I. Wprowadzenie
A. Czym jest pełzakowica?
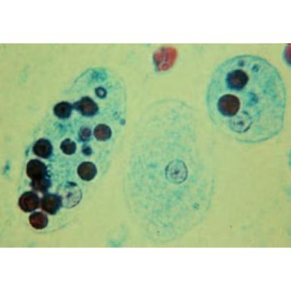
Pełzakowica, znana także jako ameboza, to pasożytnicza choroba inwazyjna przewodu pokarmowego wywoływana przez pierwotniaka z rodzaju Entamoeba – przede wszystkim Entamoeba histolytica. Choroba ta atakuje przewód pokarmowy człowieka i może prowadzić do poważnych komplikacji, takich jak owrzodzenia jelitowe, a nawet szerzenie się zakażenia do innych narządów, takich jak wątroba i mózg.

B. Historia i epidemiologia choroby
Pełzakowica jest chorobą powszechnie występującą w krajach o ciepłym klimacie i słabych warunkach sanitarnych, zwłaszcza w Azji Południowo-Wschodniej, Afryce Subsaharyjskiej oraz Ameryce Łacińskiej. Pierwszy przypadek pełzakowicy opisano pod koniec XIX wieku, a od tego czasu stanowi istotny problem zdrowotny w wielu regionach świata.
C. Znaczenie świadomości na temat pełzakowicy
Świadomość na temat pełzakowicy odgrywa kluczową rolę w profilaktyce, diagnozie i leczeniu tej choroby. Podstawowe zasady higieny, takie jak regularne mycie rąk, spożywanie bezpiecznej wody i przygotowywanie jedzenia, mogą pomóc w uniknięciu zakażenia. Ponadto edukacja społeczeństwa na temat objawów, metod transmisji oraz dostępnych opcji leczenia może przyczynić się do szybkiego rozpoznania i skutecznego leczenia pełzakowicy.
II. Przyczyny i Czynniki Ryzyka
A. Co powoduje pełzakowicę? – Entamoeba histolytica
Pełzakowica jest wywoływana przez pierwotniaka Entamoeba histolytica, który najczęściej atakuje przewód pokarmowy człowieka. Pierwotniak ten może prowadzić do uszkodzenia błony śluzowej jelit, co objawia się np. biegunką krwawą oraz powstawaniem wrzodów.
B. Jak dochodzi do zakażenia? – Drogi przenoszenia
Zakażenie pełzakowicą może nastąpić poprzez spożycie pokarmu lub wody zanieczyszczonej cystami Entamoeba histolytica. Możliwe jest również przeniesienie zakażenia drogą oralno-oralną, zwłaszcza w warunkach braku higieny.
C. Czynniki zwiększające ryzyko zakażenia
Istnieje kilka czynników, które mogą zwiększyć ryzyko zakażenia pełzakowicą. Należą do nich:
- Życie w obszarach o słabych warunkach sanitarnych
- Spożywanie zanieczyszczonej wody bądź jedzenia
- Niska higiena osobista, zwłaszcza brak mycia rąk przed jedzeniem
- Kontakt z osobami zakażonymi
- Podróżowanie do regionów endemicznych
D. Pełzakowica a higiena osobista
Ważnym aspektem w profilaktyce pełzakowicy jest zachowanie odpowiedniej higieny osobistej.
- Regularne mycie rąk wodą i mydłem, szczególnie po skorzystaniu z toalety i przed przygotowaniem posiłków, może pomóc w uniknięciu zakażenia.
- Dodatkowo, należy spożywać jedynie bezpieczną wodę i dobrze przetworzone jedzenie, aby zmniejszyć ryzyko zakażenia pełzakowicą. Edukacja społeczeństwa na temat właściwych praktyk higienicznych odgrywa kluczową rolę w zapobieganiu zakażeniom tego rodzaju.
