I. Wprowadzenie do Gruźlicy
A. Co to jest gruźlica?
Gruźlica jest zakaźną chorobą bakteryjną, która najczęściej atakuje płuca. Jest wywoływana przez Mycobacterium tuberculosis i przenosi się poprzez dropletów wydychanych podczas kichania, kaszlu lub mówienia przez zakażoną osobę. Objawy gruźlicy mogą obejmować kaszel, gorączkę, utratę wagi i przewlekłe zmęczenie.

B. Historia gruźlicy
Od epidemii do nowoczesnych metod leczenia
Gruźlica była jednym z najpoważniejszych problemów zdrowotnych w przeszłości, w wielu krajach prowadząc do epidemii i dużej śmiertelności. Pierwsze próby leczenia gruźlicy miały miejsce w XIX wieku i były często mało skuteczne. Dopiero odkrycie antybiotyku, takiego jak streptomycyna w latach 40. XX wieku, dało nową nadzieję w walce z tą chorobą. Dzięki postępowi medycyny, obecnie istnieją skuteczne metody leczenia gruźlicy, które pozwalają na wyleczenie większości chorych.
C. Znaczenie i wpływ gruźlicy na zdrowie publiczne
Gruźlica nadal stanowi poważny problem zdrowotny na całym świecie, zwłaszcza w krajach rozwijających się. Choroba ta ma duże znaczenie dla zdrowia publicznego ze względu na jej zakaźność i potencjalnie poważne konsekwencje. Dlatego kontynuowane są wysiłki mające na celu zapobieganie zakażeniom, wczesne wykrywanie i skuteczne leczenie chorych na gruźlicę, aby zmniejszyć jej wpływ na społeczeństwo.
II. Epidemiologia Gruźlicy
A. Rozpowszechnienie gruźlicy na świecie
Gruźlica jest nadal powszechną chorobą na całym świecie, ale rozpowszechnienie różni się w zależności od regionu. Według Światowej Organizacji Zdrowia (WHO), najwyższe wskaźniki zachorowań na gruźlicę występują w krajach o niskim lub średnim dochodzie, zwłaszcza w Afryce Subsaharyjskiej i Azji Południowej. Czynnikiem wpływającym na rozpowszechnienie jest bieda, niewłaściwe warunki mieszkaniowe i diagnostyka oraz niski dostęp do opieki zdrowotnej.
B. Gruźlica w Polsce: Statystyki i trendy
W Polsce gruźlica jest nadal problemem zdrowotnym. Według Narodowego Instytutu Zdrowia Publicznego – Państwowego Zakładu Higieny, w ostatnich latach obserwuje się tendencję spadkową zachorowań na gruźlicę. Jednak nadal występują rejonowe różnice w rozpowszechnieniu choroby, z wyższym odsetkiem przypadków w niektórych regionach kraju. Ważne jest prowadzenie skutecznych programów profilaktycznych i monitorowanie sytuacji, aby zmniejszyć rozpowszechnienie gruźlicy w Polsce.
C. Czynniki ryzyka rozprzestrzeniania się gruźlicy
Rozprzestrzenianie się gruźlicy może być związane z różnymi czynnikami ryzyka.
- Osoby o osłabionym układzie odpornościowym, takie jak osoby zakażone wirusem HIV, mają większe prawdopodobieństwo zachorowania na gruźlicę.
- Ponadto, niewłaściwe warunki mieszkaniowe, ubóstwo, brak higieny osobistej i niski poziom edukacji zdrowotnej są czynnikami, które mogą sprzyjać rozprzestrzenianiu się gruźlicy.
- Zakażenie może także wystąpić w środowiskach o dużym zgromadzeniu ludzi, takich jak więzienia i ośrodki dla uchodźców.
