I. Wprowadzenie do Azbestozy
A. Definicja Azbestozy
Azbestoza, znana również jako choroba azbestowa, jest poważnym schorzeniem układu oddechowego powodowanym długotrwałym narażeniem na azbest. Azbestoza może prowadzić do rozwoju różnych chorób płuc, w tym pylicy azbestowej, włóknistej azbestozy oraz raka płuc.
B. Historia używania azbestu
Azbest jest minerałem występującym naturalnie, który był szeroko używany przez wiele lat ze względu na swoje wyjątkowe właściwości. Był powszechnie stosowany jako izolator ciepła i dźwięku, a także w produkcji materiałów budowlanych, takich jak np. eternit, cement asfaltowy, panele podłogowe i wiele innych produktów. W przeszłości stosowano go również w przemyśle motoryzacyjnym, lotniczym, a nawet w przemyśle tekstylnym.
C. Zagrożenia zdrowotne związane z azbestem
Narażenie na azbest może prowadzić do wielu poważnych problemów zdrowotnych. Wdech azbestowych włókien może prowadzić do uszkodzenia płuc i tkanki łącznej, co z kolei może prowadzić do rozwoju pylicy azbestowej. Jest to stan zapalny płuc, który prowadzi do bliznowacenia i uszkodzenia płuc.
Włóknista azbestoza to kolejna choroba związana z azbestem, w której włókniste tkanki płuc stają się sztywne, prowadząc do utraty elastyczności i problemy z oddychaniem.
Najbardziej niebezpiecznym potencjalnym skutkiem narażenia na azbest jest rozwój raka płuc. Wdech azbestowych włókien zwiększa ryzyko zachorowania na raka płuc, szczególnie u osób palących papierosy.
Ponadto, narażenie na azbest może prowadzić również do rozwinięcia innych rodzajów nowotworów, takich jak rak oskrzelików, jamy nosowej, krtani, jelit czy otrzewnej.
Ważne jest, aby zrozumieć zagrożenia związane z azbestem i unikać narażenia na ten szkodliwy minerał. Wielu krajach wprowadzono już zakazy dotyczące używania azbestu, ale nadal istnieją miejsca, gdzie narażenie na azbest może wystąpić.
II. Rodzaje Azbestozy

A. Azbestoza płuc
Azbestoza płuc, znana również jako pylica azbestowa, jest jednym z najpoważniejszych skutków długotrwałego narażenia na azbest. Powstaje w wyniku wdychania azbestowych włókien, które gromadzą się w płucach. W rezultacie powstają blizny i włóknienie płuc, co prowadzi do utraty elastyczności i zmniejszenia zdolności do oddychania. Objawy azbestozy płuc mogą obejmować duszność, kaszel, zmęczenie oraz ból w klatce piersiowej.
B. Azbestoza opłucnej
Azbestoza opłucnej to stan, w którym włóknista tkanka azbestowa gromadzi się w błonie opłucnej, czyli błonie otaczającej płuca. Prowadzi to do owrzodzenia opłucnej oraz powstania płynu w opłucnej, co może spowodować ból w klatce piersiowej, duszność oraz ograniczenie ruchomości płuca.
C. Azbestoza brzuszna
Azbestoza brzuszna, znana również jako mezotelioma, jest nowotworem złośliwym, który rozwija się w opłucnej (błonie otaczającej płuca), otrzewnej (błonie wyścielającej jamę brzuszną), worku mosznowym lub otrzewnej wewnątrzbrzusznej. Jest to jedno z najpowszechniejszych powiązań między narażeniem na azbest a nowotworami. Objawy azbestozy brzusznej obejmują ból brzucha, obrzęk, utratę masy ciała oraz problemy trawienne.
D. Azbestoza skóry
Azbestoza skóry jest rzadkim stanem, który rozwija się w wyniku bezpośredniego kontaktu skóry z azbestem. Może prowadzić do powstawania zmian skórnych, takich jak zaczerwienienie, grudki, owrzodzenia lub owrzodzenia. Azbestoza skóry jest zwykle związana z długotrwałym narażeniem na azbest i występuje głównie u pracowników przemysłu, którzy byli bezpośrednio narażeni na kontakt z tym materiałem.
Rozpoznanie wszelkich rodzajów azbestozy wymaga konsultacji z lekarzem oraz odpowiednich badań, takich jak badanie rentgenowskie, tomografia komputerowa, bronchoskopia czy biopsja. Leczenie azbestozy jest zazwyczaj objawowe i koncentruje się na ulżeniu objawów oraz utrzymaniu funkcji życiowych.
III. Źródła Azbestozy
A. Użycie azbestu w przemyśle
Azbest był szeroko stosowany w przemyśle ze względu na swoje wyjątkowe właściwości, takie jak wytrzymałość i izolacyjność termiczna. Był często używany w produkcji materiałów budowlanych, takich jak eternit, cement asfaltowy, panele podłogowe, a także w izolacji termicznej i akustycznej.
B. Ekspozycja zawodowa
Osoby pracujące w branżach związanych z azbestem, takich jak budownictwo, przemysł, remonty, instalacje ogrzewania i wentylacji, mogą być narażone na pyły i cząstki azbestu w miejscu pracy. Przykładowymi zawodami zwiększającymi ryzyko ekspozycji na azbest są: instalatorzy izolacji, pracownicy przemysłu stalowego, hydraulicy, elektrycy, lakiernicy, czy spawacze.
C. Ekspozycja środowiskowa
Narażenie na azbest może również wystąpić w środowisku, na przykład w miejscach, gdzie prowadzone są prace remontowe lub rozbiórkowe na budynkach zawierających azbest. W takich przypadkach, włókna azbestu mogą się uwolnić do powietrza, powodując zagrożenie dla osób przebywających w pobliżu.
