I. Wprowadzenie
A. Co to jest sarkocystoza?
Sarkocystoza jest pasożytniczą chorobą zakaźną, która dotyka zwierzęta, zwłaszcza drapieżne, ale może również być przenoszona na ludzi. Jest spowodowana przez pasożyty z rodzaju Sarkocystis.

B. Dlaczego temat sarkocystozy jest istotny dla zdrowia ludzi i zwierząt?
Sarkocystoza może negatywnie wpływać na zdrowie zwierząt, powodując problemy zdrowotne i zmniejszając wydajność hodowlaną. Dla ludzi z kolei, konsumowanie mięsa zarażonego pasożytami Sarkocystis może prowadzić do zakażenia, co objawia się m.in. bólami mięśni oraz gorączką.
C. Cel i zakres artykułu
Celem artykułu jest zaprezentowanie informacji na temat sarkocystozy, jej wpływu na zdrowie zwierząt i ludzi oraz metod zapobiegania i leczenia tej choroby. Zostaną omówione czynniki rozprzestrzeniania się sarkocystozy, objawy u zarażonych zwierząt i ludzi, oraz znaczenie profilaktyki w kontroli tej choroby.
II. Podstawy biologiczne
A. Czym są pierwotniaki z rodzaju Sarcocystis?
Pierwotniaki z rodzaju Sarcocystis to pasożyty wewnątrzkomórkowe, które atakują ssaki, ptaki i gady. Ich cykl życiowy obejmuje dwóch żywicieli – pierwotnego żywiciela ostatecznego, w którym zachodzi rozmnażanie płciowe, oraz żywiciela pośredniego, w którym zachodzi rozmnażanie bezpłciowe. W tkankach żywiciela pośredniego pasożyty te tworzą cysty, które zawierają sporocysty, które z kolei przenoszone są do organizmu żywiciela ostatecznego.
B. Cykl życiowy pasożyta
Cykl życiowy Sarcocystis jest złożony i obejmuje etapy rozmnażania płciowego i bezpłciowego w dwóch różnych żywicielach.
- W żywicielu pośrednim pasożyty osiedlają się w komórkach mięśniowych, tworząc cysty, z których mogą być przenoszone na żywiciela ostatecznego.
- W organizmie żywiciela ostatecznego dochodzi do rozmnażania płciowego i tworzenia oocyst, które wydalane są z kałem.
C. Główne gatunki odpowiedzialne za chorobę u ludzi i zwierząt
Główne gatunki pasożytów z rodzaju Sarcocystis odpowiedzialne za sarkocystozę u ludzi i zwierząt to S. suihominis, S. hominis, S. cruzi, S. tenella oraz S. neurona. Każdy z tych gatunków może wywoływać specyficzne objawy i powikłania u zarażonych osobników, zarówno zwierząt, jak i ludzi.
III. Epidemiologia
A. Występowanie geograficzne
Sarkocystozy mają szerokie rozpowszechnienie geograficzne i występują przede wszystkim w regionach o ciepłym klimacie. Szczególnie często zakażenia tymi pasożytami są diagnozowane w krajach rozwijających się, gdzie warunki sanitarno-higieniczne, dostęp do czystej wody oraz opieka weterynaryjna mogą być ograniczone.
B. Grupy ryzyka
Osoby najbardziej narażone na zakażenie Sarkocystis to:
- rolnicy,
- pracownicy hodowli zwierząt,
- myśliwi
- oraz osoby spożywające niedogotowane mięso surowe lub niedostatecznie przetworzone.
Ponadto, osoby podróżujące do regionów o wysokim występowaniu sarkocystoz mogą być narażone na zakażenie.
C. Wpływ czynników środowiskowych i sanitarnych
Czynniki środowiskowe, takie jak warunki higieniczne w miejscach hodowli zwierząt, jakość wody pitnej oraz higiena osobista, mogą mieć wpływ na ryzyko zakażenia sarkocystozą. Ważne jest również odpowiednie przechowywanie, obróbka termiczna oraz higiena w zakresie spożywania mięsa, aby zapobiec zakażeniu. Edukacja dotycząca zdrowego żywienia oraz świadomość zagrożeń związanych z konsumpcją surowego mięsa może zmniejszyć ryzyko zachorowań na sarkocystozę.
