I. Wprowadzenie
A. Co to jest nowotwór kości?

Nowotwór kości to niekontrolowany wzrost komórek w tkance kostnej, który może prowadzić do tworzenia guzów lub zmian nowotworowych w kościach. Istnieje wiele rodzajów nowotworów kości, takich jak mięsak kostny, chrzęstniakomięsak, osteosarcoma i przerzuty nowotworowe do kości.
B. Dlaczego temat nowotworów kości jest ważny?
Nowotwory kości są istotne ze względu na swoją rzadkość i poważne konsekwencje zdrowotne. Szybkie rozpoznanie i leczenie nowotworów kości może mieć kluczowe znaczenie dla pacjenta, ponieważ mogą one prowadzić do uszkodzenia kości, bólu, ograniczenia ruchomości oraz mogą być przyczyną przerzutów.
C. Statystyki i znaczenie wczesnego rozpoznania
Nowotwory kości stanowią około 0,2% wszystkich nowotworów złośliwych. Wczesne rozpoznanie nowotworów kości jest istotne, ponieważ może zwiększyć skuteczność leczenia i szanse wyleczenia. W przypadku przerzutów nowotworów do kości, wczesne wykrycie może pomóc w zaplanowaniu skutecznej strategii leczenia oraz poprawić jakość życia pacjenta.
II. Podstawy nowotworów kości
A. Rodzaje nowotworów kości
- Nowotwory pierwotne: Nowotwory pierwotne kości wywodzą się bezpośrednio z tkanki kostnej i mogą być zarówno łagodne, jak i złośliwe. Przykłady nowotworów pierwotnych to osteochondroma, osteoma, osteosarcoma.
- Nowotwory wtórne (przerzuty do kości): Są to nowotwory, które rozwinęły się w innych narządach i przerzutowały do kości. Nowotwory wtórne stanowią większość nowotworów kości, a najczęstszymi źródłami przerzutów są raki piersi, płuc, nerek i tarczycy.

B. Najczęściej występujące nowotwory kości
- Kostniakomięsak: Jest to typ nowotworu kości, który rozwija się z komórek kości i szpiku kostnego. Może być złośliwy lub łagodny, a jego objawy mogą obejmować ból i powiększenie kości.
- Chrzęstniakomięsak: Nowotwór złożony z komórek chrzęstnych i tkanki mięsnej. Może powodować ból oraz powiększenie lub zmiany w obrębie kości.
- Mięsak Ewinga: Jest to złośliwy nowotwór, który najczęściej rozwija się u dzieci i młodych dorosłych. Objawy obejmują ból, obrzęk i osłabienie kości.
C. Łagodne a złośliwe nowotwory – różnice
Łagodne nowotwory kości są zazwyczaj wolnorosnące, dobrze odgraniczone i rzadko przerzucają się do innych narządów, podczas gdy złośliwe nowotwory kości rosną agresywnie, mogą niszczyć okoliczne tkanki i przerzucają się do innych części ciała. Diagnoza i różnicowanie między łagodnymi a złośliwymi nowotworami kości mają kluczowe znaczenie dla planowania odpowiedniego leczenia.
III. Czynniki ryzyka i przyczyny
A. Czynniki genetyczne
Czynniki genetyczne odgrywają istotną rolę w rozwoju nowotworów kości. Osoby, u których w rodzinie występowały przypadki nowotworów kości, mogą mieć zwiększone ryzyko zachorowania. Mutacje w genach, takich jak RB1, TP53, czy RECQL4, mogą również predysponować do rozwoju nowotworów kości.
B. Wpływ promieniowania
Promieniowanie jonizujące, zarówno naturalne jak i sztuczne, może zwiększać ryzyko rozwoju nowotworów kości. Osoby narażone na promieniowanie, na przykład ze względu na leczenie promieniami w przeszłości, mają większe ryzyko zachorowania na nowotwór kości.
C. Choroby predysponujące do nowotworów kości (np. choroba Pageta)
Niektóre choroby mogą predysponować do rozwoju nowotworów kości. Przykładem takiej choroby jest choroba Pageta, która charakteryzuje się przewlekłym, nieprawidłowym wzrostem kości. Osoby cierpiące na tę chorobę mają zwiększone ryzyko rozwoju nowotworów kości, w tym osteosarcomy.
