I. Wprowadzenie do tematu niedrożności jelit
A. Co to jest niedrożność jelit?

Niedrożność jelit, to stan, w którym zawartość jelitowa nie może swobodnie przemieszczać się przez przewód pokarmowy z powodu fizycznej blokady lub przeszkody. Może to być spowodowane różnymi czynnikami, takimi jak zacieśnienia, guzy, zrosty pooperacyjne, tzw. przepukliny, czy zapalenie jelit.
B. Dlaczego temat niedrożności jelit jest istotny?
Niedrożność jelit może prowadzić do poważnych powikłań, takich jak niedokrwienie jelit, perforacja jelit, zakażenie, odwodnienie i sepsa. W skrajnych przypadkach może wystąpić zagrażający życiu stan.
C. Statystyki i skala problemu w Polsce i na świecie.
W Polsce i na świecie niedrożność jelit stanowi znaczący problem zdrowotny, często wymagający pilnego leczenia chirurgicznego. Statystycznie liczba przypadków niedrożności jelit związanych z przepukliną, nowotworami jelita, zaburzeniami motoryki jelit oraz zrostami pooperacyjnymi jest znacząca i wymaga interwencji medycznej.
II. Niedrożność mechaniczna
A. Skręt jelita (volvulus) – przyczyny i konsekwencje.
Skręt jelita, znany również jako volvulus, jest stanem, w którym jelito zatacza koło wokół własnej osi, prowadząc do blokady przepływu treści jelitowej.
- Przyczyną skrętu jelita może być nieprawidłowa anatomicznie długość lub ruchomość jelit, a także powstawanie zrostów jelit z innymi strukturami.
- Skręt jelita może prowadzić do zaburzeń krążenia jelitowego, niedokrwienia jelit, a w konsekwencji do martwicy jelita, co wymaga natychmiastowej interwencji chirurgicznej.
B. Zrosty pooperacyjne – ryzyko i profilaktyka.
Pooperacyjne zrosty jelit mogą powstać po operacjach w obrębie jamy brzusznej. Zrosty te mogą prowadzić do mechanicznej niedrożności jelit poprzez ucisk lub blokadę jelit. Ryzyko powstawania zrostów pooperacyjnych może być zwiększone przy nieprawidłowym gojeniu się tkanki lub niewłaściwej opiece pooperacyjnej.
Profilaktyka obejmuje staranne wykonywanie operacji chirurgicznych, kontrolę stanu pacjenta po zabiegu oraz stosowanie odpowiednich technik chirurgicznych zmniejszających ryzyko powstania zrostów.
C. Nowotwory jako przyczyna mechanicznej niedrożności.
Nowotwory jelita mogą prowadzić do mechanicznej niedrożności jelit poprzez fizyczne zwężenie światła jelita lub jego blokadę. Nowotwory zlokalizowane w jelicie mogą być pierwotne lub przerzutowe. Nowotwory jelita stanowią poważne zagrożenie dla drożności jelit i wymagają odpowiedniej diagnostyki oraz leczenia onkologicznego.
D. Przepuklina i jej wpływ na drożność jelit.
Przepuklina jest stanem, w którym organ wypukla się przez słaby punkt w otoczce ciała. Przepuklina jamy brzusznej może wpłynąć na drożność jelit poprzez ucisk na jelito i zaburzenie normalnego przepływu treści jelitowej. Ścieżka przepuklinowa może utrudniać przepływ treści jelitowej, a w przypadku złapania jelita w worku przepuklinowym może prowadzić do niedrożności.
III. Niedrożność czynnościowa
A. Niedrożność porażenna – definicja i przyczyny.
Niedrożność porażenna jelit jest stanem, w którym występuje osłabienie lub brak perystaltyki jelit, co prowadzi do zaburzenia prawidłowego przesuwania się treści jelitowej.
Przyczyny niedrożności porażennej mogą obejmować:
- uszkodzenie nerwów jelitowych, np. w wyniku operacji chirurgicznych,
- urazów rdzenia kręgowego,
- zakażeń wirusowych,
- czy zaburzeń neurologicznych.