IV. Drogi zakażenia
A. Zakażenia przez żywność i wodę
Zakażenie Sarkocystis przez spożycie zanieczyszczonej żywności, szczególnie mięsa surowego lub niedogotowanego, jest jedną z głównych dróg szerzenia się tej choroby. Pasożyty mogą znajdować się w mięsie zarażonych zwierząt, a spożycie surowego lub słabo przetworzonego mięsa zwiększa ryzyko zakażenia.
B. Kontakt ze zwierzętami jako rezerwuarami
Bezpośredni kontakt z zarażonymi zwierzętami, które są rezerwuarami dla Sarkocystis, stanowi potencjalne źródło zakażenia dla ludzi. Osoby pracujące w hodowlach zwierząt, myśliwi oraz weterynarze mogą być narażone na zakażenie poprzez kontakt z zarażonymi zwierzętami lub bezpośrednim kontaktem z ich wydzielinami.
C. Zakażenia jatrogenne
W przypadku zakażeń jatrogennych, tj. zakażeń wynikających z procedur medycznych czy laboratoryjnych, istnieje ryzyko przeniesienia Sarkocystis. Pracownicy laboratoriów weterynaryjnych, weterynarze oraz personel medyczny, którzy nie przestrzegają odpowiednich procedur bezpieczeństwa i higieny, mogą być narażeni na zakażenie Sarkocystozą podczas manipulacji próbkami tkanek lub wydzielin zarażonych zwierząt.
V. Sarkocystozy u ludzi
A. Sarkocystozy u ludzi
- Objawy sarkocystozy mięśniowej: Sarkocystoza mięśniowa u ludzi często przebiega bezobjawowo, ale w niektórych przypadkach może prowadzić do objawów takich jak bóle mięśni, osłabienie, bóle głowy i gorączka. Objawy te mogą być mylone z objawami grypy lub innych infekcji wirusowych.
- Objawy sarkocystozy jelitowej: Objawy sarkocystozy jelitowej mogą obejmować biegunkę, bóle brzucha, nudności i wymioty. Te objawy zazwyczaj są łagodne i samoograniczające się, ale u osób z osłabionym układem odpornościowym mogą być poważniejsze.
- Przebieg ostry vs. przewlekły: Większość przypadków sarkocystozy u ludzi ma łagodny przebieg i samoograniczającą się naturę. Choroba może mieć charakter ostry, prowadząc do objawów podobnych do grypy, które ustępują w ciągu kilku tygodni. W niektórych przypadkach może jednak przejść w przewlekłą postać u osób z osłabionym układem odpornościowym.
- Rzadkie i ciężkie powikłania: W przypadkach rzadkich sarkocystozy u ludzi mogą wystąpić ciężkie powikłania, zwłaszcza u osób z obniżoną odpornością. Mogą się one objawiać np. zapaleniem mięśnia sercowego, zapaleniem mózgu czy poważnymi uszkodzeniami jelit. Takie powikłania są jednak rzadkie i występują głównie u osób z osłabionym układem odpornościowym, takich jak osoby zakażone wirusem HIV czy pacjenci po przeszczepie narządów.
B. Sarkocystozy u zwierząt
- Zwierzęta gospodarskie (bydło, świnie, owce): Sarkocystozy mogą występować u bydła, świń i owiec. Chociaż u zwierząt gospodarskich zazwyczaj nie obserwuje się objawów klinicznych, to jednak ich mięso może stanowić potencjalne źródło zakażenia dla ludzi.
- Zwierzęta domowe (psy, koty): Także psy i koty mogą być nosicielami sarkocystozy, ale zazwyczaj nie wywołuje to u nich objawów klinicznych. Jednak ich kał może stanowić potencjalne źródło zakażenia dla ludzi poprzez spożycie skażonych produktów spożywczych lub wody.
- Dzika fauna jako wektor i rezerwuar: Dzika fauna, takie jak ptaki drapieżne czy dzikie ssaki, może pełnić rolę wektora i rezerwuaru sarkocystozy. Zarażenie może wystąpić u ludzi w wyniku spożycia mięsa zarażonych dzikich zwierząt lub poprzez kontakt z ich kałem lub środowiskiem, w którym się przebywają.
VI. Mechanizmy patogenezy Sarkocytozy
A. Jak pasożyt wpływa na organizm gospodarza?
Pasożyt wpływa na organizm gospodarza poprzez:
- Inwazję komórek mięśniowych, co może prowadzić do uszkodzenia tkanek mięśniowych, osłabienia mięśni oraz zaburzeń funkcji mięśni.