Ponadto, azbest może występować naturalnie w glebie i skałach, co powoduje możliwość zanieczyszczenia wód powierzchniowych i gleby. Ludzie mogą narażać się na azbest poprzez spożywanie zanieczyszczonej wody lub żywności pochodzącej z terenów skażonych.
Ważne jest, aby być świadomym potencjalnego narażenia na azbest i podjąć odpowiednie środki ostrożności w celu minimalizacji ryzyka. To obejmuje stosowanie odpowiednich środków ochrony osobistej, jak także przestrzeganie zasad bezpieczeństwa w miejscach, gdzie potencjalnie występuje azbest.
IV. Objawy Azbestozy
A. Objawy wczesne
Wczesne objawy azbestozy mogą być subtelne i łatwo je zbagatelizować. Mogą wystąpić po wielu latach od pierwszego narażenia na azbest. Niektóre z wczesnych objawów azbestozy mogą obejmować przewlekły kaszel, duszność podczas wysiłku, zmęczenie, uczucie ucisku w klatce piersiowej czy bóle mięśni i stawów.
B. Objawy zaawansowane
Objawy zaawansowanej azbestozy są zwykle bardziej dotkliwe i wpływają na codzienne funkcjonowanie. Najczęściej występującym objawem jest nasilająca się duszność, która może prowadzić do znacznego ograniczenia zdolności do oddychania. Inne objawy obejmują przewlekły kaszel z produkcją plwociny, ból w klatce piersiowej, utratę wagi, skurcze mięśniowe, problemy z połykaniem i zmęczenie.
C. Diagnoza Azbestozy
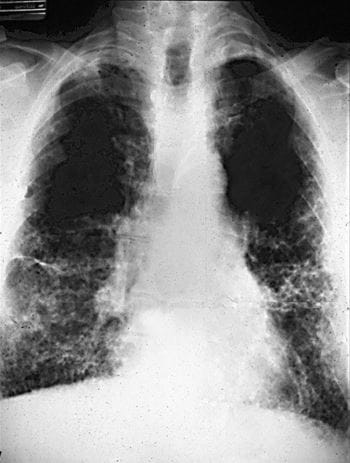
Diagnoza azbestozy opiera się na różnych badaniach i ocenie historii choroby pacjenta. Lekarz przeprowadzi wywiad z pacjentem, aby dowiedzieć się o ich narażeniu na azbest w przeszłości. Następnie zleci odpowiednie badania, takie jak badanie rentgenowskie klatki piersiowej, tomografię komputerową, bronchoskopię lub biopsję.
- Badanie rentgenowskie klatki piersiowej może dostarczyć wstępnych wskazówek dotyczących obecności zmian azbestowych w płucach.
- Tomografia komputerowa jest bardziej szczegółowym badaniem, które umożliwia dokładną wizualizację struktur płuc i okolicznych tkanek.
- Bronchoskopia jest procedurą, która pozwala na bezpośrednie obejrzenie dróg oddechowych i pobranie próbek tkanek do dalszej oceny.
- Biopsja może być konieczna w celu potwierdzenia obecności włókien azbestu w pobranej tkance.
W przypadku podejrzenia azbestozy płucnej, opłucnowej lub innych powiązanych schorzeń, istotne jest skonsultowanie się z lekarzem specjalistą, aby ustalić ostateczne rozpoznanie. Na podstawie wyników i diagnozy lekarz będzie mógł zaplanować odpowiednie leczenie i środki zaradcze.
V. Skutki zdrowotne Azbestozy
A. Rak płuc
Azbest jest silnie związany z występowaniem raka płuc. Wdychanie włókien azbestu może prowadzić do uszkodzenia tkanek płucnych, co z kolei zwiększa ryzyko wystąpienia raka płuc. Rak płuc jest jednym z najbardziej powszechnych nowotworów związanych z azbestem i może się rozwijać nawet kilkadziesiąt lat po ekspozycji na azbest.
B. Mezotelioma
Jest to rzadki, ale agresywny nowotwór, który rozwija się w opłucnej, otrzewnej, osierdziu lub oskrzelikach w wyniku narażenia na azbest. Mezotelioma jest zwykle związana z narażeniem zawodowym na azbest, takim jak praca w przemyśle azbestowym. Jest to trudny do wyleczenia nowotwór, a średni czas przeżycia po diagnozie wynosi zwykle około 1-2 lat.
C. Choroby płuc
Azbestoza może prowadzić do różnych chorób płuc, takich jak włóknienie płuc, pylica azbestowa i obturacyjne zapalenie oskrzeli.
- Włóknienie płuc to stan, w którym tkanka płucna staje się włóknista i sztywna, utrudniając normalne oddychanie.
- Pylica azbestowa to stan, w którym włókna azbestu gromadzą się w płucach i prowadzą do stanów zapalnych.
- Obturacyjne zapalenie oskrzeli to choroba charakteryzująca się zwężeniem oskrzeli, co prowadzi do trudności w oddychaniu.
Ważne jest, aby zdawać sobie sprawę z objawów azbestozy i skonsultować się z lekarzem w przypadku jakichkolwiek niepokojących objawów lub podejrzenia narażenia na azbest. Wcześniejsza diagnoza i leczenie mogą znacząco wpłynąć na rokowania i jakość życia pacjenta.
VI. Ryzyko i profilaktyka
A. Czynniki ryzyka
Wystawienie na azbest to główny czynnik ryzyka rozwoju azbestozy. Osoby, które miały długotrwały kontakt z azbestem, szczególnie w miejscu pracy, są bardziej narażone na rozwinięcie tej choroby. Przykłady zawodów związanych z wysokim ryzykiem narażenia na azbest to pracownicy przemysłu azbestowego, demontażu budynków, remontów oraz instalatorzy i izolatorzy. Palenie tytoniu również zwiększa ryzyko rozwoju azbestozy.