B. Zaburzenia neurologiczne i ich wpływ na ruchliwość jelit.
- Zaburzenia neurologiczne mogą mieć znaczący wpływ na ruchliwość jelit poprzez zakłócenie przekazywania impulsów nerwowych odpowiedzialnych za perystaltykę jelitową.
- Choroby neurologiczne takie jak stwardnienie rozsiane, choroba Parkinsona, udar mózgu czy urazy rdzenia kręgowego mogą prowadzić do niedrożności czynnościowej jelit.
- Zanik perystaltyki jelitowej może objawiać się wzdęciami, zaparciem, bólami brzucha i trudnościami w wypróżnianiu.
C. Leki powodujące niedrożność czynnościową.
Istnieje wiele leków, które mogą wywołać niedrożność czynnościową jelit poprzez wpływ na pracę mięśni gładkich jelit lub receptory nerwowe.
Przykłady leków powodujących niedrożność czynnościową to opioidy (takie jak morfina), leki przeciwdepresyjne (np. trójpierścieniowe), leki przeciwcukrzycowe (np. rosiglitazon), środki przeciwhistaminowe oraz preparaty żelaza.
Osoby stosujące te leki mogą doświadczać zaburzeń motoryki jelitowej, co prowadzi do objawów niedrożności czynnościowej jelit.
IV. Objawy i symptomy niedrożności jelit
A. Klasyczne objawy niedrożności mechanicznej
Objawy niedrożności mechanicznej jelit mogą obejmować:
- Nagłe, silne bóle brzucha,
- Wzdęcia,
- Nudności,
- Wymioty,
- Zaparcia,
- A nawet bezwzględne wzdęcia brzucha.
Pacjenci mogą również zauważyć brak wypróżnień i gazów, a także obecność krwi w stolcu w przypadku wystąpienia niedrożności spowodowanej przeszkodą mechaniczną, np. zrostami czy guzem.
B. Symptomy niedrożności czynnościowej
Symptomy niedrożności czynnościowej jelit mogą obejmować:
- Przewlekłe bóle brzucha,
- Wzdęcia,
- Zaparcia,
- Uczucie niepełnego wypróżnienia,
- Zmiany w częstości wypróżnień,
- Dyskomfort jelitowy.
Pacjenci z niedrożnością czynnościową mogą mieć trudności z wypróżnianiem, a ich objawy mogą nasilać się pod wpływem stresu lub nieprawidłowego odżywiania.
C. Jak odróżnić niedrożność ostrą od przewlekłej?
- Niedrożność ostra jelit charakteryzuje się nagłym początkiem objawów, silnymi bólami brzucha, nudnościami, wymiotami oraz brakiem wypróżnień.
- Może to być spowodowane np. zatorem jelitowym.
- Niedrożność przewlekła natomiast rozwija się stopniowo, objawy są łagodniejsze i mogą obejmować przewlekłe wzdęcia, zaparcia, bóle brzucha.
- Diagnostyka różnicowa opiera się na obserwacji charakteru objawów oraz przeprowadzeniu badań obrazowych.
D. Znaczenie wczesnego rozpoznania objawów
Wczesne rozpoznanie objawów niedrożności jelit jest kluczowe dla szybkiego podjęcia odpowiedniego leczenia i uniknięcia powikłań.
Objawy niedrożności mogą być niespecyficzne, dlatego ważne jest, aby pacjenci zgłaszali się do lekarza w przypadku nietypowych dolegliwości brzucha, zmian w wypróżnianiu czy bólów brzucha. Wczesne rozpoznanie pozwoli na zastosowanie odpowiedniej terapii i zapobieganie poważnym konsekwencjom niedrożności jelit.
V. Diagnoza niedrożności jelit
A. Wywiad medyczny
Kluczowe pytania, które zada lekarz:
- Czy są problemy z wypróżnianiem?
- Czy występuje ból brzucha?
- Jak długo trwają objawy?
- Czy występuje nudności, wymioty?
- Czy doszło do utraty wagi?
Historia chorób przewlekłych i operacji: Lekarz będzie sprawdzał, czy pacjent miał lub ma jakiekolwiek choroby przewlekłe, które mogą być związane z obecną niedrożnością jelit.
