I. Definicja Czerwienicy Prawdziwej
A. Co to jest czerwienica prawdziwa?
Czerwienica prawdziwa, znana również jako poliglobulia, to przewlekła choroba charakteryzująca się nadmiernym produkcją czerwonych krwinek. Jest to skutek zaburzeń w szpiku kostnym, które powodują zwiększoną produkcję krwinek czerwonych.
B. Jakie są główne cechy choroby?
- Zwiększona liczba czerwonych krwinek: W czerwienicy prawdziwej obserwuje się nadmierną produkcję krwinek czerwonych, co prowadzi do zwiększenia całkowitej liczby czerwonych krwinek w organizmie.
- Zwiększone stężenie hemoglobiny: W wyniku nadmiernego tworzenia się czerwonych krwinek, stężenie hemoglobiny we krwi może być podwyższone, co może prowadzić do zmiany koloru skóry (zaczerwienienie).
- Możliwe powikłania: Zwiększona lepkość krwi w czerwienicy prawdziwej może prowadzić do różnych powikłań, takich jak zakrzepica, problemy z układem krążenia czy upośledzenie przepływu krwi do różnych narządów.
II. Historia i Odkrycie
A. Kto odkrył czerwienicę prawdziwą?
Czerwienica prawdziwa została po raz pierwszy opisana przez niemieckiego lekarza Hermanna Siegmunda Leberta w 1865 roku. Lebert zauważył u pacjentów objawy zwiększonej ilości czerwonych krwinek, co doprowadziło go do opisania nowej choroby, którą nazwał czerwienicą prawdziwą.

B. Jak zmieniało się rozumienie choroby na przestrzeni lat?
- Rozwój technologii diagnostycznych: Wraz z postępem w dziedzinie medycyny, zwłaszcza w diagnostyce laboratoryjnej, możliwe stało się bardziej precyzyjne diagnozowanie czerwienicy prawdziwej oraz monitorowanie jej przebiegu.
- Lepsze zrozumienie mechanizmów patogenetycznych: Dzięki badaniom naukowym i postępowi w dziedzinie hematologii, obecnie lekarze mają lepsze zrozumienie mechanizmów patogenetycznych leżących u podstaw czerwienicy prawdziwej, co pozwala na skuteczniejsze leczenie i zarządzanie chorobą.
- Rozwój terapii: W ciągu ostatnich lat wprowadzono nowe terapie biologiczne oraz inne innowacyjne podejścia terapeutyczne, które mogą pomóc w kontrolowaniu objawów czerwienicy prawdziwej i poprawie jakości życia pacjentów.
Historia czerwienicy prawdziwej to historia ciągłego postępu w zrozumieniu i leczeniu tej choroby. Dzięki ciągłym badaniom i innowacjom medycznym, pacjenci z czerwienicą prawdziwą mogą dzisiaj liczyć na bardziej skuteczne metody diagnostyki i terapii.
III. Epidemiologia
A. Częstość Występowania
- Jak często występuje czerwienica prawdziwa?Czerwienica prawdziwa jest stosunkowo rzadką chorobą, której częstość występowania różni się w zależności od regionu geograficznego. Szacuje się, że na 100 000 osób w populacji, około 1-2 osoby są dotknięte tą chorobą.
- Które grupy demograficzne są najbardziej narażone?Czerwienica prawdziwa występuje częściej u mężczyzn niż u kobiet. Choroba manifestuje się najczęściej u osób po 60. roku życia, rzadziej u dzieci lub młodych dorosłych.
B. Geograficzne Rozprzestrzenienie
- W jakich regionach świata najczęściej diagnozuje się czerwienicę prawdziwą?Czerwienica prawdziwa występuje na całym świecie, ale jest bardziej powszechna w krajach o wyższych wysokościach nad poziomem morza, gdzie stężenie tlenu w powietrzu jest niższe. Szczególnie często choroba ta występuje w krajach położonych w Himalajach, Andach i Tybecie.
- Czy są regiony o podwyższonym ryzyku?
Tak, badania wykazały, że populacje zamieszkujące w okolicach wyższych wysokości n.p.m. są bardziej narażone na choroby takie jak czerwienica prawdziwa. W tych regionach stężenie tlenu w powietrzu jest mniejsze, co prowadzi do zwiększenia produkcji czerwonych krwinek w celu zwiększenia ilości krwi tlenowej. Jednak inne czynniki ryzyka, takie jak dziedziczność czy stosowanie dopalaczy, mogą również wpływać na występowanie choroby.