B. Sposoby minimalizacji narażenia
Istnieje kilka sposobów, które mogą pomóc w minimalizacji narażenia na azbest:
- Unikanie miejsc, gdzie występuje azbest: Unikaj miejsc, gdzie potencjalnie występuje azbest, takich jak stare budynki, które mogą mieć izolację azbestową czy wyroby azbestowe.
- Świadomość ryzyka i zasad ochrony: Zdobywanie wiedzy na temat azbestu, jego potencjalnych źródeł i zasad ochrony może pomóc w minimalizacji ekspozycji. Należy przestrzegać zasad bezpieczeństwa podczas prac, które mogą wiązać się z ekspozycją na azbest oraz korzystać z odpowiednich środków ochrony, takich jak maski ochronne i odzież ochronna.
- Kontrola środowiska: Jeśli podejrzewasz obecność azbestu w swoim domu lub miejscu pracy, należy skonsultować się z profesjonalistą, który dokona oceny ryzyka i podejmie odpowiednie środki dotyczące usuwania lub zabezpieczania materiałów azbestowych.
C. Środki ostrożności w miejscu pracy
Miejsca pracy, gdzie istnieje ryzyko narażenia na azbest, powinny przestrzegać środków ostrożności w celu minimalizacji ekspozycji. Należy zapewnić odpowiednie szkolenie pracowników dotyczące ryzyka związanego z azbestem, stosować odpowiednie metody pracy, takie jak instalowanie systemów wentylacji, aby ograniczyć rozprzestrzenianie się włókien azbestu, udostępniać odpowiednie środki ochrony osobistej, takie jak specjalne maski ochronne i odzież ochronna, a także przeprowadzać regularne kontrole stanu zdrowia pracowników, zwłaszcza tych narażonych na azbest.
Ważne jest, aby zapewnić odpowiednie środki ochrony i przestrzegać zasad bezpieczeństwa w celu minimalizacji ryzyka związanego z azbestem. W przypadku podejrzenia narażenia na azbest lub obecności tej substancji w miejscu pracy lub domu, skonsultuj się z profesjonalistą, który pomoże w ocenie ryzyka i podejmie odpowiednie środki zaradcze.
VII. Prawne aspekty azbestozy
A. Ustawa o ochronie zdrowia przed skutkami azbestu
W Polsce ważnym aktem prawnym dotyczącym ochrony przed skutkami azbestu jest Ustawa z dnia 19 lipca 2019 r. o ochronie zdrowia przed skutkami wykorzystania azbestu i wyrobów zawierających azbest. Ustawa ta określa przede wszystkim zasady identyfikacji, monitorowania i usuwania azbestu we wszystkich instytucjach publicznych oraz wymogi związane z ochroną zdrowia pracowników narażonych na azbest.
Ustawa ta nakłada również na właścicieli nieruchomości obowiązek monitorowania miejsc, w których znajduje się azbest, a także usuwania go zgodnie z określonymi wymaganiami i terminami.
B. Prawa pracownicze dotyczące azbestu
Wszyscy pracownicy, którzy są narażeni na ekspozycję na azbest w miejscu pracy, mają prawo do odpowiedniego szkolenia w zakresie bezpiecznego postępowania z azbestem oraz do używania odpowiednich środków ochrony osobistej.
Pracownicy, którzy zostaną zdiagnozowani z azbestozą lub innymi chorobami zawodowymi są objęci specjalnymi przepisami dotyczącymi wynagrodzenia, świadczeń zdrowotnych i emerytur.
C. Odpowiedzialność prawna producentów azbestu
Wiele krajów wprowadziło również przepisy dotyczące odpowiedzialności prawnej producentów azbestu za szkody wyrządzone przez ten materiał i powiązane z nim choroby, takie jak azbestoza czy rak płuc.
Przepisy te umożliwiają osobom zdiagnozowanym z chorobami związanymi z ekspozycją na azbest składanie roszczeń odszkodowawczych przeciwko producentom azbestu.
Podsumowując, ustawy i przepisy dotyczące azbestu są ważne dla ochrony zdrowia pracowników i innych osób narażonych na ekspozycję na ten szkodliwy materiał, a także dla zapewnienia im odpowiednich praw i świadczeń w przypadku rozwoju chorób spowodowanych narażeniem na azbest.
VIII. Badania naukowe i postęp w leczeniu
A. Najnowsze odkrycia
Badania naukowe nad azbestozą i związkiem azbestu z chorobami układu oddechowego prowadzone są nadal, aby zdobyć lepsze zrozumienie tej choroby i opracować bardziej efektywne metody leczenia. Wśród najnowszych odkryć dotyczących azbestozy należy wymienić:
- Biomarkery: Identyfikacja specyficznych biomarkerów, czyli substancji lub wskaźników w organizmie, które są obecne w przypadku azbestozy, może pomóc w szybszej diagnozie tej choroby.
- Terapia genowa: Badania nad terapią genową przy użyciu wektorów lub narzędzi genetycznych w celu naprawy uszkodzonych genów związanych z rozwinięciem azbestozy są obiecujące i mogą prowadzić do nowych form leczenia tej choroby.
B. Terapie eksperymentalne
Obecnie prowadzone są badania nad terapiami eksperymentalnymi, które mają na celu znalezienie skuteczniejszych metod leczenia azbestozy. Niektóre z tych terapii to:
- Terapia immunologiczna: Badania nad wykorzystaniem leków i terapii, które stymulują układ odpornościowy do zwalczania komórek nowotworowych lub zmniejszania stanu zapalnego związanego z azbestozą.
- Terapia genowa: Badania nad wprowadzaniem zdrowych genów do organizmu w celu naprawy uszkodzonych genów związanych z azbestozą.
