I. Wprowadzenie
A. Czym jest glejak mózgu?
Glejak mózgu jest rodzajem nowotworu złośliwego, który rozwija się w mózgu lub rdzeniu kręgowym. Charakteryzuje się nienormalnym wzrostem komórek glejowych, które są podporą dla komórek nerwowych.

Glejaki mózgu można podzielić na różne typy, takie jak glejak astrocytowy, glejak oligodendroglijalny, glejak mieszany itp.
B. Dlaczego temat glejaka mózgu jest istotny?
- Statystyki i skala problemu
- Glejak mózgu stanowi znaczną część diagnoz nowotworów mózgu, stanowiąc ok. 80% złośliwych nowotworów.
- Wpływ na pacjentów i społeczeństwo
- Diagnoza glejaka mózgu może być związana z poważnymi skutkami zdrowotnymi, a leczenie i opieka nad pacjentami z glejakiem mózgu stanowią wyzwanie zarówno dla pacjentów, jak i ich rodzin, a także systemów opieki zdrowotnej.
II. Glejak wielopostaciowy (glioblastoma multiforme)
A. Charakterystyka i agresywność
Glejak wielopostaciowy, znany również jako glioblastoma multiforme, jest najbardziej agresywnym typem glejaka mózgu. Charakteryzuje się szybkim wzrostem komórek nowotworowych, które infiltrują zdrową tkankę mózgową.
Glioblastoma multiforme jest trudny do leczenia ze względu na jego wysoką agresywność i zdolność do szybkiego nawrotu nowotworu nawet po leczeniu.
B. Epidemiologia i rokowania
Glioblastoma multiforme stanowi około 50% wszystkich glejaków mózgu. Szacuje się, że rocznie diagnozuje się około 3 na 100 000 przypadków glioblastomy multiforme.
Niestety, rokowania dla glioblastomy multiforme są zazwyczaj złe ze względu na agresywny charakter nowotworu, a średnia przeżywalność po diagnozie wynosi zazwyczaj około 12-15 miesięcy. Pomimo ciągłego postępu w leczeniu, glioblastoma multiforme pozostaje jednym z najbardziej śmiertelnych nowotworów mózgu.
III. Glejak anaplastyczny
A. Opis i klasyfikacja WHO

Glejak anaplastyczny jest rodzajem złośliwego guza mózgu, który charakteryzuje się wysokim stopniem agresywności i budowy przypominającej komórki glejowe.
Według klasyfikacji Światowej Organizacji Zdrowia (WHO), glejaki anaplastyczne są klasyfikowane jako stopień III złośliwości nowotworów mózgu, co oznacza, że są one mniej złośliwe niż glejak wielopostaciowy (glioblastoma multiforme), ale bardziej agresywne niż glejaki o niższym stopniu złośliwości.
B. Typowe objawy i przebieg choroby
Objawy glejaka anaplastycznego mogą obejmować bóle głowy, zaburzenia widzenia, nudności, wymioty, zmiany w zachowaniu, drgawki oraz inne zaburzenia neurologiczne.
Glejaki anaplastyczne mają tendencję do szybkiego wzrostu i infiltracji zdrowej tkanki mózgowej, co może prowadzić do pogorszenia stanu pacjenta w stosunkowo krótkim czasie. Leczenie może obejmować chirurgiczne wycięcie guza, radioterapię, chemioterapię i terapie ukierunkowane molekularnie, jednak rokowania zwykle są nadal poważne ze względu na agresywny charakter choroby.
IV. Glejak o niskim stopniu złośliwości
A. Różnice w stosunku do innych glejaków
Glejaki o niskim stopniu złośliwości, zwane również niskozłośliwymi glejakami, charakteryzują się wolniejszym wzrostem i mniej agresywnym charakterem w porównaniu z glejakami wysokozłośliwymi, takimi jak glejaki anaplastyczne czy glejoblastoma.
Glejaki o niskim stopniu złośliwości są klasyfikowane jako stopień I lub II według klasyfikacji WHO, co oznacza, że są mniej złośliwe niż glejaki anaplastyczne i glejoblastoma, a ich komórki wykazują mniej cech atypowych.