B. Badania fizykalne
- Palpacja brzucha i jej znaczenie: Lekarz będzie delikatnie badał brzuch, aby ocenić obecność obrzęków, określić miejsce bólu oraz sprawdzić, czy występują napięte lub wzdęte obszary brzucha.
- Ocenianie dźwięków jelitowych: Badając brzuch, lekarz będzie osłuchiwał dźwięki jelitowe, które mogą wskazywać na obecność niedrożności.
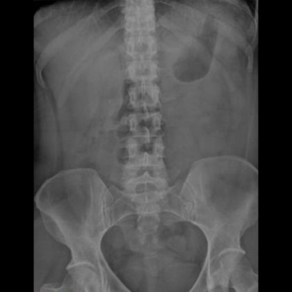
C. Badania diagnostyczne
- Rentgen jamy brzusznej – co można zobaczyć?: Rentgen brzucha może wykazać obecność ewentualnych przeszkód w przewodach żołądkowo-jelitowych, zawałów, czy perforacji.
- Tomografia komputerowa w diagnozowaniu niedrożności: Tomografia komputerowa może dostarczyć bardziej szczegółowych obrazów od rentgenu i pomóc w dokładniejszym określeniu przyczyny niedrożności.
- Ultrasonografia i jej rola w szybkim rozpoznaniu: Ultrasonografia może być użyteczna w szybkim rozpoznaniu niedrożności jelit poprzez wizualizację struktur wewnętrznych brzucha i ocenę przepływu krwi do jelit.
VI. Leczenie niedrożności jelit
A. Leczenie zachowawcze
- Odpoczynek jelitowy i dieta: Polega na wstrzymaniu jedzenia, aby dać jelitom szansę na odpoczynek i zmniejszenie obrzęku. Może być zalecana lekka dieta bogata w płyny i błonnik.
- Płyny dożylne i elektrolity – podstawy leczenia: W celu zapobieżenia odwodnieniu i przywrócenia równowagi elektrolitowej, pacjent może otrzymać płyny dożylne z elektrolitami.
B. Interwencje medyczne
- Rurka nosowo-żołądkowa – kiedy i jak się stosuje?: Rurka nosowo-żołądkowa może być stosowana do usuwania zawartości żołądka i jelit oraz do monitorowania procesu trawienia. Jest często stosowana w celu złagodzenia objawów niedrożności jelit.
- Leki poprawiające perystaltykę jelit: Leki takie jak leki przeciwbólowe, przeciwskurczowe lub przeciwzapalne mogą być stosowane w celu poprawienia perystaltyki jelit i zmniejszenia bólu.
C. Leczenie chirurgiczne
- Kiedy operacja jest konieczna?: Konieczność operacji zależy od przyczyny niedrożności jelit. Jeśli leczenie zachowawcze i interwencje medyczne nie przynoszą poprawy, może być potrzebna interwencja chirurgiczna.
- Przebieg typowych operacji w przypadku niedrożności: Operacja może obejmować usunięcie przeszkody, naprawę uszkodzeń jelit lub inny zabieg w zależności od diagnozy.
- Rekonwalescencja po zabiegu chirurgicznym: Po operacji pacjent powinien poddać się rekonwalescencji, która może obejmować obserwację w szpitalu, rekonwalescencję w domu, dietę specjalną i regularne kontrole lekarskie.
VII. Powikłania niedrożności jelit
A. Perforacja jelita – objawy i leczenie
- Objawy: Objawy perforacji jelita mogą obejmować ostre bóle brzucha, wzmożone napięcie mięśni brzucha, gorączkę, nudności i wymioty, tachykardię. Może wystąpić także wzrost poziomu leukocytów we krwi.
- Leczenie: Pierwszym krokiem w leczeniu perforacji jelita jest natychmiastowa interwencja chirurgiczna. Podczas zabiegu chirurg może usunąć obszar uszkodzonego jelita i zająć się ewentualnymi powikłaniami, takimi jak zapalenie otrzewnej.
B. Martwica jelit i jej konsekwencje
- Objawy: Martwica jelit charakteryzuje się zmianami w dopływie krwi do jelita, co prowadzi do martwicy tkanek. Objawy obejmują nasilający się ból brzucha, gorączkę, nudności, wymioty, krwawe stolce, wzdęcia.