- Terapia celowana: Badania nad lekami, które mają na celu celowe niszczenie komórek nowotworowych związanych z azbestozą, nie powodując przy tym szkód innym zdrowym komórkom.
C. Perspektywy na przyszłość
Postęp w badaniach nad azbestozą i leczeniem tej choroby wydaje się obiecujący. Dalsze badania nad biomarkerami, terapią genową, terapią immunologiczną i terapią celowaną mogą prowadzić do odkryć, które pomogą w bardziej skutecznym diagnozowaniu i leczeniu azbestozy.
W przyszłości istnieje również nadzieja na opracowanie nowych metod prewencyjnych, takich jak szczepionki, które mogą zapobiegać rozwojowi choroby u osób narażonych na azbest.
Jednakże, dla większości osób zdiagnozowanych z azbestozą, obecnie dostępne terapie i opieka medyczna koncentrują się na łagodzeniu objawów i opóźnianiu postępu choroby. Ważne jest, aby osoby narażone na azbest regularnie przeprowadzały badania kontrolne w celu wczesnego wykrycia i leczenia choroby.
IX. Wsparcie dla osób dotkniętych Azbestozą
A. Grupy wsparcia
Grupy wsparcia są miejscem, gdzie osoby dotknięte azbestozą mogą spotkać innych, którzy mają podobne doświadczenia. W tych grupach osoby mogą dzielić się swoimi historiami, obawami i radzić sobie z emocjonalnym i fizycznym obciążeniem azbestozy. Grupy wsparcia mogą również oferować edukację na temat azbestozy, informacje na temat dostępnych zasobów i programów pomocy oraz możliwość prowadzenia działań na rzecz świadomości na temat tej choroby.
B. Organizacje zajmujące się azbestozą
Istnieją organizacje, których celem jest zwiększanie świadomości na temat azbestozy oraz udzielanie wsparcia osobom dotkniętym tą chorobą. Te organizacje mogą oferować różnego rodzaju usługi, takie jak doradztwo, pomoc w uzyskaniu świadczeń zdrowotnych i finansowych, szkolenia dotyczące bezpiecznego postępowania z azbestem, informacje o prawach pracowniczych i inne.
C. Dostępne świadczenia i programy pomocowe
W zależności od lokalizacji, osoby dotknięte azbestozą mogą mieć dostęp do różnych świadczeń zdrowotnych, finansowych i programów pomocowych. Przykłady to refundacja leków i leczenia, porady prawne, pomoc w uzyskaniu świadczeń rentowych, programy reedukacyjne itp. Działające organizacje i grupy wsparcia mogą być w stanie udzielić potrzebnych informacji na temat dostępnych programów i świadczeń dla osób dotkniętych azbestozą.
Podsumowując, wsparcie dla osób dotkniętych azbestozą jest niezwykle ważne, aby pomóc im radzić sobie z chorobą i jej konsekwencjami. Grupy wsparcia, organizacje zajmujące się azbestozą oraz dostępne programy i świadczenia są pewnymi źródłami wsparcia, informacji i pomocy dla tych osób.
X. Edukacja i świadomość społeczna
A. Kampanie edukacyjne
Kampanie edukacyjne są skutecznym sposobem dotarcia do szerokiej publiczności i podniesienia świadomości na temat azbestozy. Mogą obejmować działania takie jak edukacyjne plakaty, ulotki, broszury, filmy, wydarzenia społeczne, seminaria i warsztaty, które informują o zagrożeniach związanych z azbestem, objawach azbestozy i sposobach ochrony przed ekspozycją na azbest.
B. Środki promujące świadomość
Promowanie świadomości o azbestozie może również obejmować powszechne wykorzystanie środków masowego przekazu takich jak telewizja, radio, Internet i media społecznościowe. Filmy, artykuły, wywiady i kampanie reklamowe, które omawiają azbestozę, jej wpływ na zdrowie i sposoby zapobiegania, mogą przyczynić się do większej świadomości społecznej na ten temat.
C. Rola społeczeństwa w zapobieganiu azbestozie
Społeczeństwo ma kluczową rolę w zapobieganiu azbestozie poprzez wymaganie i wspieranie środków bezpieczeństwa w miejscu pracy oraz w domach. Dbanie o bezpieczne warunki pracy i zdrowie pracowników, informowanie o ryzyku związanym z azbestem, a także stawanie po stronie osób dotkniętych azbestozą poprzez wsparcie i zrozumienie, to niektóre sposoby, w jakie społeczeństwo może przyczynić się do ograniczenia występowania tej choroby.
Podsumowując, edukacja i świadomość społeczna na temat azbestozy mają kluczowe znaczenie w walce z tą chorobą. Kampanie edukacyjne, środki promujące świadomość oraz aktywna rola społeczeństwa są niezbędne, aby zmniejszyć ekspozycję na azbest i zapewnić odpowiednie wsparcie dla osób dotkniętych azbestozą.
XI. Technologie zastępcze i eliminacja Azbestu
W miarę postępu badań nad azbestozą i zagrożeniami związanymi z azbestem, coraz większe znaczenie zyskuje rozwój technologii zastępczych oraz inicjatyw mających na celu eliminację azbestu zarówno na poziomie lokalnym, jak i globalnym. Oto trzy kluczowe aspekty technologii zastępczych i eliminacji azbestu:
A. Alternatywne materiały budowlane
Jednym ze sposobów ograniczania ekspozycji na azbest jest promowanie i wykorzystywanie alternatywnych materiałów budowlanych, które są bezpieczne, trwałe i odpornie na warunki atmosferyczne. Przykłady to materiały takie jak włókno szklane, ceramika, kamień naturalny, drewno lub tworzywa sztuczne, które mogą zastąpić tradycyjne materiały zawierające azbest.