B. Prognozy i możliwości leczenia
W porównaniu z bardziej agresywnymi glejakami, pacjenci z glejakami o niskim stopniu złośliwości mają zazwyczaj lepsze rokowania. Istnieje większe prawdopodobieństwo, że guz może być skutecznie usunięty chirurgicznie, a pacjenci mogą odnieść korzyści z radioterapii i chemioterapii.
Leczenie glejaków o niskim stopniu złośliwości może obejmować operację usunięcia guza, radioterapię, chemioterapię oraz inne terapie ukierunkowane molekularnie. Pacjenci są zazwyczaj monitorowani przez długi okres, aby wykryć jakiekolwiek oznaki nawrotu choroby, ale ogólnie leczenie i prognozy są bardziej korzystne niż w przypadku bardziej złośliwych glejaków.
V. Astrocytoma i oligodendroglioma
A. Różnice i podobieństwa
- Astrocytoma
- Charakterystyka: Astrocytoma to rodzaj glejaka, który rozwija się z astrocytów, czyli komórek glejowych związanych z wsparciem i odżywianiem neuronów.
- Stosunkowo częstsze: Astrocytoma jest częstszym typem glejaka niż oligodendroglioma.
- Morfologia: Komórki astrocytomów mają charakterystyczne wyglądające procesy glejowe.
- Oligodendroglioma
- Charakterystyka: Oligodendroglioma to glejak rozwijający się z oligodendrocytów, które odpowiadają za izolację neuronów poprzez tworzenie osłonki mielinowej.
- Morfologia: Komórki oligodendrogliomów mają charakterystyczne ziarna miodu pod mikroskopem.
- Mutacje genetyczne: Oligodendrogliomy często zawierają mutacje genów, takie jak chromosom 1p/19q, co ma znaczenie dla diagnostyki i leczenia.
- Podobieństwa
- Obie astrocytoma i oligodendroglioma są typami glejaka, które rozwijają się z komórek glejowych mózgu.
- Obie te formy glejaka mogą być złośliwe, ale ich stopień złośliwości może się różnić.
B. Znaczenie dla diagnostyki i leczenia
Rozróżnienie między astrocytomami a oligodendrogliomami jest istotne dla określenia odpowiednich strategii terapeutycznych. Metody diagnostyczne, takie jak biopsja, badania obrazowe (np. MRI) oraz analiza genetyczna, mogą pomóc w identyfikacji konkretnego typu glejaka.
Leczenie astrocytomów i oligodendrogliomów może obejmować chirurgiczne usunięcie guza, radioterapię, chemioterapię oraz terapie ukierunkowane genetycznie. Istotne jest monitorowanie pacjentów po leczeniu, aby wykryć ewentualne nawroty choroby i dostosować terapię.
Znaczenie odpowiednio zdiagnozowanych i zindywidualizowanych planów leczenia dla pacjentów z astrocytomami i oligodendrogliomami jest kluczowe dla poprawy rokowań i jakości życia.
VI. Przyczyny i Czynniki Ryzyka
A. Genetyczne predyspozycje do glejaka mózgu
- Dziedziczne zespoły nowotworowe: Istnieją dziedziczne zespoły nowotworowe, które mogą predysponować do wystąpienia glejaka mózgu. Przykłady to zespół Li-Fraumeni, zespół Turcota, zespół Neurofibromatozy typu 1 (NF1) i wiele innych.W tych zespołach mutacje w konkretnych genach zwiększają ryzyko rozwoju glejaka.
- Mutacje genetyczne i ich znaczenie: Mutacje w genach, takich jak geny TP53, EGFR, PTEN, IDH1/2, NF1, mogą występować w glejakach mózgu.Te mutacje mają znaczenie w prognozowaniu rokowań, ocenie odpowiedzi na terapię i wyborze odpowiednich strategii leczenia.
B. Czynniki środowiskowe
- Promieniowanie jonizujące: Ekspozycja na promieniowanie jonizujące, zarówno naturalne (np. promieniowanie kosmiczne) jak i sztuczne (np. promieniowanie rentgenowskie), może zwiększać ryzyko rozwoju glejaka mózgu.