IV. Genetyka
A. Jakie mutacje genetyczne są związane z czerwienicą prawdziwą?
Większość przypadków czerwienicy prawdziwej jest związana z mutacją w genie JAK2 (Janus kinase 2). Mutacja ta powoduje, że komórki macierzyste komórek krwi szpikowej stają się niezależne od sygnałów regulujących ilość czerwonych krwinek.
Innymi rzadziej występującymi mutacjami związanymi z czerwienicą prawdziwą są mutacje w genach CALR (kalretikulina) i MPL (receptor trombopoetyny), które również wpływają na produkcję krwinek.
B. Rola genu JAK2 w rozwoju choroby
Gen JAK2 koduje białko JAK2, które jest kinazą tyrozynową związaną z receptorami. W czerwienicy prawdziwej, mutacja w genie JAK2 prowadzi do nadmiernej produkcji czerwonych krwinek. Normalnie, JAK2 reguluje odpowiedź komórek krwi na sygnały regulujące ilość czerwonych krwinek. Jednak mutacja powoduje, że komórki krwi szpikowej stają się niezależne od tych sygnałów i nadmiernie się namnażają, co prowadzi do zwiększenia ilości czerwonych krwinek i przyczynia się do objawów związanych z czerwienicą prawdziwą.
Dalsze badania nad rolą mutacji genetycznych oraz ich wpływem na rozwój czerwienicy prawdziwej są ważne dla zrozumienia tej choroby oraz dla opracowania nowych terapii.
V. Czynniki Środowiskowe
A. Czy czynniki środowiskowe wpływają na ryzyko zachorowania?
Istnieje kilka czynników środowiskowych, które mogą wpływać na ryzyko zachorowania na czerwienicę prawdziwą. Jednym z najważniejszych jest wysokość nad poziomem morza – badania wykazują, że mieszkańcy regionów o wyższych wysokościach n.p.m. są bardziej narażeni na rozwój choroby ze względu na niższe stężenie tlenu w powietrzu, co z kolei indukuje reakcję organizmu polegającą na zwiększonej produkcji czerwonych krwinek.
B. Wpływ stylu życia i ekspozycji na toksyny
Ekspozycja na niektóre toksyny, takie jak benzen i innych związków chemicznych, może zwiększać ryzyko rozwoju czerwienicy prawdziwej. Ponadto, palenie papierosów może również zwiększać ryzyko zachorowania. Styl życia, który prowadzi do przewlekłej niewydolności oddechowej, może spowodować zwiększone zapotrzebowanie organizmu na tlen i stymulować produkcję nadmiarowych czerwonych krwinek.
Badania nad wpływem czynników środowiskowych na rozwój czerwienicy prawdziwej są nadal prowadzone, aby lepiej zrozumieć złożone interakcje pomiędzy genetyką a środowiskiem.
VI. Mechanizmy Choroby
A. Jakie mechanizmy prowadzą do nadprodukcji krwinek czerwonych?
- Nadprodukcja krwinek czerwonych w czerwienicy prawdziwej związana jest z mutacją genów, głównie genów JAK2, CALR i MPL.
- Mutacje te powodują, że komórki macierzyste komórek krwi szpikowej stają się niezależne od sygnałów regulujących ilość czerwonych krwinek.
- W normalnych warunkach, produkcja krwinek czerwonych jest regulowana przez różne czynniki, takie jak poziom tlenu we krwi.
- W przypadku czerwienicy prawdziwej, nadmierne namnażanie się komórek macierzystych prowadzi do nadprodukcji czerwonych krwinek.
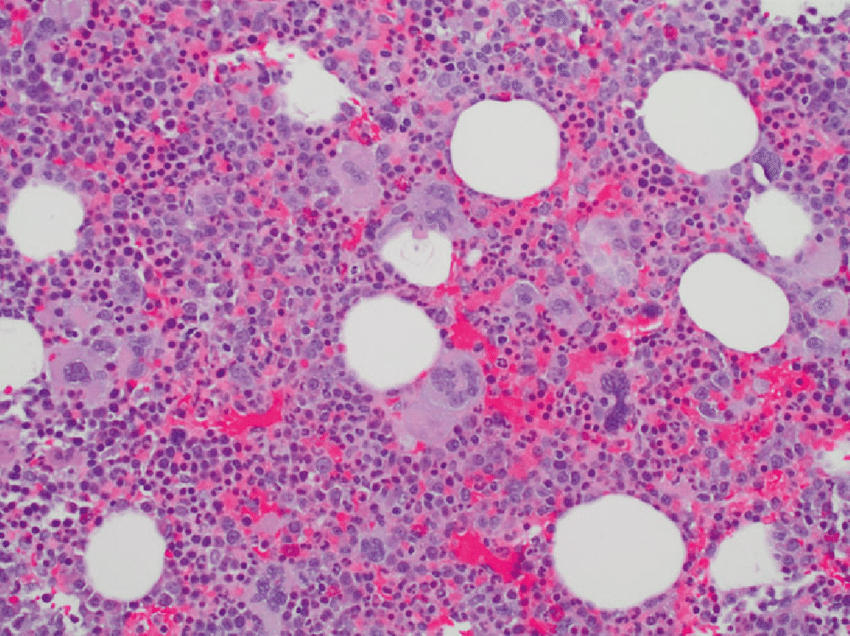
B. Rola szpiku kostnego w czerwienicy prawdziwej
Szpik kostny odgrywa kluczową rolę w produkcji komórek krwi, w tym czerwonych krwinek. W czerwienicy prawdziwej, szpik kostny jest miejscem, w którym nadmiernie namnażają się komórki macierzyste, co prowadzi do nadprodukcji czerwonych krwinek.