D. Rola czynników środowiskowych
Czynniki środowiskowe, takie jak występowanie substancji karcynogennych w środowisku pracy lub życia, mogą mieć wpływ na rozwój nowotworów kości. Kontakt z azbestem, chemikaliami przemysłowymi, a także palenie papierosów, może zwiększać ryzyko zachorowania na nowotwór kości.
Rozpoznanie i zrozumienie czynników ryzyka i przyczyn związanych z rozwojem nowotworów kości jest istotne do skutecznego monitorowania oraz prewencji tej choroby. W przypadku wystąpienia objawów, zaleca się skonsultowanie się z lekarzem w celu dalszej diagnostyki i leczenia.
IV. Objawy nowotworów kości
A. Wczesne objawy – na co zwrócić uwagę?

Wczesne objawy nowotworów kości mogą być łatwo przeoczone lub zinterpretowane jako zwykłe dolegliwości. Na co zwrócić uwagę:
- Nawracające bóle kości, które nie ustępują po odpoczynku lub lekach.
- Obrzęk w okolicach stawów lub kości.
- Niewyjaśnione złamania kości.
- Trudności w poruszaniu się z powodu bólu lub osłabienia kości.
B. Objawy zaawansowanego stadium choroby
W zaawansowanym stadium nowotworu kości objawy mogą być bardziej nasilone i obejmować:
- Nasilający się ból, który może być obecny zarówno w spoczynku, jak i podczas ruchu.
- Widoczne deformacje kości.
- Powiększenie okolicznych węzłów chłonnych.
- Zmiany skórne nad obszarem dotkniętym nowotworem kości.
C. Kiedy udać się do lekarza?
W przypadku podejrzenia nowotworu kości, ważne jest szybkie skonsultowanie się z lekarzem. Należy udać się do lekarza, jeśli wystąpią:
- Trwający dłużej niż kilka tygodni ból kości.
- Niespodziewane złamania kości.
- Widoczne zmiany w obrębie kości, takie jak deformacje czy obrzęki.
- Trudności w poruszaniu się lub używaniu kończyny.
Wczesne wykrycie nowotworu kości ma kluczowe znaczenie dla skutecznego leczenia i prognozy. Lekarz może zlecić odpowiednie badania diagnostyczne, takie jak RTG, tomografia komputerowa (TK), rezonans magnetyczny (MRI) lub biopsję, w celu potwierdzenia diagnozy. Nie bagatelizuj objawów i działaj szybko, jeśli masz podejrzenia dotyczące nowotworu kości.
V. Diagnostyka nowotworów kości
A. Wywiad lekarski i badanie fizykalne
- Wywiad lekarski: Podczas wywiadu lekarz zbiera informacje dotyczące objawów, ewentualnych czynników ryzyka oraz historii medycznej pacjenta.
- Badanie fizykalne: Lekarz dokonuje oceny fizycznej pacjenta, w tym palpacji kości, w poszukiwaniu ewentualnych guzów czy obrzęków.
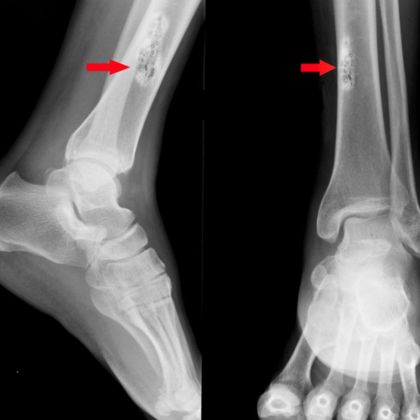
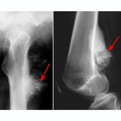
B. Badania obrazowe

- Rentgen: Rentgenografia jest często wykorzystywana jako pierwsze badanie obrazowe w diagnostyce nowotworów kości. Pozwala ona na uzyskanie obrazu struktury kostnej i potencjalnych zmian nowotworowych.
- Tomografia komputerowa (TK): TK pozwala na uzyskanie bardziej szczegółowych obrazów struktury kości i tkanek miękkich, co może pomóc w określeniu rozległości guza oraz ewentualnego zaangażowania tkanek otaczających.
- Rezonans magnetyczny (MRI): MRI jest często stosowana w diagnostyce nowotworów kości, ponieważ umożliwia uzyskanie bardziej szczegółowego obrazu tkanek miękkich i zapewnia informacje o ewentualnym nacieku guza na otaczające struktury.
- Scyntygrafia kości: Badanie scyntygraficzne pozwala na wykrycie zmian nowotworowych w kościach, nawet przed pojawieniem się zmian na obrazach rentgenowskich.