- Narażenie na substancje chemiczne: Narażenie na niektóre substancje chemiczne, takie jak benzen, arszenik, herbicydy i pestycydy, może zwiększać ryzyko rozwoju glejaka mózgu.
C. Styl życia i inne czynniki ryzyka
- Rola diety, stresu i stylu życia: Niektóre badania sugerują, że dieta bogata w przetworzoną żywność, tłuszcze nasycone, cukry i niską zawartość owoców i warzyw może zwiększać ryzyko rozwoju glejaka mózgu.Wysoki poziom stresu i niewłaściwy styl życia, takie jak palenie papierosów, nadmierne spożycie alkoholu oraz brak aktywności fizycznej, również mogą wpływać na zwiększenie ryzyka.
- Wpływ infekcji wirusowych: Niektóre badania sugerują, że niektóre infekcje wirusowe, takie jak wirus cytomegalii (CMV) i wirus Epsteina-Barr (EBV), mogą być związane ze zwiększonym ryzykiem rozwoju glejaka mózgu.Jednak dokładny mechanizm, przez który infekcje mogą wpływać na rozwój glejaka mózgu, jest nadal nieznany i wymaga dalszych badań.
VII. Neurologiczne objawy glejaka mózgu
A. Bóle głowy i ich specyfika
Bóle głowy są jednym z najczęstszych objawów glejaka mózgu. Mogą być różnej intensywności, nasilenia i charakteru, w zależności od lokalizacji i rozmiaru guza.
Bóle mogą być obecne przez długi czas i często nasilają się wraz ze wzrostem guza. Mogą występować rano po przebudzeniu lub pogłębiać się po wysiłku fizycznym. Niektóre osoby mogą doświadczać migrenopodobnych bólów głowy.

B. Napady padaczkowe i inne zaburzenia neurologiczne
Glejak mózgu może prowadzić do wystąpienia napadów padaczkowych. Napady padaczkowe mogą mieć różne objawy, takie jak drgawki, utrata przytomności, niekontrolowane ruchy, zaburzenia świadomości itp. Rodzaj i natężenie napadów zależy od lokalizacji guza oraz stopnia zaawansowania i rozwoju glejaka.
Oprócz napadów padaczkowych, glejak mózgu może powodować również inne zaburzenia neurologiczne, takie jak:
- problemy z mówieniem,
- trudności w poruszaniu się,
- zaburzenia koordynacji,
- trudności w widzeniu i słyszeniu,
- zmiany nastroju i zachowania,
- problemy z pamięcią i koncentracją,
- bóle mięśni i osłabienie.
Warto pamiętać, że objawy glejaka mózgu mogą się różnić w zależności od indywidualnych cech pacjenta, lokalizacji guza, jego wielkości i stopnia zaawansowania.
Glejak Mózgu
VIII. Objawy związane z lokalizacją guza
A. Zależność objawów od umiejscowienia glejaka
- Objawy glejaka mózgu mogą zależeć od lokalizacji guza w obrębie mózgu. W zależności od tego, gdzie dokładnie znajduje się guz, pacjent może doświadczać różnych objawów neurologicznych.
- Na przykład, glejak umiejscowiony w obszarze kory mózgowej może prowadzić do zaburzeń funkcji poznawczych, takich jak problemy z pamięcią, myśleniem, percepcją i zachowaniem.
- Guz w obszarze mózgu kontrolującym ruchy może powodować trudności w poruszaniu się, osłabienie mięśni, drżenie i problemy z koordynacją.
B. Przykłady kliniczne
- Pacjenci z glejakiem mózgu umiejscowionym w okolicach czołowych mózgu mogą doświadczać zmian nastroju, trudności z koncentracją, zaburzeń osobowości i innych funkcji wyższych.
- Glejak w obszarze ciemieniowym mózgu może prowadzić do zaburzeń zmysłowych, takich jak trudności w rozpoznawaniu bodźców wzrokowych czy dotykowych.
- Guz w obszarze potylicznym mózgu może powodować problemy z kontrolą ruchów oka, co może skutkować trudnościami w widzeniu.