Ponadto, szpik kostny może być zastąpiony tkanką bliznowatą w wyniku rozwoju choroby, co dodatkowo utrudnia prawidłową produkcję krwinek. Dlatego też badania nad interakcją pomiędzy szpikiem kostnym a mutacjami genetycznymi mają kluczowe znaczenie dla zrozumienia mechanizmów choroby i opracowania bardziej skutecznych terapii.
VII. Powikłania
A. Jakie są główne powikłania związane z chorobą?
Czerwienica prawdziwa może prowadzić do różnych powikłań, związanych głównie z nadmierną produkcją czerwonych krwinek. Jednym z głównych powikłań jest zwiększone ryzyko wystąpienia zakrzepicy i zatorowości, co może prowadzić do poważnych konsekwencji zdrowotnych, takich jak zawał serca, udar mózgu czy zakrzepica żył głębokich.
Ponadto, nadmiar czerwonych krwinek może prowadzić do zwiększonego lepkości krwi, co utrudnia krążenie krwi i może prowadzić do problemów z sercem, naczyń krwionośnych czy układem nerwowym.
B. Zwiększone ryzyko zakrzepów i krwotoków
Osoby z czerwienicą prawdziwą mają zwiększone ryzyko wystąpienia zakrzepów krwi, zwłaszcza w naczyniach krwionośnych. Nadmiar czerwonych krwinek powoduje zwiększoną lepkość krwi, co utrudnia przepływ krwi przez żyły i tętnice, co z kolei sprzyja powstawaniu zakrzepów.
Jednocześnie, mimo zwiększonej ilości czerwonych krwinek, osoby z czerwienicą prawdziwą są bardziej narażone na zaburzenia krzepnięcia krwi, co może prowadzić do nadmiernych krwawień i krwotoków.
VIII. Wczesne Objawy
A. Jakie są pierwsze oznaki czerwienicy prawdziwej?
Wczesne objawy czerwienicy prawdziwej mogą być trudne do zauważenia, ponieważ pojawiają się stopniowo i są niespecyficzne. Często są związane z nadprodukcją czerwonych krwinek i zwiększoną lepkością krwi. Mogą obejmować:
- uczucie zmęczenia i osłabienia,
- bóle głowy i zawroty głowy,
- uczucie duszności i trudności w oddychaniu,
- szumy uszne,
- mrowienie lub drętwienie w kończynach,
- zaczerwienienie lub pieczenie skóry,
- zmiany w widzeniu.
B. Kiedy powinno się udać do lekarza?
Jeśli zauważysz u siebie jakieś z wymienionych objawów, warto skonsultować się z lekarzem. Wczesne rozpoznanie czerwienicy prawdziwej i wdrożenie odpowiedniego leczenia może pomóc w uniknięciu powikłań i poprawie jakości życia. Ponadto, osoby, które mają w rodzinie przypadki czerwienicy prawdziwej, powinny regularnie wykonywać badania krwi i monitorować swoje zdrowie pod kątem wystąpienia objawów choroby.
IX. Objawy Zaawansowane
A. Jakie symptomy pojawiają się w późniejszych stadiach choroby?
W późniejszych stadiach czerwienicy prawdziwej, objawy mogą się nasilać i być bardziej dokuczliwe. Mogą wystąpić:
- Nasilone bóle głowy i zawroty głowy, wynikające z zwiększonej lepkości krwi i zmian w krążeniu mózgowym.
- Nasilenie duszności i trudności w oddychaniu, związane z niedotlenieniem spowodowanym zwiększoną liczbą czerwonych krwinek.
- Problemy z układem nerwowym, takie jak mrowienie, drętwienie, zaburzenia widzenia czy zaburzenia równowagi.
- Powiększenie śledziony i wątroby, co może prowadzić do bólu brzucha i problemów z trawieniem.