D. Gruźlica a migracje ludności
Migracja i ruchy populacyjne mają wpływ na rozprzestrzenianie się gruźlicy. Osoby migrujące, szczególnie te z obszarów o dużym wskaźniku zachorowań na gruźlicę, mogą przenosić infekcję do nowych społeczności. Często migranci znajdują się w trudnych warunkach i mają ograniczony dostęp do opieki zdrowotnej, co może przyczyniać się do wyższego ryzyka zachorowania na gruźlicę. Z tego powodu istnieje konieczność prowadzenia skutecznych programów profilaktycznych i monitorowania zdrowia migrującej populacji w celu zapobiegania rozprzestrzenianiu się gruźlicy.
IV. Objawy Gruźlicy
A. Objawy gruźlicy płucnej
Gruźlica płucna jest najczęstszą postacią gruźlicy. Jej objawy mogą być początkowo łagodne i nietypowe, co często prowadzi do opóźnienia diagnozy.
Typowe objawy gruźlicy płucnej obejmują:
- przewlekły kaszel, który może być surowiczy,
- uporczywy kaszel, często z krwią,
- obniżenie wagi ciała,
- gorączkę,
- nocne poty,
- osłabienie i zmęczenie.
W zaawansowanych przypadkach mogą pojawić się duszności i ból w klatce piersiowej.
B. Objawy gruźlicy pozapłucnej
Gruźlica pozapłucna może dotyczyć innych narządów organizmu, takich jak kości, skóra, układ moczowo-płciowy, wątroba czy nerki. Objawy gruźlicy pozapłucnej zależą od lokalizacji choroby. Może to być:
- ból i obrzęk w kościach,
- guzki lub owrzodzenia na skórze,
- ból brzucha,
- krwiomocz,
- lub nawet objawy neurologiczne, jeśli choroba dotyka ośrodkowego układu nerwowego.
C. Jak rozpoznać gruźlicę na wczesnym etapie?
Rozpoznanie gruźlicy na wczesnym etapie jest kluczowe dla skutecznego leczenia i kontroli choroby. Osoby, u których podejrzewa się gruźlicę ze względu na objawy lub czynniki ryzyka, powinny poddać się odpowiednim badaniom, takim jak badanie plwociny pod kątem obecności bakterii gruźlicy, badanie krwi, RTG klatki piersiowej, a także testy skórne czy testy interferonowe. Badania dodatkowe, takie jak tomografia komputerowa czy bronchoskopia, mogą być również wykonywane w celu potwierdzenia rozpoznania. Wczesne wykrycie gruźlicy umożliwia szybsze rozpoczęcie leczenia, co prowadzi do lepszych wyników terapeutycznych.
V. Diagnozowanie Gruźlicy
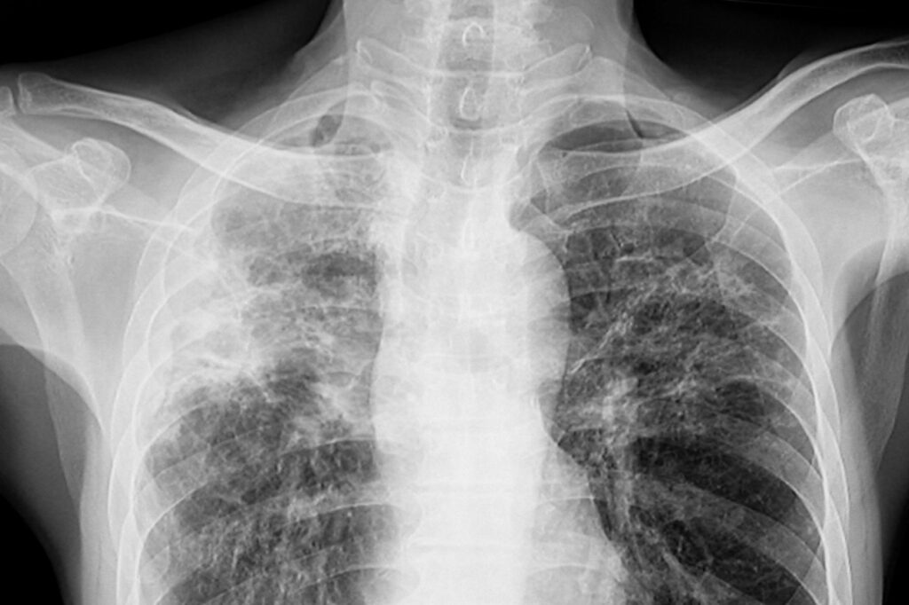
A. Badania diagnostyczne: RTG klatki piersiowej, badania bakteriologiczne i inne
- RTG klatki piersiowej: Jest to podstawowe badanie obrazowe stosowane w diagnostyce gruźlicy. Na zdjęciach rentgenowskich można zaobserwować charakterystyczne zmiany w płucach, takie jak zmiany guzowate, zacienienia, czy przewlekłe zmiany zapalne.