Zrozumienie lokalizacji guza glejaka mózgu jest kluczowe dla diagnozy i leczenia, ponieważ pozwala lekarzom przewidzieć potencjalne objawy neurologiczne i zastosować odpowiednie strategie terapeutyczne.
IX. Kiedy udać się do lekarza?
A. Wskazówki dla pacjentów i rodzin
Ważne jest, aby udać się do lekarza, jeśli występują niepokojące objawy, takie jak niezwykłe bóle głowy, nudności i wymioty, drgawki, zaburzenia widzenia czy problemy z równowagą.
Pacjenci z historią nowotworów w rodzinie lub innymi czynnikami ryzyka nowotworów mózgu, takimi jak napromieniowanie mózgu w przeszłości, powinni być szczególnie czujni na pojawienie się objawów neurologicznych.
Jeśli występują zmiany w funkcjonowaniu umysłowym, problemy z pamięcią, świadomością czy zachowaniem, należy skonsultować się z lekarzem, ponieważ mogą one wskazywać na obecność glejaka mózgu.
B. Wczesne rozpoznanie i znaczenie monitorowania
- Wczesne rozpoznanie glejaka mózgu ma kluczowe znaczenie dla skutecznego leczenia i prognozy.
- Regularne monitorowanie objawów neurologicznych oraz wykonywanie badań obrazowych, takich jak rezonans magnetyczny (MRI) i tomografia komputerowa (TK), mogą pomóc w wczesnym wykryciu guza.
- Pacjenci, u których istnieje podejrzenie glejaka mózgu, powinni być pod opieką specjalisty neurochirurga lub neuroonkologa, którzy będą prowadzić badania i dobierać odpowiednie strategie leczenia.
W przypadku podejrzenia glejaka mózgu, ważne jest szybkie podjęcie działań i skonsultowanie się z lekarzem, aby zaplanować dalsze postępowanie diagnostyczne i terapeutyczne. Regularne monitorowanie oraz świadomość potencjalnych objawów mogą pomóc w wykryciu choroby na wczesnym etapie i poprawić szanse na skuteczne leczenie.
X. Diagnostyka i Badania
A. Podstawowe metody diagnostyczne
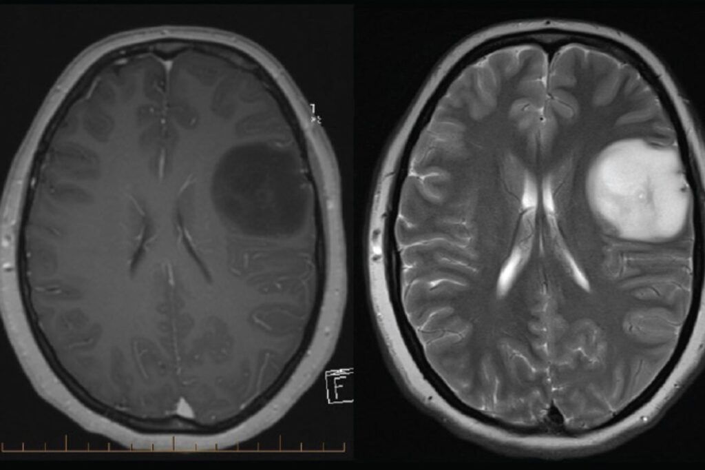
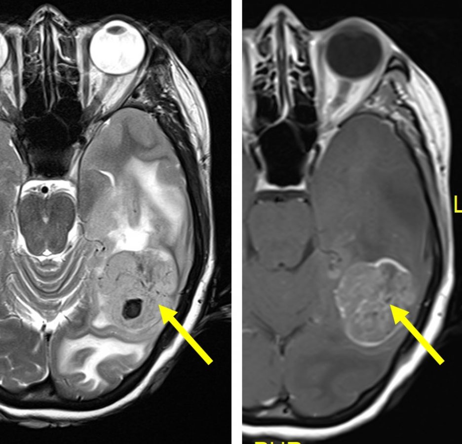
- Rezonans magnetyczny (MRI) – MRI jest uważany za najlepszą metodę obrazowania mózgu przy diagnozowaniu glejaków mózgu. Polega na wykorzystaniu pola magnetycznego do uzyskania bardzo szczegółowych obrazów mózgu, które mogą pomóc w identyfikacji ewentualnych guzów lub nieprawidłowości w tkance mózgowej.
