mobilność społeczeństwa są czynnikami, które przyczyniają się do rozprzestrzeniania się gruźlicy pierwotnej na całym świecie.
- Oporność na leki przeciwgruźlicze stanowi poważne zagrożenie dla skutecznego leczenia gruźlicy pierwotnej.
- Diagnoza gruźlicy pierwotnej jest kluczowa dla skutecznego leczenia, jednak dostęp do odpowiednich metod diagnostycznych jest nadal ograniczony w wielu regionach świata.
B. Znaczenie Świadomości i Profilaktyki
- Zwiększona świadomość społeczeństwa na temat gruźlicy pierwotnej jest kluczowa dla zapobiegania rozprzestrzenianiu się choroby oraz diagnozowania jej we wczesnym stadium.
- Wiedza na temat transmisji i objawów gruźlicy pierwotnej powinna być szeroko rozpowszechniana w społeczeństwie, aby umożliwić szybką identyfikację potencjalnych przypadków i skierowanie ich na odpowiednie leczenie.
- Profilaktyka, w tym szczepienia, mają zasadnicze znaczenie w zwalczaniu gruźlicy pierwotnej, zwłaszcza w populacjach o podwyższonym ryzyku zakażenia, takich jak pracownicy służby zdrowia czy osoby mieszkające w zatłoczonych miejscach.
Podsumowując, walka z gruźlicą pierwotną wymaga globalnej współpracy, inwestycji w badania i rozwój nowych metod diagnozy i leczenia oraz zwiększenia świadomości i profilaktyki w społeczeństwie. Tylko poprzez te działania możemy skutecznie zwalczyć gruźlicę pierwotną i zmniejszyć jej obciążenie dla zdrowia publicznego.
XII. Najczęściej Zadawane Pytania (FAQ)
A. Jakie Są Główne Przyczyny Gruźlicy Pierwotnej?
Gruźlica pierwotna jest spowodowana zakażeniem bakterią Mycobacterium tuberculosis. Główne przyczyny zakażenia to:
- Bezpośredni kontakt z osobą z aktywną gruźlicą, która wydziela bakterie do powietrza w wyniku kaszlu, kichania lub mówienia.
- Osłabiony system odpornościowy, co zwiększa ryzyko zakażenia i rozwoju choroby.
B. Czy Gruźlica Pierwotna Jest Zakaźna?
Tak, gruźlica pierwotna jest zakaźna. Bakterie Mycobacterium tuberculosis przenoszą się drogą kropelkową zakażonych osób do zdrowych poprzez oddychanie, kaszlenie, kichanie lub rozmowę. Osoby z aktywną gruźlicą płuc są bardziej zakaźne niż te z gruźlicą pozapłucną.
C. Jakie Są Opcje Leczenia?
Opcje leczenia gruźlicy pierwotnej obejmują stosowanie leków przeciwgruźliczych przez określony okres czasu (zazwyczaj od 6 do 9 miesięcy lub dłużej, w zależności od przypadku). Leczenie skutecznie zwalcza bakterie i zapobiega dalszemu rozprzestrzenianiu się infekcji w organizmie. W leczeniu gruźlicy pierwotnej mogą być stosowane różne kombinacje antybiotyków.
D. Jak Mogę Chronić Siebie i Innych Przed Gruźlicą?
Aby chronić siebie i innych przed gruźlicą, należy:
- Unikać kontaktu z osobami z aktywną gruźlicą.
- Dbaj o higienę rąk, szczególnie po kontakcie z osobami chorymi lub po obróbce materiałów biologicznych.
- W miarę możliwości korzystaj z maseczek ochronnych w miejscach, gdzie istnieje ryzyko zakażenia.
- Przestrzegaj zasad dotyczących wentylacji pomieszczeń.
- Przestrzegaj zaleceń dotyczących szczepień przeciw gruźlicy, zwłaszcza jeśli przebywasz w obszarach o wysokim ryzyku zakażenia.