B. Metody usuwania Azbestu
W przypadkach, gdy azbest jest już obecny w budynkach lub urządzeniach, istnieją specjalistyczne metody usuwania azbestu, które zapewniają bezpieczne usunięcie i zagwarantowanie minimalizacji ryzyka ekspozycji na azbest. Profesjonalne firmy specjalizujące się w usuwaniu azbestu stosują odpowiednie procedury i techniki, aby zapewnić skuteczność i bezpieczeństwo podczas usuwania.
C. Inicjatywy eliminacji Azbestu na skalę globalną
Azbest jest nadal powszechnie wykorzystywany w wielu krajach, co stwarza zagrożenie dla zdrowia publicznego na globalną skalę. Dlatego istotne są inicjatywy eliminacji azbestu na poziomie międzynarodowym, które mają na celu promowanie bezpiecznych substytutów dla azbestu, wprowadzenie rygorystycznych przepisów dotyczących usuwania i postępowania z azbestem oraz wspieranie krajów w procesie eliminacji azbestu z gospodarki.
Podsumowując, rozwój technologii zastępczych, stosowanie bezpiecznych metod usuwania azbestu oraz promowanie inicjatyw eliminacji azbestu na skalę globalną są kluczowe dla zapewnienia bezpieczeństwa zdrowotnego i ochrony środowiska przed skutkami związanymi z azbestem. Wdrażanie tych działań może skutecznie zmniejszyć ryzyko związane z azbestozą i poprawić jakość życia społeczności dotkniętych tym problemem.
XII. Azbestoza w kontekście polskiego przemysłu
A. Historia użycia azbestu w Polsce
W Polsce azbest był szeroko wykorzystywany w przemyśle, zwłaszcza w latach poprzednich, ze względu na swoje właściwości izolacyjne i ognioodporne. Azbest był stosowany między innymi w produkcji materiałów budowlanych, izolacji termicznej, sprzętach elektrycznych oraz produkowaniu wyrobów przemysłowych. Niestety, to powszechne wykorzystanie azbestu przyczyniło się do powstania licznych przypadków azbestozy wśród pracowników różnych branż.
B. Aktualne wyzwania i regulacje
Obecnie, mimo licznych regulacji ograniczających użycie azbestu, wciąż istnieją wyzwania związane z ekspozycją na azbest w Polsce. Istnieją obowiązujące przepisy dotyczące postępowania z azbestem, usuwania go oraz monitorowania środowiska pracy pod kątem stężenia azbestu. Ważne jest również zapewnienie odpowiedniej edukacji pracowników i społeczeństwa na temat ryzyka związanego z azbestem oraz środków ochrony osobistej.
C. Działania podejmowane przez polskie firmy
Coraz więcej polskich firm dostrzega znaczenie zapewnienia bezpiecznych warunków pracy i eliminacji ryzyka związanego z azbestem. Firmy wdrażają specjalistyczne szkolenia dla pracowników, szczegółowe procedury usuwania azbestu oraz monitorowanie stanu środowiska pracy w celu minimalizacji ryzyka ekspozycji na azbest. Ponadto, niektóre firmy podejmują działań proaktywnych, aby zastąpić azbest alternatywnymi, bezpiecznymi materiałami tam, gdzie to możliwe.
Podsumowując, w kontekście polskiego przemysłu istotne jest zrozumienie historii użycia azbestu, aktualnych wyzwań i regulacji oraz działań podejmowanych przez polskie firmy w celu ochrony pracowników i społeczności przed skutkami azbestozy. Wdrażanie kompleksowego podejścia do zarządzania ryzykiem związanym z azbestem może przyczynić się do poprawy warunków pracy i zdrowia pracowników oraz ograniczenia występowania azbestozy w Polsce.
XIII. Studium przypadku: Walka z Azbestozą w Polsce
Azbestoza to poważne wyzwanie zdrowotne, które wiąże się z ekspozycją na azbest. Niemniej jednak, Polska podejmuje wiele działań w celu eliminacji azbestu i minimalizacji związanych z tym ryzykiem. Przyjrzyjmy się bliżej sukcesom, wyzwaniom oraz perspektywom na przyszłość w walce z azbestozą w Polsce:
A. Sukcesy w eliminacji Azbestu
W Polsce odnotowano liczne sukcesy w eliminacji azbestu. W ciągu ostatnich lat, wiele budynków publicznych, takich jak szkoły, przedszkola, zakłady pracy czy budynki użyteczności publicznej, przeszło proces usuwania azbestu i zastąpienia go bezpiecznymi materiałami. Właściciele nieruchomości są teraz bardziej świadomi zagrożeń związanych z azbestem i podejmują odpowiednie kroki w celu zapewnienia bezpiecznych warunków pracy i zamieszkania.
B. Wyzwania i bariery
Mimo licznych sukcesów, walka z azbestozą nadal napotyka na wiele wyzwań i barier. Jednym z głównych wyzwań jest znalezienie odpowiednich środków finansowych na usuwanie azbestu i zastąpienie go bezpiecznymi materiałami. Takie działania są często kosztowne, zarówno dla właścicieli nieruchomości, jak i dla budżetów publicznych. Ponadto, często brakuje odpowiedniej infrastruktury i wykwalifikowanych pracowników do wykonania prac związanych z usuwaniem azbestu.
C. Perspektywy na przyszłość
Perspektywy na przyszłość są obiecujące w walce z azbestozą w Polsce. Rząd polski wprowadza coraz bardziej rygorystyczne przepisy dotyczące zarządzania azbestem oraz ograniczenia jego użycia. Istnieje również coraz większa świadomość społeczna na temat zagrożeń związanych z azbestem, co prowadzi do większego nacisku na usuwanie azbestu i zapewnienie bezpiecznych warunków pracy i zamieszkania. Ponadto, rozwój nowych technologii i materiałów alternatywnych otwiera możliwości zastąpienia azbestu bezpiecznymi substytutami.