- Może także prowadzić do zapalenia wątroby, jelit, płuc, mózgu lub innych narządów, co może powodować objawy kliniczne związane z tymi narządami.
B. Reakcja immunologiczna organizmu
Reakcja immunologiczna organizmu obejmuje:
- Aktywację układu immunologicznego w odpowiedzi na inwazję pasożyta.
- Wytwarzanie przeciwciał oraz aktywację komórek immunologicznych w celu zwalczania pasożyta.
- Może także prowadzić do reakcji zapalnych, które mogą uszkadzać tkanki gospodarza.
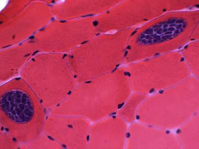
C. Zmiany histopatologiczne
- W tkankach mięśniowych mogą wystąpić charakterystyczne zmiany histopatologiczne, takie jak rozpad włókien mięśniowych, zwapnienia, tkliwość i ziarniniaki.
- W tkankach narządów wewnętrznych mogą pojawić się zmiany zapalne, inwazje pasożyta oraz reakcje tkanki gospodarza na obecność pasożyta.
Sarkocytoza wywołana przez pasożyta z rodzaju Sarkocystis może prowadzić do różnorodnych objawów klinicznych i zaburzeń w organizmie gospodarza poprzez wspomniane mechanizmy patogenezy.
VII. Diagnostyka Sarkocytozy:
A. Objawy kliniczne i wywiad medyczny
Podczas diagnostyki Sarkocytozy istotne mogą być objawy kliniczne, takie jak:
- osłabienie mięśni,
- bóle mięśniowe,
- gorączka,
- biegunka,
- nudności,
- wymioty,
- bóle brzucha
- oraz inne objawy związane z uszkodzeniem narządów wewnętrznych.
Ważny jest również zebrany wywiad medyczny, który może uwzględniać informacje dotyczące podróży, spożycia nieprzetworzonej żywności, kontaktu z zarażonymi zwierzętami czy zanieczyszczeń środowiska.
B. Badania laboratoryjne
- W diagnostyce Sarkocytozy stosowane są badania laboratoryjne krwi, które mogą ujawnić np. leukocytozę, eozynofilię lub podwyższoną aktywność enzymów wątrobowych.
- Badania kału mogą pomóc w wykryciu obecności cyst i pasożytów w kale.
- Biopsja tkanki mięśniowej może być wykonywana w celu potwierdzenia obecności cyst Sarkocystis.
C. Diagnostyka obrazowa
Badania obrazowe, takie jak rezonans magnetyczny (MRI) lub ultrasonografia (USG) mięśni, mogą pomóc w identyfikacji zmian patologicznych w mięśniach, narządach wewnętrznych lub mózgu związanych z inwazją pasożyta.
D. Diagnostyka różnicowa
Podczas diagnostyki Sarkocytozy ważne jest wykluczenie innych schorzeń, które mogą wywoływać podobne objawy, takie jak infekcje pasożytnicze (np. toksoplazmoza), zakażenia wirusowe, zapalenie mięśni (miopatie), czy inne choroby układu pokarmowego lub narządów wewnętrznych.
Poprzez kompleksową diagnostykę opartą na objawach klinicznych, badaniach laboratoryjnych, obrazowych oraz wykluczeniu innych chorób, możliwe jest skuteczne rozpoznanie i leczenie Sarkocytozy.
VIII. Leczenie, Profilaktyka i Zapobieganie Sarkocytozy
A. Leczenie
- Farmakoterapia (leki przeciwpierwotniakowe): Sarkocytoza może być leczona przy użyciu leków przeciwpierwotniakowych, takich jak trimetoprim-sulfametoksazol, doksycyklina, pyrimetamina lub inne leki zależnie od ciężkości choroby i miejsca inwazji pasożyta. Leki te działają poprzez zwalczanie pasożytów w organizmie i zmniejszają objawy kliniczne związane z inwazją Sarkocystis.
- Leczenie objawowe i wspomagające: W przypadku Sarkocytozy objawowej można stosować leczenie objawowe, które ma na celu złagodzenie objawów, takich jak bóle mięśniowe czy gorączka. Wspomagające może być również utrzymanie odpowiedniej nawodnienia organizmu, odpowiedniego żywienia oraz odpoczynku.