- Tomografia komputerowa (CT) – CT, podobnie jak MRI, może dostarczyć obrazów mózgu, lecz jest on mniej szczegółowy, i często wykorzystywany jest jako uzupełnienie MRI.
B. Zaawansowane techniki diagnostyczne

- Biopsja mózgu – jeśli istnieje podejrzenie glejaka mózgu, lekarz może zdecydować o pobraniu próbki tkanki za pomocą biopsji mózgu. Próbkę można następnie ocenić pod mikroskopem, aby potwierdzić rozpoznanie.
- Spektroskopia MR i inne nowoczesne metody – dla uzyskania bardziej szczegółowych informacji o guzie, lekarz może zlecić dodatkowe badania, takie jak spektroskopia MR, PET lub SPECT.
C. Znaczenie diagnostyki różnicowej
- Wykluczenie innych chorób mózgu – Pacjenci z objawami, które mogą sugerować obecność glejaka mózgu, muszą być dokładnie badani, aby wykluczyć inne choroby mózgu, takie jak choroba Alzheimera czy udar mózgu.
- Rola zespołu specjalistów – Ze względu na swoją skomplikowaną naturę, diagnozowanie i leczenie glejaka mózgu wymaga zwykle interdyscyplinarnej współpracy zespołu lekarzy specjalizujących się w neurologii, chirurgii neurologicznej, radioterapii i chemioterapii.
W celu uzyskania dokładnej diagnozy oraz właściwego leczenia glejaka mózgu należy przeprowadzić szereg badań obrazowych i często konieczna jest biopsja mózgu. Rola zespołu specjalistów i właściwa diagnostyka różnicowa jest kluczowa dla zapewnienia pacjentowi właściwej terapii.
XI. Opcje chirurgiczne
A. Wskazania do zabiegu
- Usuwanie guza – Wskazaniem do zabiegu chirurgicznego glejaka mózgu jest usunięcie guza w celu złagodzenia objawów neurologicznych, zmniejszenia ciśnienia wewnątrzczaszkowego oraz poprawy prognozy i skuteczności terapii.
- Biopsja – W niektórych przypadkach, gdy guz jest położony w delikatnej części mózgu, lub gdy istnieje wiele guzów, biopsja może być jedyną możliwą opcją, pozwalającą na pobranie próbki tkanki celem potwierdzenia diagnozy.
B. Ryzyka i potencjalne korzyści
- Ryzyka – Chirurgiczne usunięcie glejaka mózgu wiąże się z wiąże z ryzykiem związanym z niewielkimi uszkodzeniami w obrębie mózgu, co może prowadzić do zaburzeń neurologicznych, jak również z ryzykiem związanym z samym zabiegiem chirurgicznym, takim jak infekcje czy krwotok.
- Potencjalne korzyści – Usunięcie glejaka mózgu może przynieść poprawę stanu zdrowia pacjenta, redukcję objawów neurologicznych i zmniejszyć przestrzenny rozwój guza. Ponadto, dostęp do próbki tkanki umożliwia dokładniejsze określenie rodzaju glejaka, co jest istotne w procesie planowania dalszego leczenia (np. radioterapia, chemioterapia).
XII. Radioterapia i chemioterapia
A. Standardowe metody leczenia
- Radioterapia – Radioterapia jest jedną z głównych metod leczenia glejaka mózgu. Wykorzystuje promieniowanie wysokoenergetyczne, które ma za zadanie uszkadzać komórki nowotworowe i hamować ich wzrost. Jest stosowana po operacji lub w połączeniu z chemioterapią w celu zniszczenia pozostałych komórek nowotworowych lub ograniczenia ich wzrostu.
- Chemioterapia – Chemioterapia polega na podawaniu leków przeciwnowotworowych, które mają na celu zniszczenie komórek nowotworowych lub zahamowanie ich wzrostu. Leki te mogą być podawane doustnie, domięśniowo, dożylnie lub za pomocą pompy wstrzykującej je bezpośrednio do mózgu. Chemioterapia jest często stosowana w glejakach mózgu w celu zwalczania guza lub ograniczenia jego wzrostu.