Walka z azbestozą w Polsce osiąga pewne sukcesy, ale równocześnie napotyka na wyzwania i bariery. Perspektywy na przyszłość są obiecujące dzięki działaniom podejmowanym przez rząd, rosnącej świadomości społecznej oraz rozwojowi technologicznemu. Eliminacja azbestu oraz zapewnienie bezpiecznych warunków pracy i zamieszkania jest kluczowym celem, który nadal wymaga podjęcia dalszych działań.
XIV. Czynniki społeczno-ekonomiczne Azbestozy
A. Koszty leczenia i opieki zdrowotnej:
Azbestoza jest chorobą powodowaną przez ekspozycję na azbest i może prowadzić do różnych poważnych schorzeń, takich jak pylica płuc, azbestowe włóknienie płuc, azbestowe zapalenie opłucnej i rak opłucnej. Leczenie tych schorzeń jest kosztowne i wymaga długotrwałej opieki zdrowotnej. Pacjenci z azbestozą często potrzebują specjalistycznych badań diagnostycznych, terapii medycznej, hospitalizacji i opieki paliatywnej. Koszty związane z leczeniem i opieką nad chorymi mogą być wysokie dla jednostki, rodziny oraz systemów opieki zdrowotnej.
B. Wpływ Azbestozy na gospodarkę
Azbestoza ma również negatywny wpływ na gospodarkę. Osoby cierpiące na azbestozę często nie mogą kontynuować swojej pracy lub stawać się niezdolne do wykonywania swoich obowiązków zawodowych. W rezultacie, spada ich produktywność i mogą doświadczać trudności finansowych. Ponadto, pracodawcy mogą być obciążeni kosztami zwolnień lekarskich i trudnościami związanych z rekrutacją i zastępowaniem pracowników. W konsekwencji, narasta presja na systemy zabezpieczenia społecznego i zmniejsza się ogólna aktywność gospodarcza.
C. Społeczne konsekwencje choroby
Choroba azbestowa ma również poważne społeczne skutki. Osoby dotknięte tą chorobą często doświadczają utraty zdolności do pracy i zmniejszenia jakości życia. Mogą się borykać z chronicznymi objawami, takimi jak duszność, kaszel, przewlekłe zmęczenie, które wpływają na ich codzienne funkcjonowanie. Ponadto, azbestoza może prowadzić do społecznego wykluczenia i stygmatyzacji, ponieważ choroba ta jest często kojarzona z miejscami pracy, które były narażone na azbest.
Azbestoza ma wiele negatywnych skutków społeczno-ekonomicznych. Koszty leczenia i opieki zdrowotnej są wysokie, a wpływ na gospodarkę obejmuje spadek produktywności i trudności finansowe dla chorych i pracodawców. Dodatkowo, choroba ta ma poważne społeczne skutki, takie jak utrata zdolności do pracy, obniżona jakość życia i społeczne wykluczenie. Eliminacja azbestu oraz skuteczna opieka nad osobami dotkniętymi azbestozą są kluczowe dla minimalizacji tych skutków społeczno-ekonomicznych.
XV. Wpływ Azbestozy na środowisko
A. Zanieczyszczenie środowiska
Azbestoza ma poważne skutki na środowisko ze względu na obecność azbestu, który jest uważany za substancję szkodliwą dla zdrowia człowieka i środowiska. Azbest jest międzynarodowo uznawany za substancję rakotwórczą, a jego obecność w środowisku może prowadzić do zanieczyszczenia powietrza, wody i gleby. Po ekspozycji na azbest, włókna mogą osiadać w środowisku i pozostawać tam przez długi czas, zagrażając życiu organizmów żywych i zanieczyszczając ekosystemy.
B. Skutki dla ekosystemów
Obecność azbestu w ekosystemach może prowadzić do trwałych skutków dla różnych gatunków i ekosystemów. Azbest może być wdychany przez organizmy żywe, a przy dotknięciu gleby lub wody może przenikać do łańcucha pokarmowego. Włókna azbestu mogą powodować uszkodzenia tkanek organizmów żywych, w tym roślin, zwierząt i mikroorganizmów. Skutki te mogą prowadzić do zmniejszenia bioróżnorodności, zmian w ekosystemach i zakłóceń w równowadze ekologicznej.
C. Działania ochronne
W celu ochrony środowiska przed szkodliwymi skutkami azbestozy, podejmuje się różne działania ochronne. Jedną z nich jest monitorowanie jakości powietrza w miejscach narażonych na azbest. Wykonywane są również badania nad skutkami azbestu na faunę i florę oraz ocena jego wpływu na ekosystemy. Ponadto, prowadzone są działania zmierzające do ograniczenia ekspozycji na azbest i zapobiegania jego uwalnianiu do środowiska. Zabiega się również o eliminację obiektów i produktów zawierających azbest oraz o zastąpienie go bezpiecznymi substytutami. To wszystko ma na celu minimalizację wpływu azbestozy na środowisko i ochronę ekosystemów.
Azbestoza ma negatywny wpływ na środowisko, powodując zanieczyszczenie i potencjalne szkody dla ekosystemów. Działania ochronne, takie jak monitorowanie powietrza, badania nad skutkami azbestu na organizmy żywe oraz eliminacja i zastępowanie azbestu, są podejmowane w celu minimalizacji tych skutków i ochrony środowiska.