- Skuteczność leczenia i rokowania: Wczesne rozpoznanie i odpowiednie leczenie Sarkocytozy mogą prowadzić do wyzdrowienia i złagodzenia objawów. Skuteczność leczenia zależy od ciężkości choroby, stanu zdrowia pacjenta i odpowiedniego monitorowania postępu terapii.
B. Profilaktyka i zapobieganie
- Bezpieczne przygotowanie żywności: Aby zapobiec zakażeniu Sarkocytozą, ważne jest bezpieczne przechowywanie, gotowanie i przygotowanie żywności, zwłaszcza mięsa surowego czy mało przetworzonego, które mogą zawierać cysty pasożyta.
- Higiena osobista i otoczenia: Istotne jest zachowanie odpowiedniej higieny osobistej, tj. częste mycie rąk, szczególnie po kontakcie ze zwierzętami lub po pracy w ogródku lub hodowli zwierząt. Ważne jest także zachowanie czystości w otoczeniu, aby zapobiec zanieczyszczeniom pasożytami.
- Kontrola zakażeń w hodowlach zwierząt: W celu zapobiegania szerzeniu się Sarkocytozy konieczne jest regularne wykonywanie badań weterynaryjnych i kontrola zakażeń w hodowlach zwierząt, zwłaszcza bydła, które jest jednym ze źródeł zakażenia dla ludzi.
Poprzez świadomość profilaktyki i stosowanie się do zasad higieny oraz odpowiednie leczenie, można skutecznie zapobiegać zakażeniom i leczyć Sarkocytozę, minimalizując jej negatywne skutki dla zdrowia.
IX. Sarkocystoza a zdrowie publiczne
A. Zgłaszalność i nadzór epidemiologiczny
- Sarkocytoza jest chorobą zakaźną, która powinna być podlega nadzorowi epidemiologicznemu. Dlatego istnieje konieczność zgłaszania przypadków Sarkocytozy do odpowiednich organów sanitarno-epidemiologicznych.
- Nadzór epidemiologiczny obejmuje monitorowanie zachorowań, analizę trendów epidemiologicznych oraz podejmowanie odpowiednich działań prewencyjnych w przypadku wykrycia zwiększonej zachorowalności.
B. Znaczenie weterynarii i współpracy międzysektorowej
Weterynaria odgrywa istotną rolę w zapobieganiu i kontrolowaniu Sarkocytozy, ponieważ pasożyty odpowiedzialne za tę chorobę mogą być przenoszone przez zwierzęta.
Współpraca między weterynarzami, lekarzami oraz organami odpowiedzialnymi za zdrowie publiczne jest kluczowa w monitorowaniu i kontrolowaniu zakażeń oraz opracowywaniu skutecznych strategii zapobiegania rozprzestrzeniania się Sarkocytozy.
C. Przykłady ognisk epidemicznych
- Ogniska epidemiczne Sarkocytozy mogą wystąpić w przypadku spożycia pokarmu zanieczyszczonego cystami pasożytów, szczególnie mięsa surowego lub niedogotowanego.
- Przypadki ogniskowej Sarkocytozy mogą być związane z jednoczesnym wystąpieniem wielu przypadków zachorowań w określonym obszarze geograficznym lub grupie ludzi, co wymaga szybkiej reakcji i interwencji ze strony służb sanitarno-epidemiologicznych.
Poprzez skuteczny nadzór epidemiologiczny, współpracę międzysektorową oraz monitorowanie ognisk epidemicznych, możliwe jest skuteczne kontrolowanie Sarkocytozy i minimalizacja jej wpływu na zdrowie publiczne. Dlatego kluczowe jest prowadzenie działań prewencyjnych oraz szybka reakcja w przypadku wykrycia przypadków choroby.
X. Sarkocystoza a podróże i globalizacja
A. Zagrożenia dla turystów i podróżników
- Turystyka i podróże mogą zwiększać ryzyko zakażenia Sarkocytozą, ponieważ podróżujący mogą być narażeni na zjadanie potencjalnie zakażonej żywności, zwłaszcza w krajach, gdzie występuje choroba.
- Osoby podróżujące do regionów, gdzie Sarkocytoza jest endemiczna, powinny zachować ostrożność podczas spożywania posiłków oraz unikać surowego mięsa czy niedogotowanych potraw.
B. Import żywności i zwierząt
- Globalizacja wpływa na import żywności i zwierząt z różnych regionów, co może zwiększać ryzyko przenoszenia pasożytów powodujących Sarkocytozę do nowych obszarów.