C. Biopsja – kluczowe narzędzie diagnostyczne
Biopsja: Jest to najważniejsze narzędzie diagnostyczne w ustaleniu rodzaju i charakterystyki nowotworu kości. Pobrane podczas biopsji tkanki są poddawane badaniom histopatologicznym w celu określenia typu komórek nowotworowych.
D. Badania laboratoryjne
Przy diagnostyce nowotworów kości mogą być wykonywane badania laboratoryjne, takie jak:
- Badania krwi, w tym analiza poziomu enzymów i białek charakterystycznych dla nowotworów.
- Ocena poziomu markera nowotworowego, który może być obecny w przypadku niektórych nowotworów kości.
Poprzez kompleksową diagnostykę, która obejmuje wywiad lekarski, badania obrazowe, biopsję oraz badania laboratoryjne, możliwe jest skuteczne określenie rodzaju nowotworu kości oraz zaplanowanie odpowiedniego leczenia. Wczesna i dokładna diagnoza ma kluczowe znaczenie dla dalszego postępowania i rokowań pacjenta.
VI. Leczenie nowotworów kości
A. Opcje leczenia zależne od rodzaju nowotworu
Leczenie nowotworów kości zawsze powinno być dostosowane do konkretnego rodzaju nowotworu oraz jego zaawansowania. Może obejmować różne metody, takie jak chirurgia, radioterapia, chemioterapia oraz terapie celowane.
B. Chirurgia
- Rodzaje operacji: W zależności od zlokalizowania, rozmiaru i charakterystyki nowotworu kości, operacja może polegać na usunięciu guza w całości (resekcja) lub w części (debulking). Czasami może być konieczne usunięcie całej kości i przeprowadzenie rekonstrukcji.
- Rekonstrukcja po operacji: Po usunięciu nowotworu kości może być konieczna rekonstrukcja tkanek czy wszczepienie protezy w celu przywrócenia funkcji kończyny i zapobieżenia deformacjom.
C. Radioterapia
- Kiedy jest stosowana?: Radioterapia może być stosowana zarówno przed jak i po operacji w celu zmniejszenia rozmiaru guza, zwiększenia skuteczności leczenia chirurgicznego lub niszczenia ewentualnych pozostałych komórek nowotworowych.
- Potencjalne skutki uboczne: Radioterapia może powodować skutki uboczne, takie jak zmęczenie, reakcje skórne, nudności czy uszkodzenia tkanek i narządów znajdujących się w pobliżu obszaru poddanego radioterapii.

D. Chemioterapia
- Najczęściej stosowane leki: W leczeniu nowotworów kości stosuje się różne leki chemioterapeutyczne, takie jak metotreksat, doksorubicyna, cisplatyna czy ifosfamid.
- Schematy leczenia: Chemioterapia może być podawana przed operacją (neoadiuwantowo), po operacji (adyuwantowo) lub w przypadku zaawansowanych nowotworów kości. Schemat leczenia zależy od rodzaju nowotworu i jego stopnia zaawansowania.
E. Terapie celowane i immunoterapia
Nowoczesne metody leczenia: Terapie celowane oraz immunoterapia stanowią nowoczesne podejście w leczeniu nowotworów kości. Terapie te działają na określone czynniki wzrostu komórek nowotworowych lub wykorzystują mechanizmy odpornościowe organizmu do zwalczania raka.
Poprzez kompleksowe podejście z zastosowaniem różnych metod terapeutycznych dostosowanych do indywidualnych potrzeb pacjenta, możliwe jest skuteczne leczenie nowotworów kości oraz poprawa rokowań pacjentów. W każdym przypadku leczenie powinno być koordynowane i monitorowane przez zespół specjalistów z różnych dziedzin medycyny onkologicznej.
VII. Powikłania i skutki uboczne leczenia nowotworu kości:
A. Możliwe komplikacje chirurgiczne:
- Infekcja chirurgiczna: Jest to jedno z najczęstszych powikłań po zabiegach chirurgicznych związanych z nowotworem kości. Konieczne jest stosowanie antybiotykoterapii oraz monitorowanie zakażenia.
- Uszkodzenie nerwów i naczyń krwionośnych: Podczas operacji istnieje ryzyko uszkodzenia nerwów i naczyń krwionośnych, co może prowadzić do zaburzeń czucia, ruchomości i krążenia.