III. Objawy Pełzakowicy
A. Pełzakowica jelitowa – typowe objawy
Pełzakowica jelitowa jest najczęstszą postacią tej choroby i objawia się następującymi symptonami:
- Biegunka, często z domieszką krwi
- Bóle brzucha
- Wzdęcia
- Nudności i wymioty
- Utrata masy ciała
- Zmęczenie
B. Pełzakowica pozajelitowa – objawy i powikłania
W przypadku pełzakowicy pozajelitowej, pasożyt może migrować do innych narządów, takich jak wątroba, płuca czy mózg, powodząc różnorodne objawy. Potencjalne powikłania obejmują:
- Zapalenie wątroby
- Zapalenie płuc
- Zaburzenia neurologiczne, np. zapalenie opon mózgowych
C. Postacie kliniczne choroby – od łagodnej do ciężkiej
Pełzakowica może przebiegać w różnych stopniach nasilenia, od łagodnych objawów przewlekłych po ciężkie powikłania. W najcięższych przypadkach, nieleczona pełzakowica może prowadzić nawet do śmierci pacjenta.
D. Jak odróżnić pełzakowicę od innych infekcji jelitowych?
Odróżnienie pełzakowicy od innych infekcji jelitowych może być wyzwaniem, ponieważ objawy biegunki i bólu brzucha są podobne do innych schorzeń przewodu pokarmowego, takich jak zakażenie bakteryjne czy wirusowe. Kluczowe jest wykonanie dokładnego badania kału w celu zidentyfikowania obecności cyst Entamoeba histolytica. Dodatkowo, lekarz może zlecić badania krwi lub obrazowanie radiologiczne dla potwierdzenia diagnozy pełzakowicy.
IV. Diagnostyka Pełzakowicy
A. Badania laboratoryjne – kał, krew i inne próbki
- Diagnostyka pełzakowicy zazwyczaj obejmuje pobranie próbek kału w celu identyfikacji cyst Entamoeba histolytica.
- Dodatkowo, badania laboratoryjne mogą obejmować badania krwi w celu sprawdzenia obecności przeciwciał przeciwko pierwotniakowi oraz oznaczenie poziomu białka C-reaktywnego w celu oceny aktywności zapalnej w organizmie.
B. Metody obrazowe – USG, tomografia komputerowa
W przypadku podejrzenia pełzakowicy pozajelitowej, lekarz może zalecić wykonanie badań obrazowych, takich jak ultrasonografia (USG) czy tomografia komputerowa, w celu oceny stanu narządów, takich jak wątroba czy płuca, które mogą być zaatakowane przez pasożyta.
C. Diagnostyka różnicowa – choroby o podobnych objawach
Podczas diagnostyki pełzakowicy ważne jest odróżnienie tej choroby od innych schorzeń o podobnych objawach, takich jak zakażenia bakteryjne, wirusowe czy inne pasożytnicze infekcje jelitowe. Diagnostyka różnicowa może wymagać specjalistycznych badań, takich jak testy na obecność innych patogenów czy badania obrazowe.
D. Kiedy zgłosić się do lekarza?
Należy zgłosić się do lekarza, jeśli wystąpią objawy sugerujące pełzakowicę, takie jak biegunka z domieszką krwi, bóle brzucha, nudności, wymioty czy utrata masy ciała. Jeśli podejrzewasz zakażenie pełzakowicą, ważne jest jak najszybsze skonsultowanie się z lekarzem w celu potwierdzenia diagnozy i podjęcia odpowiedniego leczenia. Nieleczona pełzakowica może prowadzić do powikłań i pogorszenia stanu zdrowia.
V. Leczenie Pełzakowicy
A. Leczenie farmakologiczne – metronidazol i inne leki
Standardowe leczenie farmakologiczne pełzakowicy obejmuje stosowanie leku metronidazol, który jest skutecznym lekiem przeciwpierwotniakowym. Inne leki, takie jak tinidazol, mogą być również stosowane w leczeniu tej choroby.
B. Leczenie chirurgiczne – kiedy jest konieczne?
W większości przypadków pełzakowica może być skutecznie leczona farmakologicznie i nie wymaga interwencji chirurgicznej. Jednakże w przypadku powikłań, takich jak ropnie wątroby czy perforacje jelit, konieczne może być chirurgiczne leczenie usunięcia zmienionych tkanek.
C. Leczenie wspomagające – dieta i nawodnienie
W trakcie leczenia pełzakowicy istotne jest utrzymanie odpowiedniej diety i nawodnienia. Dieta powinna być łatwostrawna i bogata w składniki odżywcze, a pacjent powinien utrzymać odpowiednią równowagę elektrolitową poprzez regularne nawadnianie.