- Kontrola jakości importowanych produktów żywnościowych oraz zwierząt jest kluczowa dla zapobiegania rozprzestrzenianiu się Sarkocytozy na nowe tereny oraz minimalizowania ryzyka zakażenia dla społeczeństwa.
C. Zmiany klimatyczne a nowe obszary ryzyka
- Zmiany klimatyczne mogą wpływać na rozprzestrzenianie się pasożytów odpowiedzialnych za Sarkocytozę, co może prowadzić do pojawienia się nowych obszarów ryzyka dla zachorowań na tę chorobę.
- Warunki atmosferyczne sprzyjające rozwojowi pasożytów oraz migracji żywicieli pośrednich mogą stworzyć korzystne warunki do rozprzestrzeniania się Sarkocytozy w nowych środowiskach.
Dbanie o świadomość podróżnych, skuteczną kontrolę importowanych produktów oraz monitorowanie wpływu zmian klimatycznych na rozprzestrzenianie się Sarkocytozy są kluczowe dla zapobiegania dalszemu rozprzestrzenianiu się tej choroby w kontekście podróży i globalizacji. Warto więc podejmować odpowiednie środki zaradcze i profilaktyczne, aby minimalizować ryzyko zakażenia podczas podróży.
XI. Badania naukowe i nowe perspektywy
A. Aktualne badania nad sarkocystozą
Naukowcy prowadzą badania nad etiologią i epidemiologią sarkocystozy, aby lepiej zrozumieć mechanizmy zakażenia oraz czynniki ryzyka z nią związane. Badania nad diagnostyką choroby oraz metodami identyfikacji i klasyfikacji różnych gatunków Sarcocystis mają na celu poprawę skuteczności wykrywania zakażeń u ludzi i zwierząt.
B. Eksperymentalne metody leczenia
Naukowcy eksperymentują z różnymi metodami leczenia sarkocystozy, takimi jak zastosowanie leków przeciwpasożytniczych w celu zwalczania pasożytów Sarcocystis. Inne metody terapeutyczne i interwencje, takie jak leczenie objawowe i wspierające, są również badane w celu poprawy skuteczności terapii sarkocystozy.
C. Potencjalne szczepionki
- Badania nad potencjalnymi szczepionkami przeciwko sarkocystozie mają na celu rozwinięcie skutecznych strategii ochrony przed zakażeniem.
- Potencjalne szczepionki mogą być opracowywane zarówno dla zwierząt, aby ograniczyć transmisję pasożytów do ludzi, jak i dla ludzi, aby zapobiec zakażeniom i rozwojowi ciężkich objawów sarkocystozy.
Badania naukowe nad sarkocystozą są istotne dla rozwinięcia skutecznych metod profilaktyki, diagnostyki i leczenia tej choroby. W miarę postępu badań naukowych istnieje szansa na opracowanie bardziej efektywnych środków kontrolnych oraz leków, co może przyczynić się do zmniejszenia obciążenia sarkocystozą dla ludzi i zwierząt.
XII. Aspekty prawne i etyczne dotyczące sarkocystozy
A. Regulacje dotyczące żywności pochodzenia zwierzęcego
- W celu ochrony zdrowia publicznego istnieją przepisy i regulacje dotyczące kontroli bezpieczeństwa żywności pochodzenia zwierzęcego, w tym mięsa, mleka i produktów mlecznych, pod kątem zakażeń pasożytami, takimi jak Sarcocystis.
- Organizacje i instytucje odpowiedzialne za nadzór żywności podlegają określonym normom i wymaganiom, które mają na celu zapobieganie rozprzestrzenianiu się sarkocystozy przez spożycie zakażonych produktów.
B. Odpowiedzialność hodowców i producentów
- Hodowcy i producenci zwierząt mają obowiązek dbać o dobrostan zwierząt oraz zapobiegać zakażeniom pasożytami, w tym Sarcocystis, poprzez odpowiednie praktyki hodowlane i higieniczne warunki utrzymania zwierząt.
- Odpowiedzialność producentów wynika z konieczności dostarczania bezpiecznych produktów żywnościowych, wolnych od zanieczyszczeń pasożytniczych, które mogą zagrażać zdrowiu konsumentów.
C. Edukacja zdrowotna i świadomość społeczna
- Ważnym aspektem jest edukacja zdrowotna dotycząca zagrożeń związanych z sarkocystozą, zarówno dla społeczności wiejskich, hodowców, jak i konsumentów, aby świadomie przeciwdziałać zakażeniom i propagować właściwe praktyki sanitarne.