- Konsekwencje: Martwica jelit jest stanem zagrożenia życia i wymaga natychmiastowej interwencji chirurgicznej, aby usunąć obszar uszkodzonego jelita i przywrócić przepływ krwi.
C. Infekcje i sepsa jako potencjalne komplikacje
- Infekcje: Niedrożność jelit może prowadzić do rozwoju infekcji, zwłaszcza jeśli treści jelitowe wyciekają do jamy brzusznej. Infekcje mogą obejmować zapalenie otrzewnej lub zapalenie jelit.
- Sepsa: W skrajnych przypadkach infekcja związana z niedrożnością jelit może prowadzić do sepsy, która jest stanem zagrożenia życia. Sepsa jest stanem, w którym infekcja rozprzestrzenia się na całym organizmie i może prowadzić do niewydolności wielu narządów.
VIII. Profilaktyka i zapobieganie
A. Zdrowa dieta jako element prewencji
- Wysokobłonnikowa dieta: Spożywanie dużej ilości błonnika (warzywa, owoce, pełnoziarniste produkty zbożowe) pomaga utrzymać regularne ruchy jelit, co może zapobiec wystąpieniu niedrożności jelit.
- Odpowiednia ilość płynów: Spożywanie odpowiedniej ilości płynów, szczególnie wody, może pomóc w zapobieganiu zatwardzeniu, co z kolei minimalizuje ryzyko niedrożności jelit.
B. Znaczenie aktywności fizycznej w utrzymaniu zdrowia jelit
- Regulacja perystaltyki: Regularna aktywność fizyczna, zwłaszcza ćwiczenia aerobowe, może pomóc w regulacji perystaltyki jelit, co oznacza, że pozwala na sprawniejsze poruszanie się treści pokarmowej przez jelita.
- Zmniejszenie ryzyka chorób jelit: Regularna aktywność fizyczna może pomóc w zmniejszeniu ryzyka chorób jelit, takich jak zaparcia czy choroba diverticularna.
C. Unikanie czynników ryzyka, takich jak palenie i niezdrowe nawyki
- Palenie tytoniu: Palenie tytoniu może zwiększać ryzyko wystąpienia stanów zapalnych jelit oraz zaburzeń perystaltyki, co może zwiększyć ryzyko niedrożności jelit.
- Niezdrowe nawyki żywieniowe: Dieta obfita w przetworzone produkty spożywcze, o niskiej zawartości błonnika oraz wysoka ilość tłuszczu może zwiększać ryzyko zatwardzenia i niedrożności jelit. Dlatego ważne jest unikanie tych niezdrowych nawyków żywieniowych.
Podejmowanie zdrowych nawyków żywieniowych, regularna aktywność fizyczna oraz unikanie czynników ryzyka może pomóc w profilaktyce i zapobieganiu niedrożności jelit.
IX. Podsumowanie
A. Kluczowe wnioski na temat niedrożności jelit
- Niedrożność jelit może być spowodowana różnymi czynnikami, takimi jak zatwardzenie, obecność guzów, przepuklina, spajanie jelit czy procesy zapalne.
- Objawy niedrożności jelit mogą obejmować bóle brzucha, wzdęcia, utratę apetytu, nudności, wymioty, niemożność oddawania stolca, a w przypadkach poważniejszych, nieżyt i niedokrwienie jelit.
- Wczesne rozpoznanie i leczenie niedrożności jelit są kluczowe dla zapobieżenia powikłaniom, takim jak martwica jelit i sepsa.
B. Dlaczego wczesne rozpoznanie i leczenie mają kluczowe znaczenie?
- Zapobieżenie powikłaniom: Wczesne rozpoznanie niedrożności jelit pozwala na szybsze podjęcie leczenia, co z kolei minimalizuje ryzyko powikłań, takich jak martwica jelit czy rozwinięcie się sepsy.
- Minimalizacja ryzyka długotrwałych uszkodzeń jelit: Wczesne leczenie niedrożności jelit może pomóc w uniknięciu długotrwałych uszkodzeń jelit, które mogą prowadzić do trwałych zaburzeń trawiennych.