- Nasilona bladość skóry i błon śluzowych, związana z nadmiernym stężeniem czerwonych krwinek we krwi.
B. Zmiany skórne, świąd, ból głowy
W zaawansowanej czerwienicy prawdziwej mogą wystąpić zmiany skórne, takie jak zaczerwienienie, rumień, a nawet sinica. Dodatkowo, niektórzy pacjenci mogą doświadczać nawracającego świądu skóry, który jest wynikiem zwiększonej lepkości krwi. Ból głowy również może być bardziej uciążliwy i częstszy w tym stadium choroby.
X. Procedury Diagnostyczne
A.Jakie testy są używane do diagnozowania czerwienicy prawdziwej?
- Diagnoza czerwienicy prawdziwej opiera się głównie na wynikach badań krwi. Nawet jeśli pacjent nie wykazuje pełnej klinicznej triady (zwiększonej liczby czerwonych krwinek, nadmiaru erytrocytów oraz wzrostu stężenia hemoglobiny), badania laboratoryjne mogą potwierdzić diagnozę.
- Do najczęściej wykorzystywanych testów należą badania krwi, takie jak morfologia krwi, oznaczenie hematokrytu, hemoglobiny, erytrocytów oraz pomiar stężenia erytropoetyny (EPO).
B. Znaczenie badania krwi i testów genetycznych
Badanie krwi odgrywa kluczową rolę w diagnozowaniu czerwienicy prawdziwej. Wzrost poziomu erytrocytów, hemoglobiny i hematokrytu może wskazywać na obecność choroby.
Dodatkowo, testy genetyczne mogą również być wykorzystane do identyfikacji mutacji genetycznych związanych z czerwienicą prawdziwą, co może pomóc w potwierdzeniu diagnozy oraz zaplanowaniu odpowiedniego leczenia.
XI. Opcje Leczenia Farmakologicznego
A. Jakie leki są stosowane w leczeniu czerwienicy prawdziwej?
W leczeniu czerwienicy prawdziwej stosowane są różne rodzaje leków, których celem jest zmniejszenie nadmiernego wzrostu czerwonych krwinek oraz kontrola objawów choroby. Do najczęściej używanych leków w leczeniu czerwienicy prawdziwej należą:
- Flebotomy – metoda polegająca na regularnym odsysaniu krwi, w celu obniżenia poziomu czerwonych krwinek.
- Leki hydroksymocznopodobne (np. hydroksykarbamid) – stosowane do zmniejszenia tworzenia czerwonych krwinek oraz zmniejszenia ryzyka powikłań związanych z nadmiernym krzepnięciem krwi.
- Interferon alfa – lek, który może hamować produkcję czerwonych krwinek i zmniejszać objawy choroby.
- Inhibitory JAK2 – leki, które działają na szlak JAK-STAT, regulując wzrost czerwonych krwinek i zmniejszając ryzyko powikłań sercowo-naczyniowych.
B. Inhibitory JAK2, hydroksykarbamid
- Inhibitory JAK2, takie jak ruxolitinib, są lekami nowej generacji stosowanymi w leczeniu czerwienicy prawdziwej. Działają poprzez hamowanie szlaku sygnałowego JAK-STAT, który jest zaangażowany w nadmierny wzrost czerwonych krwinek.
- Dzięki temu inhibitor JAK2 może pomóc w kontrolowaniu produkcji erytrocytów i zmniejszeniu objawów choroby.
- Hydroksykarbamid, z kolei, jest lekiem często stosowanym w czerwienicy prawdziwej, który działa poprzez zmniejszenie wzrostu czerwonych krwinek i hamowanie procesów zapalnych.
XII. Interwencje Inwazyjne
A. Kiedy stosuje się interwencje chirurgiczne?
Interwencje chirurgiczne są stosowane w przypadkach zaawansowanej czerwienicy prawdziwej, gdy inne metody leczenia farmakologicznego nie przyniosły oczekiwanych rezultatów lub nie są wystarczająco skuteczne.
Interwencje chirurgiczne mogą być również rozważane w przypadku wystąpienia powikłań związanych z chorobą, takich jak zakrzepica lub powiększenie śledziony.
B. Przeszczep szpiku kostnego
Przeszczep szpiku kostnego (allogeniczny przeszczep komórek krwiotwórczych) jest jednym z potencjalnych interwencyjnych postępowanie w leczeniu czerwienicy prawdziwej. Procedura ta polega na pozyskaniu szpiku kostnego od dawcy i przeszczepieniu go do chorego.
Przeszczep szpiku kostnego może pomóc w przywróceniu prawidłowej produkcji krwinek oraz zastąpieniu chorych komórek krwiotwórczych zdrowymi.