D. Czy pełzakowica jest całkowicie wyleczalna?
Tak, pełzakowica jest zazwyczaj całkowicie wyleczalna, jeśli jest odpowiednio zdiagnozowana i leczona. Farmakologiczne leczenie może być skuteczne w eliminacji pasożyta, a stosowanie leków zazwyczaj prowadzi do wyzdrowienia. W razie jakichkolwiek wątpliwości lub obaw, należy skonsultować się z lekarzem.
VI. Powikłania Pełzakowicy
A. Ropień wątroby – groźne następstwo infekcji
Pełzakowica może prowadzić do powstania ropnia wątroby, który jest poważnym i groźnym powikłaniem. Ropień wątroby może wymagać interwencji chirurgicznej oraz antybiotykoterapii i może prowadzić do poważnych konsekwencji, jeśli nie zostanie właściwie zdiagnozowany i leczony.
B. Perforacja jelit – stan zagrożenia życia
Perforacja jelit jest kolejnym powikłaniem pełzakowicy, które może wystąpić, szczególnie w przypadku zaawansowanej infekcji. Perforacja jelit powoduje wyciek treści jelitowej do jamy brzusznej, co może prowadzić do stanu zagrożenia życia, sepsy oraz wymagania pilnej interwencji chirurgicznej.
C. Sepsa i inne ciężkie komplikacje
Pełzakowica może prowadzić do rozwoju sepsy, czyli ogólnoustrojowej infekcji, która stanowi poważne zagrożenie dla zdrowia i życia pacjenta. Inne ciężkie komplikacje, takie jak zapalenie otrzewnej czy zapalenie mózgu, mogą również wystąpić u pacjentów z nieleczonej lub nieodpowiednio leczonej pełzakowicą.
D. Jak unikać powikłań?
Aby uniknąć powikłań pełzakowicy, należy skupić się na zapobieganiu zarażeniom i wczesnym objawom tej choroby. Regularne stosowanie środków higieny, unikanie picia nieprzegotowanej wody oraz unikanie spożywania surowych lub niedogotowanych mięs mogą pomóc zmniejszyć ryzyko zakażenia pełzakowicą. Ponadto, ważne jest szybkie zwrócenie się o pomoc medyczną w przypadku podejrzenia pełzakowicy, aby zapobiec powikłaniom i skutecznie leczyć infekcję.
VII. Pełzakowica w Kontekście Globalnym
A. Kraje o największej liczbie zakażeń
Pełzakowica występuje najczęściej w krajach o niskim lub średnim dochodzie, zwłaszcza w obszarach wiejskich, gdzie warunki sanitarne mogą być niewystarczające. Największa liczba zakażeń jest zgłaszana głównie w krajach subsaharyjskiej Afryki, Azji Południowej i Ameryki Łacińskiej. Warunki ubóstwa, brak dostępu do czystej wody pitnej oraz niski poziom higieny są czynnikami sprzyjającymi rozprzestrzenianiu się pełzakowicy w tych regionach.
B. Pełzakowica w podróżach międzynarodowych
Pełzakowica może być zagrożeniem dla osób podróżujących do obszarów endemicznych, zwłaszcza jeśli nie stosują odpowiednich środków ostrożności. Podróżujący do obszarów, gdzie występuje pełzakowica, powinni unikać picia nieprzegotowanej wody, spożywania surowych lub niedogotowanych mięs oraz kontaktu z nieoczyszczonymi źródłami wody. Profilaktyczne stosowanie leków przeciwko pełzakowicy może być również zalecane dla podróżujących z rejonów o niskim ryzyku zakażenia.
C. Programy WHO i organizacji zdrowotnych
Światowa Organizacja Zdrowia (WHO) oraz inne organizacje zdrowotne angażują się w zapobieganie i kontrolę pełzakowicy na skalę globalną. Programy eliminacji pełzakowicy obejmują szereg działań, takich jak poprawa dostępu do czystej wody i sanitacji, edukacja dotycząca higieny, kampanie masowego leczenia oraz ograniczanie zaniedbań sanitarnych. WHO stawia sobie za cel eliminację pełzakowicy jako problemu zdrowotnego publicznego w wielu regionach, poprzez wdrażanie skutecznych strategii zapobiegawczych i leczniczych oraz wspieranie badań nad nowymi metodami kontroli tej choroby.