XVI. Zapobieganie Azbestozie: Strategie na przyszłość
A. Internacjonalne inicjatywy zapobiegawcze
W celu zapobiegania azbestozie i minimalizacji jej skutków, wprowadzane są różne inicjatywy na poziomie międzynarodowym. Organizacje takie jak Światowa Organizacja Zdrowia (WHO), Światowa Organizacja Pracy (ILO) oraz inne agencje i programy ONZ angażują się w działania mające na celu identyfikację, monitorowanie i kontrolę azbestu. Te inicjatywy obejmują opracowanie wytycznych dotyczących bezpieczeństwa i ochrony zdrowia, dostarczanie informacji i edukację na temat zagrożeń związanych z azbestem oraz wspieranie działań kraju w zakresie eliminacji azbestu i zapobiegania azbestozie.
B. Globalne standardy bezpieczeństwa
Jednym z kluczowych elementów w zapobieganiu azbestozie jest ustalenie globalnych standardów bezpieczeństwa. Wiele krajów przyjęło przepisy i regulacje dotyczące ochrony przed azbestem, w tym ograniczenia używania azbestu, procedury bezpiecznego usuwania i utylizacji odpadów azbestowych, a także normy dotyczące monitoringu i oceny ryzyka związanego z azbestem. Tworzenie jednolitych standardów na poziomie międzynarodowym jest ważne dla efektywnego zapobiegania azbestozie i ochrony zdrowia pracowników oraz społeczeństwa jako całości.
C. Współpraca międzynarodowa w walce z Azbestozą
Ważnym elementem zapobiegania azbestozie jest współpraca międzynarodowa. Wiele krajów współpracuje zarówno na poziomie regionalnym, jak i globalnym, aby wymieniać informacje, doświadczenia i najlepsze praktyki w zakresie eliminacji azbestu i zarządzania ryzykiem związanym z azbestem. Organizacje międzynarodowe, takie jak WHO i ILO, odgrywają rolę w ułatwianiu współpracy i koordynacji działań między krajami. Wspólna praca pozwala na wzajemne wsparcie i uczenie się od siebie, co prowadzi do lepszego zarządzania azbestem i zapobiegania azbestozie na całym świecie.
Zapobieganie azbestozie wymaga internacjonalnych inicjatyw zapobiegawczych, ustanowienia globalnych standardów bezpieczeństwa oraz współpracy międzynarodowej. Organizacje międzynarodowe, kraje i społeczność międzynarodowa muszą wspólnie działać, aby zidentyfikować, kontrolować i eliminować azbest oraz minimalizować ryzyko związanego z azbestozą. Przyjęcie takich strategicznych działań na przyszłość jest niezbędne dla ochrony zdrowia i dobrobytu ludzi oraz środowiska.
XVII. Analiza ekonomiczna Azbestozy
A. Koszty społeczne i ekonomiczne
Azbestoza ma znaczny wpływ na społeczeństwo i gospodarkę zarówno na poziomie jednostki, jak i na poziomie makroekonomicznym.
- Koszty społeczne obejmują utratę zdrowia i życia, cierpienie i zniszczenie jakości życia pacjentów oraz ich rodzin.
- Koszty ekonomiczne obejmują koszty leczenia i opieki zdrowotnej, utratę dni pracy, obniżenie produktywności, koszty utylizacji i usuwania odpadów azbestowych oraz koszty związane z programami ochrony zdrowia i monitorowaniem azbestu.
Azbestoza również generuje koszty dla systemów ubezpieczeń społecznych i emerytalnych, które muszą pokrywać koszty związane z tą chorobą.
B. Ocena efektywności działań przeciwdziałania
Jednym z kluczowych aspektów analizy ekonomicznej azbestozy jest ocena efektywności działań przeciwdziałania. Oznacza to ocenę kosztów i korzyści różnych działań mających na celu zapobieganie azbestozie oraz kontrolę i usuwanie azbestu z istniejących budynków i infrastruktury. Tego rodzaju oceny obejmują zwykle ocenę wydatków na programy eliminacji azbestu, kosztów związanych z realizacją tych programów oraz korzyści w postaci zmniejszenia zachorowalności, poprawy jakości życia i zmniejszenia kosztów opieki zdrowotnej. Takie oceny są niezwykle istotne dla podejmowania decyzji dotyczących alokacji zasobów i zasobów w celu skutecznego przeciwdziałania azbestozie.
C. Inwestycje w zapobieganie Azbestozie
Inwestycje w zapobieganie azbestozie są nieodzowne, aby zminimalizować występowanie tej choroby oraz jej skutki społeczne i ekonomiczne. W ramach tych inwestycji można uwzględnić różne działania, takie jak badania i rozwój nowych technologii eliminacji azbestu, szkolenia dla pracowników związanych z azbestem, edukację i kampanie informacyjne dla społeczeństwa, środki legislacyjne i regulacyjne ograniczające używanie azbestu, programy monitoringu azbestu i oceny ryzyka oraz programy zdrowotne i opiekuńcze dla osób chorujących na azbestozę. Inwestycje te przyczyniają się do zapobiegania zawodowej i środowiskowej ekspozycji na azbest i mają na celu ochronę zdrowia i dobrobytu społeczeństwa jako całości.
XVIII. Etyczne i moralne aspekty Azbestozy
A. Odpowiedzialność firm i instytucji
Firmy i instytucje, które były zaangażowane w produkcję, sprzedaż i stosowanie azbestu, ponoszą etyczną i moralną odpowiedzialność za negatywne skutki azbestozy. Odbywało się to często na przestrzeni wielu lat, w pełnej świadomości działających naukowców i przedstawicieli przemysłu na temat szkodliwości azbestu dla zdrowia ludzkiego. Firmy te miały obowiązek zapewnić bezpieczne środowisko pracy swoim pracownikom oraz dostarczyć rzetelne informacje na temat ryzyka azbestu. Niektóre z tych firm i instytucji ponoszą odpowiedzialność prawno-finansową za skutki azbestozy i muszą wnieść odszkodowania dla jej ofiar.