- Niedowład kończyn: Po operacji związanej z nowotworem kości może wystąpić osłabienie lub utrata funkcji kończyn, co wymaga długotrwałej rehabilitacji.
B. Efekty uboczne chemioterapii i radioterapii:

- Nudności i wymioty: Jednym z częstych skutków ubocznych chemioterapii jest nudności i wymioty. Istnieją specjalne leki przeciwwymiotne, które mogą pomóc w łagodzeniu tych objawów.
- Utrata włosów: Chemioterapia często prowadzi do utraty włosów, co może być emocjonalnie trudne dla pacjenta. Warto przygotować się na tę możliwość i rozważyć zakup peruki lub nakrycia głowy.
- Uszkodzenie tkanek zdrowych: Radioterapia może powodować uszkodzenie tkanek zdrowych w okolicach obszaru, na którym jest stosowana. Może to prowadzić do obrzęków, zmian skórnych czy trudności w połykaniu.
C. Jak radzić sobie z bólem i dyskomfortem?
- Leki przeciwbólowe: Istnieją różne rodzaje leków przeciwbólowych, które mogą pomóc w łagodzeniu bólu związanego z nowotworem kości. Ważne jest stosowanie ich zgodnie z zaleceniami lekarza.
- Fizjoterapia: Fizjoterapia może być pomocna w łagodzeniu bólu oraz poprawie funkcji ruchowych po operacji. Ćwiczenia mogą również pomóc w utrzymaniu sprawności fizycznej.
- Techniki relaksacyjne: Ćwiczenia oddechowe, medytacja czy joga mogą pomóc w zmniejszeniu napięcia i łagodzeniu bólu. Warto wypróbować różne techniki relaksacyjne, aby znaleźć najlepszą dla siebie.
Pamiętaj, że wszystkie powyższe informacje są ogólne i każdy przypadek nowotworu kości może różnić się indywidualnymi cechami i wymaga specjalistycznej opieki lekarza. W przypadku jakichkolwiek wątpliwości lub pytań, zawsze skonsultuj się z lekarzem prowadzącym.
VIII. Życie z nowotworem kości
A. Wsparcie psychologiczne i emocjonalne
Osoby z nowotworem kości często potrzebują wsparcia psychologicznego w radzeniu sobie z emocjami związanymi z chorobą. Terapeuci specjalizujący się w onkologii mogą pomóc pacjentom oraz ich rodzinom w radzeniu sobie ze stresem, lękiem i trudnymi emocjami.
Udział w grupach wsparcia dla osób dotkniętych nowotworem kości może być również pomocny. Pozwala to pacjentom na dzielenie się doświadczeniami, wymianę porad oraz budowanie siły poprzez wsparcie innych w podobnej sytuacji.
B. Rola fizjoterapii w rehabilitacji
- Poprawa funkcji ruchowych: Fizjoterapia odgrywa istotną rolę w rehabilitacji po leczeniu nowotworu kości. Pomaga w poprawie funkcji ruchowych, zwiększeniu siły mięśniowej oraz przywróceniu sprawności fizycznej.
- Łagodzenie bólu: Ćwiczenia fizjoterapeutyczne mogą pomóc w redukcji bólu i sztywności spowodowanych chorobą lub leczeniem.
- Zapobieganie deformacjom: Poprzez regularne ćwiczenia i terapię fizjoterapeutyczną można zadbać o zachowanie prawidłowej postawy ciała i zapobiec ewentualnym deformacjom.
C. Jak radzić sobie z ograniczeniami fizycznymi?
W przypadku ograniczeń fizycznych wynikających z nowotworu kości ważne jest zaakceptowanie swoich nowych możliwości oraz adaptacja do zmian.
Istnieją różne urządzenia wspomagające oraz modyfikacje środowiska, które mogą ułatwić codzienne funkcjonowanie w obliczu ograniczeń fizycznych. Warto skonsultować się z terapeutą zajmującym się rehabilitacją.
D. Znaczenie zdrowego stylu życia
- Zbilansowana dieta: Zdrowe odżywianie odgrywa ważną rolę w procesie leczenia nowotworu kości. Staraj się spożywać posiłki bogate w składniki odżywcze, takie jak warzywa, owoce, pełnoziarniste produkty zbożowe i chude źródła białka.
- Regularna aktywność fizyczna: W miarę możliwości warto utrzymywać aktywność fizyczną, dostosowaną do indywidualnych możliwości i wskazówek lekarza. Ćwiczenia mogą pomóc w utrzymaniu sprawności fizycznej i poprawie samopoczucia.