B. Nowoczesne podejścia i terapie eksperymentalne
- Terapia celowana – Terapia celowana wykorzystuje leki, które są skierowane bezpośrednio na specyficzne cząsteczki lub szlaki sygnalizacyjne obecne w komórkach nowotworowych. Celem jest spowodowanie selektywnego uszkodzenia komórek nowotworowych, minimalizując jednocześnie szkody dla zdrowych tkanek.
- Immunoterapia – Immunoterapia polega na stymulowaniu układu odpornościowego pacjenta do zwalczania komórek nowotworowych. Może to być osiągnięte poprzez stosowanie leków, które wzmacniają odpowiedź immunologiczną organizmu, lub poprzez terapie oparte na komórkach immunologicznych, takie jak terapia komórkami CAR-T. Immunoterapia jest powszechnie stosowana jako uzupełnienie innych metod leczenia glejaka mózgu.
- Terapie genowe – Terapie genowe są eksperymentalnym podejściem, które ma na celu wprowadzenie lub modyfikację genów w komórkach nowotworowych w celu zwalczania choroby. Mogą one obejmować wprowadzenie genu, który koduje białko, które atakuje komórki nowotworowe lub usuwa gen, który jest przyczyną rozwoju nowotworu.
Nowoczesne podejścia i terapie eksperymentalne są badane w kontekście glejaka mózgu i mogą być stosowane jako alternatywna lub uzupełniająca terapia dla standardowych metod. Jednakże, przed wprowadzeniem tych terapii do praktyki klinicznej, wymagane są dalsze badania i dowody na ich skuteczność i bezpieczeństwo.
XIII. Terapie celowane i immunoterapia
A. Najnowsze osiągnięcia medycyny
- Terapie celowane – Najnowsze osiągnięcia w terapiach celowanych dla glejaka mózgu koncentrują się na identyfikowaniu nowych molekularnych celów terapeutycznych w komórkach nowotworowych. Dzięki coraz dokładniejszej charakterystyce genetycznej guzów mózgu możliwe jest opracowanie leków, które dokładniej celują w konkretne mutacje genetyczne związane z chorobą.
- Immunoterapia – W przypadku immunoterapii, najnowsze osiągnięcia medyczne obejmują rozwój leków, które mogą zwiększać skuteczność układu odpornościowego w zwalczaniu glejaka mózgu. Przykłady to terapie oparte na blokowaniu punktów kontrolnych immunoterapii (checkpoint inhibitor therapy) lub terapie komórkami CAR-T (komórki T zreprogramowane do rozpoznawania i niszczenia komórek nowotworowych).
B. Potencjał terapii genowych
- Leczenie genowe – Terapie genowe oferują potencjał zmiany sposobu leczenia glejaka mózgu poprzez wprowadzanie zmian genetycznych bezpośrednio do komórek nowotworowych. Może to polegać na wprowadzeniu genów, które prowadzą do śmierci komórek nowotworowych lub modyfikacji genów, które przyczyniają się do rozwoju guza.
- Zastosowanie technologii CRISPR – Technologia CRISPR umożliwia precyzyjną edycję genomu, co może być użyteczne w terapii genowej glejaka mózgu. Dzięki tej technologii możliwe jest modyfikowanie konkretnych sekwencji DNA w komórkach nowotworowych, co może prowadzić do eliminacji mutacji genetycznych związanych z chorobą.
- Indywidualizacja terapii – Potencjał terapii genowych w leczeniu glejaka mózgu polega również na możliwości dostosowania leczenia do konkretnych mutacji genetycznych obecnych w komórkach nowotworowych pacjenta. Indywidualizacja terapii ma na celu zwiększenie skuteczności i zmniejszenie działań niepożądanych.
Potencjał terapii genowych w leczeniu glejaka mózgu wprowadza nowe perspektywy dla personalizowanej medycyny, pozwalając na bardziej skuteczne i precyzyjne leczenie tej agresywnej choroby. Dalsze badania i eksperymenty są niezbędne, aby wykorzystać w pełni potencjał terapii genowych w zwalczaniu glejaka mózgu.