- Badania bakteriologiczne: Badanie plwociny pod kątem obecności bakterii Mycobacterium tuberculosis, odpowiedzialnych za gruźlicę, jest istotne w potwierdzeniu diagnostyki. Można przeprowadzić testy hodowlane, barwienie metodą Ziehl-Neelsena czy testy genetyczne na obecność patogenu.
B. Testy laboratoryjne i ich rola w diagnozie
Testy laboratoryjne, takie jak badanie krwi, mogą pomóc w monitorowaniu stanu pacjenta i ocenie jego ogólnego zdrowia. Testy biochemiczne, takie jak oznaczenie poziomu białka C-reaktywnego (CRP) czy leukocytów, mogą być również przydatne w diagnostyce gruźlicy.
C. Nowoczesne metody diagnostyczne: Testy molekularne
Testy molekularne, takie jak testy PCR (reakcja łańcuchowa polimerazy), są coraz częściej stosowane w diagnostyce gruźlicy. Pozwalają one szybko i precyzyjnie wykryć DNA Mycobacterium tuberculosis z próbek plwociny lub innych materiałów biologicznych.
D. Różnicowanie gruźlicy z innymi chorobami
Diagnozowanie gruźlicy wymaga różnicowania jej z innymi chorobami o podobnych objawach, takimi jak zapalenie płuc, rak płuc czy sarkoidoza. Dlatego istotne jest przeprowadzenie odpowiednich testów diagnostycznych, takich jak badania obrazowe, badania laboratoryjne i testy molekularne, które pomogą wykluczyć inne możliwe przyczyny objawów pacjenta i ustalić prawidłową diagnozę gruźlicy.
VI. Leczenie Gruźlicy
A. Farmakoterapia: Główne leki przeciwgruźlicze
Leczenie gruźlicy polega głównie na stosowaniu leków przeciwgruźliczych, takich jak izoniazyd, ryfampicyna, pirazynamid i etambutol. Te leki są podawane pacjentowi w formie zestawu terapeutycznego (standardowo nazywanego schematem DOTS – Directly Observed Treatment Short-course) i są skuteczne w zwalczaniu infekcji gruźlicą.
B. Schematy leczenia: Krótkoterminowe i długoterminowe
Schematy leczenia gruźlicy obejmują zarówno krótkoterminowe, jak i długoterminowe terapie. Krótkotrwałe leczenie, trwające około 6-9 miesięcy, jest zalecane dla pacjentów z postacią gruźlicy płucnej, podczas gdy długoterminowe leczenie, które może trwać nawet do 12-24 miesięcy, jest stosowane w przypadku postaci gruźlicy pozapłucnej lub opornych na leczenie.
C. Problemy związane z opornością na leki
Oporność na leki przeciwgruźlicze stała się poważnym problemem związanym z leczeniem gruźlicy. Występują oporności na pojedyncze leki oraz wielolekową (MDR-TB) lub skrajną wielolekową (XDR-TB) oporność. Dlatego ważne jest regularne monitorowanie odpowiedzi na leczenie oraz wykrywanie ewentualnej oporności na leki w celu dostosowania terapii.