VIII. Profilaktyka Pełzakowicy
A. Jak zapobiegać zakażeniu?
Najskuteczniejszym sposobem zapobiegania pełzakowicy jest unikanie kontaktu z zakażoną wodą i żywnością. Należy unikać picia nieprzegotowanej wody, spożywania surowych lub niedogotowanych mięs oraz owoców i warzyw nieumytych przed spożyciem. Ważne jest także korzystanie z bezpiecznych źródeł wody do picia oraz przygotowywania posiłków.
B. Znaczenie czystej wody i higieny rąk
Regularne mycie rąk jest kluczowym elementem w zapobieganiu zakażeniom, w tym pełzakowicy. Higiena rąk pomaga eliminować bakterie i pasożyty, które mogą być przenoszone na pokarm i wodę. Zapewnienie dostępu do czystej wody do mycia rąk oraz regularne mycie ich przed posiłkami oraz po skorzystaniu z toalety są istotne dla zapobiegania pełzakowicy.
C. Bezpieczne praktyki żywieniowe
Odpowiednie praktyki żywieniowe, takie jak gotowanie mięsa w odpowiednich temperaturach, mycie owoców i warzyw przed spożyciem oraz unikanie surowych produktów spożywczych, mogą zmniejszyć ryzyko zakażenia pełzakowicą. Ważne jest również przechowywanie żywności w odpowiednich warunkach, aby uniknąć skażenia mikroorganizmami.
D. Szczepienia i rozwój środków prewencyjnych
W niektórych przypadkach szczepienia przeciwko pełzakowicy mogą być zalecane, zwłaszcza dla osób podróżujących do obszarów endemicznych. Opracowanie skutecznych środków prewencyjnych i leczniczych jest również ważnym krokiem w zwalczaniu pełzakowicy. Badania naukowe nad nowymi metodami profilaktyki oraz leczenia stanowią kluczową część działań mających na celu kontrolę tej choroby.
IX. Pełzakowica a Inne Choroby Pasożytnicze
A. Porównanie z giardiozą i innymi infekcjami jelitowymi
- Pełzakowica: Wywołana pasożytniczymi pierwotniakami z rodzaju Entamoeba, najczęściej Entamoeba histolytica. Może prowadzić do objawów takich jak biegunka z obecnością krwi w stolcu, bóle brzucha i gorączka.
- Giardioza: Spowodowana przez pierwotniaka Giardia lamblia, charakteryzuje się objawami takimi jak biegunka, wzdęcia, gorączka oraz utrata masy ciała. Może być przenoszona drogą fekalno-oralną.
B. Współwystępowanie pełzakowicy z innymi chorobami
Pełzakowica często współwystępuje z innymi chorobami pasożytniczymi i infekcjami jelitowymi, co może znacznie pogorszyć stan zdrowia pacjenta. Wśród chorób, które mogą współistnieć z pełzakowicą, należy wymienić lambliozę, czerwonkę bakteryjną czy też zakażenie owsicą.
C. Pełzakowica a osłabienie układu odpornościowego
Osoby z osłabionym układem odpornościowym, na przykład pacjenci zakażeni wirusem HIV, osoby po przeszczepie narządów czy też chorujące na przewlekłe schorzenia, mogą być bardziej podatne na rozwinięcie pełzakowicy. Zakażenie pełzakowicą może dodatkowo osłabić układ immunologiczny, prowadząc do poważniejszych objawów i powikłań u tych osób. Dlatego też ważne jest ścisłe monitorowanie i szybkie leczenie pełzakowicy u osób z osłabionym układem odpornościowym.
X. Podsumowanie
A. Kluczowe informacje o pełzakowicy
- Pełzakowica: Choroba pasożytnicza jelit wywoływana przez pierwotniaka Entamoeba histolytica.
- Objawy: Mogą obejmować biegunkę z obecnością krwi w stolcu, bóle brzucha, gorączkę, osłabienie i utratę masy ciała.
- Diagnostyka: Wykonywana za pomocą badań kału w celu wykrycia cyst i trofozoitów pierwotniaka.
- Leczenie: Polega na podawaniu leków przeciwpierwotniaczych, takich jak metronidazol lub tinidazol.
B. Znaczenie wczesnej diagnostyki i leczenia
- Wczesna Diagnostyka: Kluczowa dla szybkiego rozpoczęcia leczenia i zapobieżenia powikłaniom, zwłaszcza u osób z osłabionym układem odpornościowym.