XIV. Wsparcie paliatywne i opieka nad chorym
A. Znaczenie opieki paliatywnej
- Wsparcie w leczeniu objawowym – Opieka paliatywna dla pacjentów z glejakiem mózgu koncentruje się na zapewnieniu lżejszego przebiegu choroby poprzez leczenie objawów związanych z guzem mózgu. Celem opieki paliatywnej jest maksymalne złagodzenie dolegliwości takich jak bóle głowy, nudności, wymioty, zaburzenia snu, osłabienie czy trudności w mówieniu. Dzięki temu pacjenci mogą cieszyć się jak najwyższą jakością życia pomimo choroby.
- Wsparcie emocjonalne – Glejak mózgu to ciężka i nieuleczalna choroba, która ma duży wpływ zarówno na pacjenta, jak i na jego rodzinę. Opieka paliatywna obejmuje również zapewnienie wsparcia emocjonalnego, aby pacjenci i ich rodziny mogli radzić sobie z trudnościami i emocjami związanymi z chorobą. Psycholodzy kliniczni mogą pomóc pacjentom w radzeniu sobie z lękiem, depresją, poczuciem bezradności czy żalem, a także pomóc im znaleźć sposoby na utrzymanie pozytywnego kontekstu życiowego pomimo choroby.
- Zapewnienie komfortu i godności – Opieka paliatywna ma na celu zapewnienie pacjentom jak największego komfortu i godności podczas choroby. Obejmuje to zapewnienie opieki nad chorymi, którzy wymagają pomocy w codziennych czynnościach, takich jak mycie, ubieranie się czy karmienie się. Opieka paliatywna również dba o zapewnienie odpowiednich środków przeciwbólowych i zapobieganie ewentualnym powikłaniom.
B. Wsparcie psychologiczne dla pacjentów i rodzin

- Terapia indywidualna – Wsparcie psychologiczne dla pacjentów z glejakiem mózgu obejmuje terapię indywidualną, która pomaga pacjentom radzić sobie z emocjami związanymi z chorobą. Terapeuci mogą wspierać pacjentów w przyjmowaniu i przetwarzaniu diagnozy, a także pomóc im znalezienie sposobów na utrzymanie pozytywnego spojrzenia na życie.
- Wsparcie rodzinne – Glejak mózgu ma również duży wpływ na bliskich pacjentów. Wsparcie psychologiczne dla rodzin jest istotne w zapewnianiu pomocy w radzeniu sobie z trudnościami emocjonalnymi, lękiem czy poczuciem bezradności. Terapeuci mogą pomóc rodzinom znaleźć zdrowe strategie radzenia sobie z sytuacją, a także wspierać komunikację i relacje w rodzinie w tym trudnym czasie.
- Grupy wsparcia – Pacjenci i ich rodziny mogą również skorzystać z grup wsparcia dla osób dotkniętych glejakiem mózgu. Znalezienie społeczności osób, które przeżywają podobne doświadczenia, może być niezwykle pomocne w budowaniu siły i znalezieniu poczucia przynależności.
Wsparcie paliatywne i opieka nad chorym w przypadku glejaka mózgu mają na celu zapewnienie jak największej jakości życia dla pacjentów i ich rodzin. Zarówno leczenie objawowe, jak i wsparcie psychologiczne są nieodłącznym elementem kompleksowej opieki nad pacjentami z tą trudną chorobą.
XV. Prognozy i Przyszłość Leczenia Glejaka Mózgu
A. Rokowania i wskaźniki przeżycia
Prognozy dotyczące glejaka mózgu mogą być wpływane przez wiele czynników, w tym wiek pacjenta, stadium choroby, lokalizację guza, typ glejaka oraz odpowiedź na leczenie.
Glejaki są zróżnicowane pod względem stopnia złośliwości i rokowania. Na przykład glejak wielopostaciowy (GBM), najbardziej agresywny typ glejaka, ma zazwyczaj gorsze rokowania niż np. glejak niskozróżnicowany.