D. Skutki uboczne terapii i jak je minimalizować
Leczenie przeciwgruźlicze może prowadzić do różnorodnych skutków ubocznych, takich jak uszkodzenie wątroby, neuropatia, działania niepożądane na układ nerwowy czy reakcje alergiczne. Aby zminimalizować ryzyko wystąpienia skutków ubocznych, ważne jest regularne monitorowanie stanu zdrowia pacjenta, stosowanie odpowiednich dawek leków oraz informowanie lekarza o każdych zmianach czy niepożądanych objawach podczas leczenia gruźlicy.
VII. Powikłania Gruźlicy
A. Powikłania płucne i pozapłucne
Gruźlica może prowadzić do powikłań zarówno płucnych, jak i pozapłucnych. Powikłania płucne mogą obejmować zwłóknienie, rozrost bliznowacenia, martwicę i powstawanie jam oraz ropnie. W przypadku powikłań pozapłucnych, gruźlica może prowadzić do zakażeń w innych narządach, takich jak kości, stawy, opony mózgowe, nerki czy jelita.
B. Gruźlica wielolekooporna (MDR-TB) i jej wyzwania
Gruźlica wielolekooporna (MDR-TB) stanowi poważne wyzwanie w leczeniu gruźlicy. Jest to postać gruźlicy, w której bakterie są oporne na dwa najważniejsze leki przeciwgruźlicze – izoniazyd i ryfampicynę. Leczenie MDR-TB jest znacznie bardziej skomplikowane i długotrwałe, a skuteczność terapii jest mniejsza w porównaniu z konwencjonalnymi schematami leczenia gruźlicy.
C. Długoterminowe konsekwencje zdrowotne po przebytej gruźlicy
Osoby, które przebyły gruźlicę, mogą doświadczać długoterminowych konsekwencji zdrowotnych, nawet po zakończeniu terapii. Mogą to być problemy oddechowe, osłabienie, przewlekłe zmęczenie, problemy z odżywianiem, a także zwiększone ryzyko różnych infekcji i chorób. Dlatego ważne jest długoterminowe monitorowanie zdrowia osób po przebyciu gruźlicy i zapewnienie im wsparcia medycznego oraz psychologicznego.
VIII. Zapobieganie Gruźlicy
A. Programy szczepień: Rola szczepionki BCG
Szczepionka BCG (przeciwgruźlicza) jest szeroko stosowana w zapobieganiu gruźlicy, zwłaszcza u dzieci. Szczepionka BCG nie zapewnia całkowitej ochrony przed zakażeniem gruźlicą, ale zmniejsza ryzyko wystąpienia ciężkiej postaci choroby u dzieci. Programy szczepień skupiają się na zapewnieniu dostępu do szczepień BCG, szczególnie w krajach o wysokim ryzyku występowania gruźlicy.
B. Środki ochrony osobistej i higieny
Zapobieganie gruźlicy obejmuje również stosowanie środków ochrony osobistej i higieny. Zaleca się unikanie kontaktu z osobami zakażonymi gruźlicą oraz dbanie o higienę osobistą, w tym regularne mycie rąk. W przypadku osób pracujących w środowiskach o zwiększonym ryzyku zakażenia gruźlicą, zaleca się stosowanie odpowiednich środków ochrony osobistej, takich jak maski ochronne.
C. Wczesne wykrywanie i izolacja chorych
Istotnym elementem zapobiegania rozprzestrzenianiu się gruźlicy jest wczesne wykrywanie przypadków choroby i izolacja chorych. Dzięki wczesnemu wykrywaniu można zapobiec dalszemu rozprzestrzenianiu się zakażenia, a izolacja chorych pomaga w minimalizowaniu ryzyka zakażenia innych osób.
D. Edukacja i świadomość społeczna
Programy edukacyjne oraz działania mające na celu zwiększenie świadomości społecznej odgrywają kluczową rolę w zapobieganiu gruźlicy. Poprzez edukację społeczeństwa na temat objawów, metod zakażenia i sposobów zapobiegania gruźlicy można zmniejszyć ryzyko zakażenia i pomóc w szybszym wykrywaniu choroby. Edukacja społeczna może również przyczynić się do zmniejszenia stygmatyzacji związanej z gruźlicą oraz zwiększenia skuteczności programów zapobiegawczych.