- Odpoczynek i relaksacja: Dbaj o odpowiednią ilość snu i relaksuj się regularnie. Odpoczynek ma kluczowe znaczenie dla regeneracji organizmu i wsparcia procesu leczenia.
Pamiętaj, że każdy przypadek nowotworu kości jest inny i wymaga indywidualnego podejścia. Ważne jest regularne monitorowanie postępów leczenia oraz otwarta komunikacja z zespołem medycznym, aby otrzymać odpowiednie wsparcie i opiekę.
IX. Rokowania i perspektywy
A. Czynniki wpływające na rokowanie
Rokowanie pacjenta z nowotworem kości zależy od różnych czynników, w tym:
- Typu i stopnia zaawansowania nowotworu
- Właściwego diagnozowania i szybkiego rozpoczęcia leczenia
- Obecności przerzutów do innych części ciała
- Wiek i ogólny stan zdrowia pacjenta
- Skuteczności terapii i odpowiedzi na leczenie
B. Postęp w badaniach i nowe terapie
Badania nad nowotworami kości stale się rozwijają, a nowe terapie oferują coraz większe szanse na skuteczne leczenie. Niektóre z postępów i terapii obejmują:
- Zastosowanie terapii celowanych, które są bardziej skuteczne i mniej inwazyjne
- Rozwój terapii immunologicznych, takich jak immunoterapia
- Wykorzystanie nowoczesnych technologii obrazowania, które pozwalają na dokładniejsze diagnozowanie i monitorowanie pacjentów
C. Przykłady sukcesów w leczeniu
W ciągu ostatnich lat zaobserwowano wiele sukcesów w leczeniu nowotworów kości, w tym:
- Poprawa wskaźników przeżycia dzięki zastosowaniu kombinacji terapii, takich jak chemioterapia, chirurgia i radioterapia
- Skuteczne usuwanie zmian nowotworowych dzięki nowatorskim technikom chirurgicznym, takim jak resekcje komputerowo wspomagane
- Rozwój terapii wspomagających przeżycie i poprawiających jakość życia pacjentów, takich jak intensywna rehabilitacja
Dzięki postępowi w dziedzinie badań nad nowotworami kości oraz nowym terapiom, perspektywy dla pacjentów z tą chorobą stają się coraz bardziej obiecujące. Wciąż jednak konieczne jest dalsze badanie i rozwijanie nowych metod leczenia, aby poprawić wyniki i jakość życia pacjentów dotkniętych nowotworem kości.
X. Zapobieganie nowotworom kości
A. Czy można zapobiec nowotworom kości?
Nowotworom kości często nie da się zapobiec, ponieważ nie są one w dużej mierze związane ze stylem życia czy czynnikami środowiskowymi. Większość przypadków nowotworów kości nie da się uniknąć poprzez zmianę trybu życia czy przyjmowanie konkretnych środków ostrożności.
B. Profilaktyka pierwotna i wtórna
Profilaktyka pierwotna skupia się na zapobieganiu powstawania nowotworów kości poprzez edukację na temat zdrowego stylu życia, regularne badania lekarskie oraz unikanie czynników ryzyka, takich jak palenie papierosów czy nadmierne spożycie alkoholu. Jednakże, ze względu na mało znaną etiologię nowotworów kości, specyficzne strategie profilaktyczne są trudne do ustalenia.
Profilaktyka wtórna obejmuje wczesne wykrywanie i leczenie rozwijających się nowotworów kości, aby zmniejszyć ryzyko powikłań i poprawić wyniki leczenia. Regularne badania lekarskie oraz świadomość objawów nowotworów kości są kluczowe dla profilaktyki wtórnej.
C. Znaczenie badań przesiewowych

Badania przesiewowe dla nowotworów kości nie są powszechną praktyką, ponieważ ta forma nowotworu jest stosunkowo rzadka i stanowi tylko niewielki odsetek nowotworów. Obecnie głównym celem badań przesiewowych jest wykrycie nowotworów w ich wczesnych stadiach, co może poprawić rokowanie pacjentów i zwiększyć szanse na skuteczne leczenie.
Choć zapobieganie nowotworom kości nie jest łatwe, dbanie o zdrowy tryb życia, regularne badania lekarskie oraz świadomość objawów nowotworów kości mogą być istotne w profilaktyce pierwotnej i wtórnej. W przypadku osób zwiększonego ryzyka, takich jak osoby z genetycznym predyspozycjami, ważne jest skonsultowanie się z lekarzem w celu ustalenia indywidualnego planu profilaktycznego.