XIII. Monitorowanie i Kontrola
A. Jak często pacjenci powinni przechodzić badania kontrolne?
Pacjenci cierpiący na czerwienicę prawdziwą powinni regularnie przechodzić badania kontrolne zgodnie z zaleceniami lekarza specjalisty. Częstotliwość tych badań może się różnić w zależności od stanu pacjenta, fazy choroby i wyników poprzednich badań.
Zazwyczaj początkowo badania kontrolne mogą być wykonywane częściej, na przykład co miesiąc podczas stabilizacji choroby, a następnie co trzy do sześciu miesięcy w czasie utrzymywania remisji.
Regularne badania kontrolne są kluczowe dla monitorowania postępu choroby, skuteczności terapii oraz identyfikacji ewentualnych powikłań.
B. Znaczenie regularnych wizyt u specjalisty
Regularne wizyty u specjalisty, takiego jak hematolog, są niezwykle istotne dla pacjentów z czerwienicą prawdziwą. Specjalista jest w stanie śledzić rozwój choroby, monitorować wyniki badań, oceniać skuteczność terapii oraz dostosować leczenie w razie potrzeby.
Wizyty kontrolne pozwalają na ciągłe monitorowanie stanu zdrowia pacjenta, wczesne wykrywanie ewentualnych komplikacji, optymalne zarządzanie terapią oraz zapewnienie wsparcia psychologicznego. Regularne kontrole u specjalisty mogą pomóc pacjentowi utrzymać chorobę pod kontrolą i poprawić jakość życia.
XIV. Styl Życia i Dieta
A. Jakie zmiany w stylu życia mogą pomóc w zarządzaniu chorobą?
Zarządzanie czerwienicą prawdziwą wymaga również dokonania zmian w stylu życia pacjenta. Oto kilka zaleceń dotyczących potencjalnych zmian:
- Zaprzestanie palenia tytoniu: palenie papierosów może mieć negatywny wpływ na układ krwiotwórczy, dlatego rezygnacja z palenia może pomóc w kontrolowaniu choroby.
- Ograniczenie spożycia alkoholu: nadmierne spożywanie alkoholu może nasilać objawy czerwienicy prawdziwej, dlatego zaleca się ograniczenie jego spożycia.
- Regularna aktywność fizyczna: utrzymywanie aktywności fizycznej może pomóc w utrzymaniu dobrej kondycji fizycznej oraz ogólnego stanu zdrowia.
B. Rola diety i ćwiczeń fizycznych
Dieta i regularna aktywność fizyczna mogą odegrać istotną rolę w zarządzaniu czerwienicą prawdziwą. Oto kilka wskazówek dotyczących diety i ćwiczeń:
- Zbilansowana dieta: spożywanie zrównoważonych posiłków bogatych w składniki odżywcze, takie jak owoce, warzywa, pełnoziarniste produkty zbożowe i białka, może wspierać ogólne zdrowie i dobrą kondycję organizmu.
- Unikanie nadmiaru żelaza: w niektórych przypadkach zaleca się unikanie spożywania nadmiernych ilości produktów zawierających żelazo, ponieważ może to zwiększać produkcję czerwonych krwinek.
- Ćwiczenia fizyczne: regularna aktywność fizyczna, dostosowana do indywidualnych możliwości pacjenta, może poprawić krążenie krwi, kondycję organizmu oraz ogólny stan zdrowia.
Wprowadzenie zdrowych nawyków żywieniowych oraz regularnej aktywności fizycznej może wspomóc pacjentów z czerwienicą prawdziwą w radzeniu sobie z chorobą i utrzymaniu lepszego samopoczucia.
XV. Wsparcie Psychologiczne
A. Jakie wsparcie psychologiczne jest dostępne dla pacjentów?
Osoby z czerwienicą prawdziwą mogą korzystać z różnorodnego wsparcia psychologicznego, które pomoże im radzić sobie z chorobą. Oto kilka rodzajów dostępnego wsparcia:
- Indywidualna terapia psychologiczna: Pacjenci mogą skorzystać z sesji terapii indywidualnej, które pomogą im radzić sobie ze stresem, lękiem i innymi trudnościami związanymi z chorobą. Terapeuta może również pomóc w radzeniu sobie z emocjonalnymi aspektami choroby.
- Wsparcie grupowe: Pacjenci mogą dołączyć do grup wsparcia, gdzie będą mieli możliwość spotkania innych osób z czerwienicą prawdziwą, wymiany doświadczeń, uzyskania wsparcia emocjonalnego oraz uczenia się od innych, jak radzić sobie z chorobą.