IX. Gruźlica a Współczesne Wyzwania Medyczne
A. Wpływ pandemii COVID-19 na diagnostykę i leczenie gruźlicy
Pandemia COVID-19 wpłynęła negatywnie na diagnostykę i leczenie gruźlicy, ze względu na zmianę priorytetów służby zdrowia oraz ograniczenia w dostępie do opieki medycznej. W wyniku pandemii wielu pacjentów z gruźlicą mogło napotykać opóźnienia w diagnozowaniu i leczeniu swojej choroby. Ponadto, ograniczenia w przemieszczaniu się oraz zamknięcie placówek medycznych mogły prowadzić do trudności w kontynuowaniu terapii antygruźliczej.
B. Wyzwania w leczeniu gruźlicy w krajach rozwijających się
Krajom rozwijającym się często towarzyszą dodatkowe wyzwania w leczeniu gruźlicy. Niedobór zasobów medycznych, słaba infrastruktura zdrowotna oraz niskie wsparcie finansowe mogą utrudniać efektywne leczenie gruźlicy. Ponadto, dostępność skutecznych leków i terapii może być ograniczona, co może prowadzić do większej liczby przypadków oporności na antybiotyki.
C. Rola organizacji międzynarodowych w walce z gruźlicą
Organizacje międzynarodowe, takie jak Światowa Organizacja Zdrowia (WHO) i Globalny Fundusz na rzecz Walki z AIDS, Gruźlicą i Malarią, odgrywają kluczową rolę w walce z gruźlicą. Poprzez wspieranie programów zapobiegania, diagnostyki i leczenia gruźlicy, te organizacje pomagają w koordynowaniu działań na szczeblu globalnym. Działania organizacji międzynarodowych obejmują promowanie badań, rozwijanie skutecznych strategii zwalczania gruźlicy oraz wspieranie krajów w budowaniu zdolności do skutecznego zapobiegania i leczenia tej choroby.
X. Przyszłość Walki z Gruźlicą
A. Nowe badania i innowacje w leczeniu
W dziedzinie gruźlicy trwają intensywne badania naukowe mające na celu opracowanie skuteczniejszych leków i terapii. Nowe innowacje w leczeniu gruźlicy obejmują m.in. poszukiwanie leków o nowym mechanizmie działania, opracowanie skuteczniejszych schematów terapeutycznych oraz badania nad szczepionkami przeciwko gruźlicy. Dzięki postępowi w badaniach naukowych istnieje nadzieja na rozwój nowych metod leczenia, które mogą przyczynić się do skuteczniejszej walki z tą chorobą.
B. Strategia WHO na wyeliminowanie gruźlicy do 2030 roku
Światowa Organizacja Zdrowia (WHO) opracowała ambitny plan działań mający na celu wyeliminowanie gruźlicy jako problemu zdrowotnego do 2030 roku. Strategia WHO zakłada zwiększenie dostępu do skutecznej diagnostyki, leczenia i opieki nad pacjentami z gruźlicą, a także wzmocnienie systemów zdrowia publicznego w walce z tą chorobą. Realizacja tej strategii wymagać będzie współpracy międzynarodowej, zaangażowania rządów oraz organizacji zdrowotnych na całym świecie.
C. Gruźlica w erze medycyny personalizowanej
W erze medycyny personalizowanej, coraz większą uwagę poświęca się indywidualizacji terapii w leczeniu gruźlicy. Badania genetyczne pacjentów mogą pomóc w określeniu predyspozycji do rozwoju gruźlicy oraz predyspozycji do oporności na leki. Dzięki medycynie personalizowanej możliwe staje się dostosowanie terapii antygruźliczej do konkretnego pacjenta, co może zwiększyć skuteczność leczenia i zmniejszyć ryzyko wystąpienia oporności na leki. Integracja medycyny personalizowanej z strategiami walki z gruźlicą może przynieść korzyści w zapobieganiu i leczeniu tej choroby w przyszłości.