XI. Podsumowanie
A. Kluczowe wnioski z artykułu
W artykule omawiającym nowotwory kości można wyróżnić kilka kluczowych wniosków.
- Po pierwsze, nowotwory kości mogą być trudne do wykrycia we wczesnych stadiach, dlatego ważne jest zwracanie uwagi na wszelkie nietypowe objawy związane z bólem kości, obrzękiem czy zmianami w ruchomości stawów.
- Po drugie, profilaktyka pierwotna i wtórna odgrywają istotną rolę w redukcji ryzyka oraz poprawie wyników leczenia. Profilaktyka pierwotna ma na celu unikanie czynników ryzyka, takich jak palenie papierosów czy nadmierna ekspozycja na promieniowanie.
- Profilaktyka wtórna natomiast koncentruje się na wczesnym wykrywaniu nowotworów kości, co może zwiększyć szanse na skuteczne leczenie.
B. Znaczenie edukacji w zakresie nowotworów kości
- Edukacja na temat nowotworów kości odgrywa istotną rolę zarówno w profilaktyce, jak i w poprawie wyników leczenia.
- Poprawna wiedza na temat objawów, czynników ryzyka i dostępnych opcji leczenia może skutkować wczesnym wykryciem nowotworu oraz szybkim rozpoczęciem leczenia, co może wpłynąć pozytywnie na rokowanie pacjenta.
- Ponadto, edukacja może także pomóc w unikaniu czynników ryzyka i przestrzeganiu zaleceń dotyczących zdrowego stylu życia.
- Dostęp do rzetelnej, przejrzystej informacji na temat nowotworów kości jest kluczowy zarówno dla pacjentów, jak i społeczności, aby promować świadome podejmowanie decyzji dotyczących zdrowia i zachęcać do regularnych badań profilaktycznych.
XII. Najczęściej zadawane pytania (FAQ)
A. Czy nowotwór kości zawsze oznacza złośliwość?
Nie wszystkie nowotwory kości są złośliwe. Istnieją zarówno nowotwory łagodne, jak i złośliwe. Nowotwory kości złośliwe mogą być bardziej agresywne i wymagać intensywnego leczenia, w tym chirurgii, chemioterapii i radioterapii. Dlatego istotne jest, aby każdy nowotwór kości był dokładnie zdiagnozowany i oceniony pod kątem złośliwości.
B. Jakie są szanse na całkowite wyleczenie?
Szanse na całkowite wyleczenie nowotworu kości zależą od wielu czynników, m.in. od rodzaju nowotworu, stopnia zaawansowania choroby, wieku pacjenta oraz skuteczności zastosowanej terapii. W niektórych przypadkach, zwłaszcza przy wczesnym wykryciu i agresywnym leczeniu, istnieje możliwość całkowitego wyleczenia. Jednakże w niektórych przypadkach nowotwory kości mogą mieć agresywny charakter i prognoza może być mniej korzystna, co wymaga regularnego monitorowania i długoterminowej opieki.
C. Czy dzieci są bardziej narażone na nowotwory kości niż dorośli?
Nowotwory kości są rzadsze u dzieci niż u dorosłych, ale mogą wystąpić w każdym wieku. Istnieją jednak pewne typy nowotworów kości, które są bardziej charakterystyczne dla dzieci, takie jak osteosarcoma czy Ewing’s sarcoma. Ważne jest szybkie rozpoznanie oraz leczenie nowotworów kości u dzieci, ponieważ młodszy wiek pacjenta może wpłynąć na wybór strategii terapeutycznej i prognozę.
D. Jakie badania są najbardziej wiarygodne w diagnozowaniu nowotworów kości?
W diagnozie nowotworów kości najczęściej stosuje się badania obrazowe, takie jak rentgen, tomografia komputerowa (TK) czy rezonans magnetyczny (MRI). Dodatkowo, biopsja (pobranie fragmentu tkanki do badania pod mikroskopem) jest kluczowym badaniem w potwierdzeniu rodzaju nowotworu i jego złośliwości. Ponadto, badania laboratoryjne, takie jak badania krwi i markery nowotworowe, mogą być pomocne w diagnostyce i monitorowaniu choroby. Wszystkie te badania wspólnie umożliwiają kompleksową diagnozę nowotworów kości oraz określenie optymalnej strategii leczenia.