- Wsparcie rodzinne: Bliscy i rodzina pacjenta mogą również odgrywać ważną rolę w zapewnianiu wsparcia emocjonalnego. Komunikacja otwarta i zrozumienie ze strony najbliższych może pomóc pacjentowi w radzeniu sobie z chorobą.
B. Rola grup wsparcia
Grupy wsparcia odgrywają istotną rolę w życiu pacjentów z czerwienicą prawdziwą, zapewniając im możliwość spotkania innych osób z podobnymi doświadczeniami. Oto kilka korzyści związanych z uczestnictwem w grupach wsparcia:
- Wspólne doświadczenia: Bycie częścią grupy wsparcia pozwala pacjentom dzielić się swoimi doświadczeniami z chorobą, które mogą być trudne do zrozumienia przez osoby spoza społeczności chorujących na czerwienicę prawdziwą.
- Wsparcie emocjonalne: Udział w grupie wsparcia daje możliwość uzyskania emocjonalnego wsparcia od osób, które zmagają się z podobnymi wyzwaniami. Członkowie grupy mogą wzajemnie motywować, dawać sobie otuchę i pomagać sobie nawzajem w trudnych chwilach.
- Informacje i edukacja: Grupy wsparcia stanowią również cenne źródło informacji i edukacji na temat czerwienicy prawdziwej. Członkowie grupy mogą wymieniać się wiedzą, udzielać porad oraz dzielić się najnowszymi informacjami na temat leczenia i zarządzania chorobą.
Udział w grupach wsparcia może być dużym wsparciem dla pacjentów z czerwienicą prawdziwą, pomagając im w radzeniu sobie z emocjami, pozyskiwaniu wiedzy i poczuciu przynależności do społeczności osób dotkniętych tą chorobą.
XVI. Wyzwania Społeczne
A. Jak choroba wpływa na życie społeczne pacjentów?
Czerwienica prawdziwa to choroba, która może znacząco wpłynąć na życie społeczne pacjentów. Włókna kolagenowe, które gromadzą się w skórze i narządach wewnętrznych, powodują szereg problemów medycznych, takich jak zmiany skórne, zaburzenia krążenia krwi i niedotlenienie narządów. Jednak choroba ta może również powodować szereg wyzwań społecznych, takich jak:
- Zmiany wyglądu: Zmiany skórne związane z czerwienicą prawdziwą mogą być wyraźne i widoczne na pierwszy rzut oka. To może prowadzić do dyskomfortu i utrudniać integrowanie się ze społeczeństwem.
- Ograniczenia fizyczne: Czerwienica prawdziwa może prowadzić do bolesnych opuchnięć i sztywności stawów, co może uniemożliwić pacjentom wiele codziennych czynności. Może to prowadzić do ograniczenia ich zdolności do wykonywania pracy, zainteresowań i hobby, co może mieć negatywny wpływ na ich życie społeczne.
- Depresja i lęki: Czerwienica prawdziwa może prowadzić do silnego stresu i lęku u pacjentów, co może mieć negatywny wpływ na ich zdolność do zdrowego funkcjonowania społecznego. Pacjenci z chorobą mogą odczuwać depresję, izolację społeczną i trudności z związaniem się z innymi, co może prowadzić do dalszych problemów emocjonalnych.
B. Radzenie sobie z ograniczeniami wynikającymi z choroby
Istnieją różne sposoby radzenia sobie z ograniczeniami wynikającymi z czerwienicy prawdziwej. Kilka sugestii to:
- Wspierająca społeczność: Ważne jest, aby pacjenci z czerwienicą prawdziwą mieli wspierającą społeczność. Mogą to być przyjaciele, rodzina lub grupy wsparcia skupiające osoby z tą chorobą. Często dzielenie się doświadczeniami i wzajemne wsparcie emocjonalne może pomóc pacjentom lepiej radzić sobie z chorobą.
- Otwarta i zrozumiała komunikacja: Pacjenci z czerwienicą prawdziwą powinni otwarcie rozmawiać z osobami, które ich otaczają o swojej chorobie i ograniczeniach, jakie niesie ze sobą choroba. Komunikacja jest kluczowa, zwłaszcza jeśli pacjenci potrzebują specjalnych ramp i sprzętu ułatwiającego życie.
- Zdrowy styl życia: Zdrowy styl życia jest ważny dla wszystkich, ale szczególnie dla pacjentów z czerwienicą prawdziwą. Regularna aktywność fizyczna, zdrowe żywienie i unikanie stresu mogą pomóc w radzeniu sobie z chorobą i zmniejszeniu jej wpływu na życie społeczne.