XI. Podsumowanie
A. Kluczowe informacje do zapamiętania
- Gruźlica jest poważną chorobą zakaźną wywoływaną przez prątki gruźlicy.
- Może ona dotykać różne narządy, najczęściej płuca.
- Objawy gruźlicy mogą obejmować kaszel, gorączkę, nocne poty, utratę masy ciała.
- Gruźlica jest potencjalnie śmiertelna, ale jest wyleczalna za pomocą odpowiedniego leczenia.
- Leczenie gruźlicy polega przede wszystkim na stosowaniu leków przeciwprątkowych przez określony czas.
- Jest niezwykle istotne, aby leczenie było podjęte jak najwcześniej, aby zmniejszyć ryzyko rozwoju oporności na leki.
- Gruźlica jest chorobą zakaźną, dlatego ważne jest przestrzeganie zasad higieny osobistej, takich jak częste mycie rąk i unikanie bliskiego kontaktu z osobami chorymi.
B. Znaczenie profilaktyki i wczesnego leczenia
- Profilaktyka jest kluczowa w zapobieganiu rozprzestrzeniania się gruźlicy.
- Istnieje szczepionka przeciwko gruźlicy, BCG, stosowana w niektórych krajach, która może zmniejszyć ryzyko zachorowania u dzieci.
- Wczesne wykrycie i leczenie gruźlicy są kluczowe dla zapobiegania rozwoju powikłań i ograniczania rozprzestrzeniania się choroby.
- Regularne badania i testy skórne mogą pomóc w wykryciu zakażenia gruźlicą, zwłaszcza u osób z wysokim ryzykiem.
- Współpraca z lekarzem i podjęcie leczenia na czas jest kluczowe dla skutecznego wyleczenia gruźlicy i zapobiegania dalszemu rozprzestrzenianiu się choroby.
XII. Często Zadawane Pytania (FAQ)
A. Czy gruźlica jest wyleczalna?
Tak, gruźlica jest wyleczalna za pomocą odpowiedniego leczenia. Leczenie obejmuje stosowanie leków przeciwprątkowych przez określony czas, co prowadzi do wyeliminowania prątków gruźlicy z organizmu.
B. Jakie są najczęstsze drogi zakażenia gruźlicą?
Najczęstszą drogą zakażenia gruźlicą jest droga kropelkowa, czyli oddychanie zakażonym powietrzem, na przykład podczas rozmowy, kaszlu czy kichania osoby zakażonej. Można się także zarazić poprzez spożycie pokarmu lub wody zanieczyszczonej prątkami gruźlicy.
C. Jak długo trwa leczenie gruźlicy?
Czas trwania leczenia gruźlicy zależy od postaci i nasilenia choroby. Zazwyczaj leczenie trwa od 6 do 9 miesięcy, ale w niektórych przypadkach może być dłuższe. Bardzo ważne jest regularne przyjmowanie leków zgodnie z zaleceniami lekarza oraz ukończenie całego okresu leczenia.
D. Czy można się ponownie zarazić gruźlicą po wyleczeniu?
Tak, istnieje ryzyko ponownego zakażenia gruźlicą po wyleczeniu. Dlatego ważne jest unikanie ponownego narażenia na czynniki ryzyka zakażenia, takie jak bliski kontakt z osobami zakażonymi, nieprzestrzeganie zasad higieny czy osłabiony układ odpornościowy.
E. Jakie są objawy gruźlicy u dzieci?
Objawy gruźlicy u dzieci mogą być różne w porównaniu do dorosłych. Mogą obejmować kaszel, gorączkę, utratę masy ciała, przewlekłe zmęczenie, problemy z oddychaniem, nawracające infekcje dróg oddechowych. U dzieci objawy te mogą być mniej specyficzne, dlatego ważne jest skonsultowanie się z lekarzem w przypadku podejrzenia zakażenia gruźlicą.