B. Prawa pracowników a interesy biznesowe
Azbestoza podnosi ważne pytanie o balansowanie pomiędzy prawami pracowników a interesem biznesowym. Pracownicy eksponowani na azbest mogli nie być wystarczająco chronieni przed szkodliwoymi skutkami tej substancji w związku z tym, że ich bezpieczeństwo i zdrowie było narażone na ryzyko na rzecz zwiększenia produkcji i zysków. Etyczne aspekty dotyczą zapewnienia odpowiednich standardów bezpieczeństwa i ochrony zdrowia pracowników, a także obowiązku informowania ich o ryzyku związanym z azbestem. W przypadku azbestozy, moralne aspekty wymagają uznania, że interesy biznesowe nie powinny być priorytetem nad zdrowiem i bezpieczeństwem pracowników.
C. Postawa społeczeństwa wobec ofiar Azbestozy
Azbestoza jest chorobą powodującą znaczne cierpienie i wpływ na jakość życia pacjentów i ich rodzin. Społeczeństwo ma moralny obowiązek zapewnić wsparcie i opiekę dla ofiar azbestozy, nie tylko pod względem opieki zdrowotnej, ale także społecznej. Tworzenie świadomości na temat azbestozy i jej skutków, promowanie równego dostępu do leczenia oraz zapewnienie środków finansowych na wsparcie pacjentów i ich rodzin są niezwykle ważne z etycznego i moralnego punktu widzenia. Społeczeństwo powinno dążyć do zapewnienia odpowiednich środków dla badań nad leczeniem azbestozy oraz działań mających na celu ochronę przyszłych pokoleń przed ekspozycją na azbest.
XIX. Podsumowanie
A. Najważniejsze wnioski
- Azbestoza jest poważną chorobą układu oddechowego, która wynika z ekspozycji na azbest, substancję szkodliwą dla zdrowia ludzkiego.
- Firmy i instytucje zaangażowane w produkcję, sprzedaż i stosowanie azbestu ponoszą odpowiedzialność za skutki azbestozy i powinny wnieść odszkodowania dla jej ofiar.
- Istnieje konflikt pomiędzy interesem biznesowym a prawami pracowników w kontekście azbestozy, co podkreśla potrzebę zapewnienia odpowiednich standardów bezpieczeństwa i ochrony zdrowia pracowników.
- Społeczeństwo ma moralny obowiązek wspierania ofiar azbestozy poprzez opiekę zdrowotną, społeczną oraz finansowe wsparcie.
B. Perspektywy na przyszłość
- Konieczne jest dalsze badanie nad leczeniem oraz zapobieganiem azbestozie, aby zapewnić skuteczne metody diagnostyczne i terapeutyczne.
- Rozwój nowych technologii i substytutów dla azbestu może przyspieszyć eliminację tej szkodliwej substancji z różnych dziedzin przemysłu.
- Edukacja społeczeństwa na temat azbestozy oraz promowanie świadomości na temat szkodliwości azbestu i jego skutków zdrowotnych są kluczowe dla zapobiegania nowym przypadkom choroby.
C. Apel o działanie
- Firmy i instytucje powinny działać zgodnie z zasadami etyki i moralności, zapewniając bezpieczne warunki pracy oraz informując pracowników o ryzyku związanym z azbestem.
- Społeczność powinna wspierać ofiary azbestozy poprzez zapewnienie im wsparcia medycznego, psychologicznego oraz finansowego.
- Rządy państw i organizacje międzynarodowe powinny podejmować działania mające na celu zmniejszenie ekspozycji na azbest oraz promowanie bezpiecznych środowisk pracy dla pracowników.
XX. Najczęściej zadawane pytania dotyczące Azbestozy (FAQ)
A. Co to jest Azbestoza?
Azbestoza jest to choroba układu oddechowego spowodowana ekspozycją na azbest. Azbest to minerał zawierający włókna, które mogą być wdychane i osadzać się w płucach, co prowadzi do uszkodzenia tkanek i powstania blizn.
B. Jakie są główne objawy Azbestozy?
Główne objawy azbestozy to trudności z oddychaniem, kaszel, ból w klatce piersiowej, utrata wagi, zmęczenie oraz krwioplucie. Objawy mogą pojawić się dopiero po wielu latach od ekspozycji na azbest.
C. Czy Azbestoza jest wyleczalna?
Azbestozy nie da się wyleczyć, ponieważ uszkodzenia płuc powstałe w wyniku ekspozycji na azbest są nieodwracalne. Istnieją jednak metody leczenia objawowego i terapie mające na celu łagodzenie objawów i utrzymanie jakości życia pacjenta.
D. Jakie są sposoby minimalizacji ryzyka Azbestozy?
Aby zminimalizować ryzyko azbestozy, ważne jest unikanie ekspozycji na azbest w miejscu pracy lub w innych środowiskach, gdzie substancja ta może być obecna. Konieczne jest stosowanie odpowiednich środków ochrony osobistej, takich jak maski czy specjalne ubrania.
E. Czy istnieją oznaki ostrzegawcze, na które należy zwrócić uwagę?
Oznaki ostrzegawcze azbestozy mogą obejmować trudności z oddychaniem, przewlekły kaszel, ból w klatce piersiowej, utrata wagi, zmęczenie oraz krwioplucie. Jeśli występują takie objawy, szczególnie u osób, które były eksponowane na azbest, należy jak najszybciej skonsultować się z lekarzem w celu diagnozy i odpowiedniego leczenia.
Dzięki odpowiedniej świadomości na temat azbestozy oraz środkom zapobiegawczym, można minimalizować ryzyko wystąpienia tej choroby i zapewnić szybką interwencję w przypadku pojawienia się jej objawów.