- Poszukiwanie pomocy specjalisty: Pacjenci z czerwienicą prawdziwą powinni szukać pomocy u specjalistów od chorób skórnych, reumatologów i innych lekarzy specjalistów, którzy pomogą im w radzeniu sobie z chorobą i jej symptomami. Dostępne są również psychologowie i terapeuci, którzy specjalizują się w pomaganiu pacjentom radzić sobie z emocjonalnymi aspektami choroby.
Warto pamiętać, że każdy pacjent z czerwienicą prawdziwą ma swoje unikalne wyzwania, a sposoby radzenia sobie z chorobą mogą się różnić. Ważne jest, aby pacjenci znaleźli sposób na radzenie sobie z ograniczeniami wynikającymi z choroby, który najlepiej odpowiada na ich potrzeby.
XVII. Przyszłość Badań i Nowe Terapie
A. Innowacje w Leczeniu
- Jakie nowe terapie są w fazie badań?
Obecnie w fazie badań nad leczeniem czerwienicy prawdziwej znajdują się różne nowatorskie terapie, w tym:- Terapie biologiczne: Badania nad lekami biologicznymi, które działają na mechanizmy autoimmunologiczne związane z chorobą, są obiecujące. Takie terapie mogą pomóc w kontrolowaniu stanu zapalnego i zmniejszaniu objawów czerwienicy prawdziwej.
- Terapie celowane: Rozwój terapii skoncentrowanych na konkretnych cząsteczkach wykazujących aktywność w procesie chorobowym może otworzyć nowe możliwości leczenia czerwienicy prawdziwej.
- Terapie fotodynamiczne: Badania nad wykorzystaniem światła i substancji fotosensybilizujących do niszczenia komórek patologicznych w skórze mogą prowadzić do nowych terapii dla pacjentów z czerwienicą prawdziwą.
- Rola terapii genowej
Terapia genowa może otworzyć nowe perspektywy leczenia czerwienicy prawdziwej poprzez modyfikację genetyczną komórek pacjenta w celu poprawienia odpowiedzi immunologicznej i zmniejszenia procesów autoimmunologicznych. Poprzez wprowadzanie odpowiednich genów lub blokowanie nieprawidłowych reakcji genetycznych, terapia genowa może zapewnić spersonalizowane podejście do leczenia tej choroby.
B. Perspektywy Badawcze
- Jakie są przyszłe kierunki badań nad czerwienicą prawdziwą?
Przyszłe badania nad czerwienicą prawdziwą mogą skupiać się na następujących obszarach:- Lepsze zrozumienie patogenezy: Badania nad lepszym zrozumieniem mechanizmów autoimmunologicznych i genetycznych odpowiedzialnych za rozwój czerwienicy prawdziwej mogą prowadzić do identyfikacji nowych celów terapeutycznych.
- Terapie spersonalizowane: Rozwój terapii opartych na indywidualnym profilu genetycznym i immunologicznym pacjentów może prowadzić do spersonalizowanych podejść terapeutycznych, które będą bardziej skuteczne i mniej inwazyjne.
- Rozwój leków biologicznych: Badania nad nowymi lekami biologicznymi, które będą bardziej skuteczne i bezpieczne w leczeniu czerwienicy prawdziwej.
- Wpływ nowych technologii na zrozumienie choroby
Korzystanie z nowoczesnych technologii, takich jak sekwencjonowanie DNA, analiza danych wielkiej skali i techniki obrazowania komórek, może znacząco przyspieszyć postęp w badaniach nad czerwienicą prawdziwą. Kombinacja tych technologii może pomóc w identyfikowaniu nowych markerów diagnostycznych, zrozumieniu mechanizmów patogenezy oraz opracowaniu bardziej precyzyjnych i skutecznych terapii dla pacjentów z czerwienicą prawdziwą.
Badania nad czerwienicą prawdziwą znajdują się w dynamicznym procesie rozwoju, a perspektywy na przyszłość są obiecujące, jeśli chodzi o lepsze zrozumienie i skuteczne leczenie tej rzadkiej choroby.
XVIII. Podsumowanie
A. Kluczowe wnioski na temat czerwienicy prawdziwej
- Czerwienica prawdziwa to rzadka choroba autoimmunologiczna, która charakteryzuje się nadmiernym wytwarzaniem erytrocytów w szpiku kostnym i niewłaściwym ich rozpadem. Jest to schorzenie, które częściej dotyka ludzi po 40. roku życia i może prowadzić do poważnych powikłań, takich jak zakrzepica, choroba niedokrwienna serca, czy udar mózgu.
- Najbardziej charakterystycznym objawem czerwienicy prawdziwej jest rumień na skórze, który zazwyczaj występuje na twarzy, szyi i rękach. Innymi objawami choroby są bóle głowy, zawroty głowy, uczucie zmęczenia i osłabienia, a także problemy z widzeniem i krwawienia.