- Leczenie: Skuteczne leczenie pełzakowicy może zapobiec dalszemu rozprzestrzenianiu się pasożyta w organizmie i minimalizować objawy.
- Powikłania: W przypadku braku leczenia pełzakowicy mogą pojawić się powikłania, takie jak wtórne zakażenia jelitowe, ropne zapalenie wątroby czy nawet ropnie mózgu.
C. Jak minimalizować ryzyko zachorowania?
- Higiena osobista: Regularne mycie rąk, szczególnie przed jedzeniem i po wizycie w toalecie, może zmniejszyć ryzyko zakażenia pełzakowicą.
- Unikanie skażonych źródeł wody: Picie tylko przegotowanej wody oraz unikanie spożycia surowych lub niedogotowanych warzyw i owoców mogą pomóc w uniknięciu zakażenia.
- Stosowanie środków ochrony podczas podróży: Podróże do krajów o wysokim ryzyku zakażenia pełzakowicą wymagają zachowania szczególnej ostrożności i stosowania zaleconych środków ochrony, takich jak picie tylko butelkowanej wody i unikanie jedzenia na ulicy.
Dbanie o higienę osobistą, unikanie skażonych źródeł wody oraz stosowanie środków ochrony podczas podróży są sposobami, które mogą pomóc w minimalizowaniu ryzyka zakażenia pełzakowicą. W razie pojawienia się objawów sugerujących infekcję, należy natychmiast skonsultować się z lekarzem w celu zdiagnozowania choroby i rozpoczęcia odpowiedniego leczenia.
XI. Najczęściej Zadawane Pytania (FAQ)
A. Czy pełzakowica jest groźna dla życia?
Pełzakowica może być groźna dla życia, zwłaszcza jeśli zostanie niedostrzeżona i nieleczone. W zaawansowanych przypadkach infekcja może prowadzić do powikłań, takich jak ropne zapalenie wątroby czy nawet ropnie mózgu, co może zagrażać życiu pacjenta.
B. Czy można zarazić się pełzakowicą od zwierząt?
Pełzakowica jest chorobą pasożytniczą, która przenosi się między ludźmi poprzez kontakt z kałem zanieczyszczonym pierwotniakami. Zazwyczaj nie przenosi się bezpośrednio od zwierząt na ludzi.
C. Ile trwa leczenie pełzakowicy?
Leczenie pełzakowicy zazwyczaj trwa od kilku dni do kilku tygodni, w zależności od stopnia zaawansowania infekcji oraz reakcji organizmu na zastosowane leki przeciwpierwotniacze.
D. Jakie są szanse na ponowne zakażenie?
Istnieje ryzyko ponownego zakażenia pełzakowicą, zwłaszcza jeśli nie zostały podjęte odpowiednie środki zapobiegawcze po zakończeniu leczenia. Powtórne zakażenie może wystąpić w przypadku ponownego kontaktu z zakażonym kałem.
E. Czy pełzakowica może przebiegać bezobjawowo?
Tak, pełzakowica może często przebiegać bezobjawowo, zwłaszcza u osób o silnym układzie odpornościowym. W takich przypadkach osoba zakażona może nie zdawać sobie sprawy z obecności pasożyta w organizmie, co utrudnia wczesną diagnozę i leczenie.
Zioła w leczeniu chorób: Pełzakowica
Oto kilka ziół, które mogą być pomocne w leczeniu pełzakowicy:
- Astragalus – wzmacnia układ odpornościowy i pomaga organizmowi w walce z pasożytami.
- Czosnek – znany ze swoich właściwości antybakteryjnych i przeciwpasożytniczych.
- Mniszek lekarski – wspomaga funkcjonowanie wątroby, która odgrywa kluczową rolę w walce z pasożytami.
- Gentian – wspomaga trawienie i działa przeciwpasożytniczo.
- Orzech włoski – posiada właściwości antybakteryjne i przeciwpasożytnicze.
Przed rozpoczęciem stosowania jakichkolwiek ziół w leczeniu pełzakowicy zaleca się skonsultowanie się z lekarzem lub zielarzem, aby upewnić się, że nie będzie to miało negatywnego wpływu na stan zdrowia i nie będzie interferowało z ewentualnie stosowanymi lekami.