- Poprawa jakości życia: Szybkie rozpoznanie i leczenie niedrożności jelit mogą znacząco poprawić komfort i jakość życia pacjenta, minimalizując dyskomfort związany z objawami niedrożności jelit.
Wnioskiem jest, że wczesne rozpoznanie i leczenie niedrożności jelit mają kluczowe znaczenie dla minimalizacji ryzyka powikłań oraz poprawy jakości życia pacjenta.
X. Najczęściej zadawane pytania (FAQs)
A. Jakie są pierwsze objawy niedrożności jelit?
Pierwsze objawy niedrożności jelit mogą obejmować nagłe bóle brzucha, które mogą być bardzo intensywne, wzdęcia, niemożność oddawania gazów lub stolca, nudności, wymioty, utratę apetytu oraz ogólne złe samopoczucie. W przypadku bardziej zaawansowanych przypadków, może wystąpić nieżyt i niedokrwienie jelit, co może prowadzić do poważnych powikłań.
B. Czy niedrożność jelit można leczyć bez operacji?
W niektórych przypadkach niedrożność jelit można leczyć za pomocą inwazyjnych procedur endoskopowych, takich jak endoskopia retrogradowa czy endoskopia przezczaszkowa. Leczenie farmakologiczne, takie jak stosowanie leków przeciwzapalnych lub przeciwbólowych, może być skuteczne w leczeniu niektórych przyczyn niedrożności. Jednak w przypadkach, gdy niedrożność jelit jest poważna i nie da się jej skutecznie leczyć innymi metodami, może być konieczna interwencja chirurgiczna.
C. Jakie badania są najbardziej skuteczne w rozpoznaniu niedrożności?
W diagnozie niedrożności jelit bardzo ważne jest wykonanie badania obrazowego, takiego jak tomografia komputerowa (TK), rezonans magnetyczny (MRI) lub badanie rentgenowskie jamy brzusznej. Badanie endoskopowe, takie jak kolonoskopia lub gastroskopia, również może pomóc w identyfikacji przyczyny niedrożności.
D. Czy można zapobiec niedrożności jelit?
W niektórych przypadkach niedrożność jelit można zapobiec poprzez zdrowy tryb życia, regularne spożywanie błonnika, picie odpowiedniej ilości wody, unikanie nadmiernego spożywania pokarmów o niskiej zawartości błonnika, regularną aktywność fizyczną oraz unikanie nadmiernego stosowania leków przeciwbólowych, które mogą powodować zatwardzenie.
E. Jak długo trwa powrót do zdrowia po operacji niedrożności?
Czas powrotu do zdrowia po operacji niedrożności zależy od wielu czynników, takich jak wiek pacjenta, przyczyna niedrożności, stopień zaawansowania choroby oraz rodzaj przeprowadzonej operacji. Dla większości pacjentów powrót do zdrowia po operacji może zająć kilka tygodni, ale indywidualny czas rekonwalescencji będzie różny dla każdego pacjenta.
Zioła w leczeniu chorób: Niedrożność jelit
Oto kilka ziół, które mogą być pomocne w łagodzeniu objawów niedrożności jelit:
- Mięta pieprzowa: Pomaga w rozluźnieniu mięśni jelitowych, co może pomóc w złagodzeniu bólu brzucha i poprawieniu trawienia.
- Kminek: Znany ze swoich właściwości przeciwzapalnych i uspokajających, może pomóc w redukcji bólu brzucha i zapalenia jelit.
- Imbir: Posiada właściwości przeciwzapalne i kojące, co może pomóc złagodzić objawy niedrożności jelit, takie jak wzdęcia i ból brzucha.
- Kurkuma: Działa przeciwzapalnie i antyoksydacyjnie, co może pomóc w redukcji zapalenia jelit i złagodzeniu objawów niedrożności.
- Rumianek: Ma działanie przeciwzapalne i uspokajające, co może pomóc w redukcji bólu brzucha i podrażnienia jelit.
Zawsze jednak zalecam skonsultowanie się z lekarzem lub zielarzem przed rozpoczęciem jakiegokolwiek suplementowania ziołami, aby upewnić się, że są one odpowiednie dla Twojego stanu zdrowia oraz nie będą kolidować z innymi lekami, które możesz przyjmować.