- Zwiększanie świadomości społecznej na temat sarkocystozy może przyczynić się do zmniejszenia zachorowalności poprzez poprawę postaw i zachowań ludzi w kontekście higieny, żywienia i bezpieczeństwa żywnościowego.
Aspekty prawne i etyczne związane z sarkocystozą odgrywają istotną rolę w zapobieganiu, kontrolowaniu i ograniczaniu rozprzestrzeniania się tej choroby zarówno wśród zwierząt, jak i ludzi. Ścisła kontrola nad produkcją żywności, odpowiedzialne praktyki hodowlane oraz edukacja społeczna są kluczowe dla zapewnienia bezpieczeństwa i zdrowia społeczności.
XIII. Podsumowanie dotyczące sarkocystozy
A. Kluczowe informacje w pigułce
- Sarkocystoza jest pasożytniczą chorobą wywoływaną przez pierwotniaki z rodzaju Sarcocystis, które zarażają zwierzęta roślinożerne i mięsożerne, a także ludzi.
- Występują dwie formy sarkocystozy: u ludzi zwykle przebiega bezobjawowo, natomiast u zwierząt może prowadzić do chorób mięśni i zaburzeń zdrowotnych.
- Istnieją różne gatunki Sarcocystis, które mogą zakażać różne gatunki zwierząt, co stanowi istotne zagrożenie dla zdrowia zwierząt hodowlanych i dzikich oraz dla ludzi spożywających zakażone mięso.
B. Najważniejsze wnioski i zalecenia
- Regularne badania diagnostyczne zwierząt hodowlanych mają kluczowe znaczenie w identyfikacji zarażeń pasożytami, w tym Sarcocystis, co pozwala na skuteczne zapobieganie rozprzestrzenianiu się choroby.
- Zapewnienie odpowiednich warunków sanitarno-higienicznych w hodowlach zwierząt oraz podczas przetwarzania i przechowywania mięsa jest niezbędne do minimalizowania ryzyka zakażenia sarkocystozą.
- Edukacja hodowców, producentów żywności, pracowników służby zdrowia oraz społeczności wiejskich i miejskich w zakresie identyfikacji objawów sarkocystozy, metod zapobiegania zakażeniom oraz higieny żywnościowej może przyczynić się do ograniczenia występowania choroby.
- Wartościowe zalecenia obejmują również kontrolę jakości mięsa, jego źródło pochodzenia oraz procesy przetwarzania i sprzedaży, aby zapewnić bezpieczeństwo żywnościowe i zdrowie konsumentów.
XIV. Najczęściej zadawane pytania (FAQ)
A. Czy sarkocystoza jest zaraźliwa między ludźmi?
Sarkocystoza u ludzi jest zwykle niespotykana, ale możliwe jest zarażenie przez spożycie zakażonego mięsa. Bezpośredni kontakt międzyludzki nie jest typowym sposobem przenoszenia sarkocystozy.
B. Jakie mięso najczęściej przenosi zakażenie?
Sarkocystoza może być przenoszona przez mięso zarażonych zwierząt, takich jak wieprze, woły, owce, stąd konsumpcja nieprzetworzonego i niedogotowanego mięsa tych zwierząt stanowi ryzyko zarażenia.
C. Czy gotowanie mięsa zapobiega sarkocystozie?
Tak, odpowiednio wysokie temperatury gotowania mogą zniszczyć pierwotniaki Sarcocystis obecne w mięsie, co przyczynia się do zapobiegania zakażeniom sarkocystozą.
D. Jakie są różnice między sarkocystozą a toksoplazmozą?
Sarkocystoza jest spowodowana przez pierwotniaki z rodzaju Sarcocystis, które powodują powstawanie cyst w mięśniach zwierząt. Toksoplazmoza z kolei jest wywoływana przez Toxoplasma gondii, pierwotniaka który może powodować infekcje u ludzi po spożyciu zakażonego mięsa lub kontaktu z zanieczyszczonymi kałami kotów.
E. Czy dzieci i kobiety w ciąży są bardziej narażone?
Dzieci i kobiety w ciąży mogą być bardziej narażone na powikłania związane z sarkocystozą, dlatego ważne jest, aby unikać spożywania niedogotowanego mięsa oraz dbać o higienę żywnościową, zwłaszcza w przypadku osób znajdujących się w grupach ryzyka.