B. Innowacyjne badania i przyszłość terapii
Obecnie trwają badania kliniczne nad nowymi terapiami dla glejaka mózgu, takimi jak terapie celowane, immunoterapia, czy terapie genowe. Te badania mają na celu znalezienie bardziej skutecznych i mniej toksycznych opcji leczenia.
Przyszłość leczenia glejaka mózgu może być w dużym stopniu oparta na personalizowanej medycynie, wykorzystującej dane genetyczne i molekularne pacjenta do dostosowania terapii. Rozwój technologii, takich jak terapie genowe czy nanotechnologia, również mogą otworzyć nowe możliwości w leczeniu glejaka mózgu.
XVI. Podsumowanie
A. Zrozumienie i zarządzanie glejakiem mózgu
Glejak mózgu jest agresywnym nowotworem mózgu, który stanowi wyzwanie zarówno dla pacjentów, jak i lekarzy. Zrozumienie choroby oraz dostęp do skutecznych strategii zarządzania glejakami mózgu są kluczowe dla poprawy rokowań i jakości życia pacjentów.
B. Kluczowe wnioski z artykułu
Z artykułu wynika, że glejak mózgu jest złożonym schorzeniem, które wymaga interdyscyplinarnego podejścia do diagnostyki i leczenia. Czynniki wpływające na rokowania, różnice między typami glejaków, aktualne badania kliniczne oraz potencjalne kierunki leczenia stanowią istotne obszary do dalszych badań i rozwoju terapii.
C. Znaczenie holistycznego podejścia do leczenia
Holistyczne podejście do leczenia glejaka mózgu obejmuje nie tylko terapię farmakologiczną, ale także wsparcie psychologiczne, opiekę paliatywną, rehabilitację oraz opiekę nad pacjentem i jego rodziną. Włączenie opieki holistycznej może poprawić jakość życia pacjentów i przyczynić się do lepszego zarządzania chorobą.
XVII. Najczęściej Zadawane Pytania (FAQ)
A. Co to jest glejak mózgu i jakie są jego główne rodzaje?
Glejak mózgu to nowotwór złośliwy, który rozwija się w tkance mózgowej. Główne rodzaje glejaków mózgu to glejak astrocytarny, glejak oligodendroglialny, glejak ependymalny oraz glejak wielopostaciowy (GBM).
B. Jakie są pierwsze objawy glejaka mózgu?
Pierwsze objawy glejaka mózgu mogą obejmować bóle głowy, nudności, wymioty, zaburzenia widzenia, trudności z mówieniem, zaburzenia równowagi, drgawki oraz zmiany osobowości czy zachowania.
C. Jakie metody diagnostyczne są najskuteczniejsze?
Najskuteczniejsze metody diagnostyczne glejaka mózgu to rezonans magnetyczny (MRI) i tomografia komputerowa (TK) mózgu. Dodatkowo, biopsja mózgu może być konieczna w celu potwierdzenia diagnozy.
D. Czy glejak mózgu jest uleczalny?
Obecnie glejak mózgu jest trudny do wyleczenia, ze względu na jego agresywny charakter i skłonność do nawrotów. Terapie skupiają się na opóźnianiu postępu choroby, poprawie jakości życia pacjenta i zwiększeniu szans na przeżycie.
E. Jakie są najnowsze osiągnięcia w leczeniu glejaków?
Najnowsze osiągnięcia w leczeniu glejaków mózgu obejmują terapie skierowane na specyficzne cechy molekularne nowotworu, terapie celowane, immunoterapię oraz badania nad terapią genową. Badania kliniczne są kontynuowane w celu opracowania coraz skuteczniejszych strategii leczenia.
F. Jakie wsparcie jest dostępne dla pacjentów i ich rodzin?
Dla pacjentów z glejakiem mózgu i ich rodzin dostępne jest wsparcie psychologiczne, grupy wsparcia, poradnictwo dietetyczne, opiekę paliatywną oraz różnorodne programy rehabilitacyjne. Istnieją także organizacje pacjentów i fundacje zajmujące się wsparciem osób dotkniętych tym nowotworem.