- Diagnostyka czerwienicy prawdziwej opiera się na badaniach krwi, które pozwalają na zidentyfikowanie nadprodukcji erytrocytów i innych zmian wynikających z choroby. Najważniejszymi metodami leczenia są flebotomia, czyli pobieranie krwi w celu zmniejszenia jej objętości, leki immunosupresyjne i leki przeciwzakrzepowe.
B. Znaczenie wczesnego wykrycia i leczenia
- Wczesne wykrycie i leczenie czerwienicy prawdziwej jest kluczowe dla uniknięcia poważnych powikłań, takich jak zakrzepica, niewydolność serca i udar mózgu. Dlatego też ważne jest, aby osoby z podejrzeniem czerwienicy prawdziwej zwróciły się do lekarza jak najszybciej i poddały się odpowiednim badaniom.
- Bardzo istotne jest również regularne monitorowanie stanu pacjentów i dostosowywanie leczenia w przypadku pogorszenia się ich stanu zdrowia. W przypadku pacjentów, którzy nie reagują na konwencjonalne metody leczenia, należy rozważyć inne metody takie jak terapie biologiczne lub terapie celowane.
- Wniosek jest jednoznaczny – wczesne wykrycie i leczenie czerwienicy prawdziwej są kluczowe dla skutecznego leczenia i uniknięcia poważnych powikłań. Pacjenci z podejrzeniem czerwienicy prawdziwej powinni skonsultować się z lekarzem i poddać się odpowiednim badaniom.
XIX. Najczęściej Zadawane Pytania (FAQ)
A. Czy czerwienica prawdziwa jest dziedziczna?
Czerwienica prawdziwa ma charakter sporadyczny i nie jest dziedziczna w większości przypadków. Istnieją jednak rzadkie przypadki choroby, które są dziedziczne i związane z mutacjami genów EPO lub JAK2.
B. Jakie są długoterminowe rokowania dla pacjentów?
Długoterminowe rokowania dla pacjentów z czerwienicą prawdziwą zależą od wielu czynników, takich jak wiek, ogólny stan zdrowia i stopień zaawansowania choroby w momencie rozpoznania. Osoby, u których występują powikłania, takie jak zakrzepica lub choroba niedokrwienna serca, mogą mieć gorsze rokowania. Wczesne wykrycie i leczenie mogą pomóc zmniejszyć ryzyko wystąpienia powikłań i poprawić rokowania.
C. Czy można całkowicie wyleczyć czerwienicę prawdziwą?
Nie istnieje całkowite wyleczenie czerwienicy prawdziwej. Jednakże odpowiednie leczenie może pomóc w kontrolowaniu choroby i zapobieganiu powikłaniom, co prowadzi do poprawy jakości życia pacjenta. W niektórych przypadkach, flebotomia może być stosowana w celu zmniejszenia ilości krwi w organizmie, co zapobiega powstawaniu zakrzepów i innych powikłań. Leki immunosupresyjne i leki przeciwzakrzepowe są również stosowane w celu zmniejszenia objawów i ryzyka powikłań.
Zioła pomocne w leczeniu chorób: Czerwienica Prawdziwa
Ziołolecznictwo może być stosowane jako uzupełnienie konwencjonalnego leczenia choroby, ale zawsze należy skonsultować się z lekarzem przed rozpoczęciem jakichkolwiek alternatywnych terapii. Poniżej znajduje się lista ziół, które mogą być pomocne w leczeniu czerwienicy prawdziwej:
- Kłącze Pokrzywy – Zawiera substancje aktywne, takie jak kwasy fenolowe i flawonoidy, które mogą pomóc w redukcji stanów zapalnych i poprawie krążenia krwi.
- Korzeń Jeżówki Purpurowej – Znany ze swoich właściwości przeciwzapalnych i antyoksydacyjnych, może wspomóc układ immunologiczny i poprawić ogólne zdrowie organizmu.
- Korzeń Maca – Posiada właściwości adaptogenne, które mogą pomóc w regulacji poziomu hormonów i poprawić ogólną odporność organizmu.
- Korzeń Żeń-szeń – Ma działanie przeciwzapalne i przeciwutleniające, co może pomóc w redukcji stanów zapalnych w organizmie.
- Ostropest Plamisty – Posiada właściwości ochronne dla wątroby i może pomóc w detoksykacji organizmu.
Przed zastosowaniem jakiejkolwiek ziołowej terapii w leczeniu czerwienicy prawdziwej, zawsze konsultuj się z lekarzem lub specjalistą od medycyny naturalnej, aby upewnić się, że jest to odpowiednie i bezpieczne dla Twojego stanu zdrowia.
