I. Wprowadzenie
A. Co to jest malaria?
Malaria jest groźną chorobą zakaźną przenoszoną przez komary Anopheles, które są nosicielami pasożytniczych pierwotniaków z rodzaju Plasmodium. Choroba ta charakteryzuje się gorączką, dreszczami i potliwością, a w cięższych przypadkach może prowadzić do poważnych powikłań, a nawet śmierci.

B. Znaczenie artykułu
- Dlaczego malaria jest ważnym tematem globalnym?
Malaria jest nadal jednym z największych problemów zdrowotnych na świecie, głównie w krajach o niższych dochodach. Wpływa to nie tylko na zdrowie ludności, ale także na rozwój społeczno-gospodarczy tych regionów. - Wpływ malarii na zdrowie publiczne, szczególnie w tropikach
W obszarach tropikalnych, gdzie komary są obecne przez większą część roku, malaria ma znaczący wpływ na zdrowie publiczne. Ciągłe zakażenia i choroby przewlekłe związane z malarią prowadzą do zmniejszenia produktywności społeczności oraz obciążają system opieki zdrowotnej. Dlatego walka z malarią ma kluczowe znaczenie dla poprawy jakości życia i zdrowia mieszkańców tropików.
II. Historia malarii
A. Ewolucja i pochodzenie malarii
Malaria jest chorobą, która towarzyszy ludzkości od wieków. Prawdopodobnie rozprzestrzeniła się z Afryki subsaharyjskiej, gdzie istnieje bogate zróżnicowanie gatunków pasożytów Plasmodium. Z czasem malaria rozprzestrzeniła się na inne kontynenty, przede wszystkim w wyniku migracji ludności i handlu.
B. Historia badań nad malarią
Badania nad malarią przyczyniły się do wielu kluczowych odkryć naukowych i medycznych. Jednym z najważniejszych odkryć było zidentyfikowanie komarów jako wektorów przenoszenia malarii oraz odkrycie cyklu życiowego pasożytów Plasmodium. Inne kluczowe osiągnięcia to rozwój skutecznych leków antymalarycznych oraz opracowanie metod kontroli populacji komarów.
Dzięki ciągłym badaniom i innowacjom naukowym, medycyna ma coraz większe możliwości w zwalczaniu malarii i zapobieganiu jej rozprzestrzenianiu się na całym świecie.
III. Biologia i etiologia malarii
A. Pasożyt Plasmodium
Malarię wywołują pierwotniaki z rodzaju Plasmodium. Istnieje kilka gatunków pasożytów Plasmodium odpowiedzialnych za malarię:
- Plasmodium falciparum – najbardziej śmiertelny gatunek, stanowiący główną przyczynę zgonów związanych z malarią.
- Plasmodium vivax – drugi co do częstości występowania i zdolności do prowadzenia do nawracającej malarii.
- Plasmodium malariae – powoduje przetrwałą postać malarii oraz przewlekłe infekcje.
- Plasmodium ovale – powoduje rzadką formę malarii.
- Plasmodium knowlesi – pierwotniak występujący u niektórych małp, ale może również zakażać ludzi.
B. Cykl życia pasożyta malarii
Cykl życia pasożyta Plasmodium jest złożony i składa się z dwóch faz:
- Faza w organizmie komara: Komar zarażony zarodnikiem Plasmodium przekazuje pasożyta podczas ukłucia. W organizmie komara Plasmodium przechodzi przez rozmnażanie płciowe i bezpłciowe, tworząc zarodniki, które są gotowe do zarażenia człowieka.
- Faza w organizmie człowieka: Zarodniki dostają się do krwiobiegu człowieka i atakują czerwone krwinki. Wewnątrz czerwonych krwinek Plasmodium rozmnaża się, co prowadzi do rozpadu krwinek i uwolnienia nowych zarodników do krwiobiegu, powtarzając tym samym cykl zakażenia.
IV. Wektory i sposób przenoszenia
A. Rola komarów Anopheles
Gatunki komarów z rodzaju Anopheles odgrywają kluczową rolę jako główne wektory przenoszenia malarii. Są to krwiopijne komary, które zarażają ludzi pasożytami Plasmodium podczas ukąszenia. Komary Anopheles są szczególnie skuteczne w przenoszeniu malarii ze względu na ich preferencje żywieniowe i biologię rozrodu, co czyni je efektywnymi nośnikami choroby.
B. Cykl przenoszenia pasożyta
Proces przenoszenia malarii z osoby na osobę za pośrednictwem ukąszeń komarów przebiega w następujących krokach:
- Zakażenie komara: Komar Anopheles zaraża się pasożytem Plasmodium, pobierając zarażoną krew od zakażonej osoby.
- Rozmnażanie się pasożyta w komarze: Plasmodium rozmnaża się w ciele komara, przechodząc przez stadium płciowe i bezpłciowe, by stać się zakaźnym dla człowieka.
- Ukąszenie zakażonego komara: Zarażony komar ukąsza zdrową osobę, wstrzykując zarodniki Plasmodium do jej krwiobiegu.
- Rozwój pasożyta w człowieku: Pasożyt Plasmodium dostaje się do czerwonych krwinek w organizmie człowieka i rozpoczyna swój cykl rozwoju, prowadzący do wystąpienia objawów i infekcji malarią.
- Ponowne przeniesienie malarii: Cykl powtarza się, gdy zakażona osoba staje się źródłem zarażenia dla innych komarów, tworząc tym samym cykl przenoszenia malarii.
V. Epidemiologia malarii
A. Globalne rozprzestrzenienie malarii
Malaria jest chorobą tropikalną występującą głównie w obszarach endemicznych, z których największe znaczenie ma kontynent afrykański, Azja Południowo-Wschodnia oraz niektóre obszary Ameryki Łacińskiej. W Afryce Subsaharyjskiej notuje się największą liczbę przypadków malarii oraz zgonów z nią związanych. Do innych kluczowych obszarów endemicznych należy Azja Południowo-Wschodnia, gdzie również występuje znaczna liczba przypadków rocznie.
B. Wpływ klimatu na występowanie malarii
Klimat i warunki środowiskowe mają kluczowe znaczenie dla częstości występowania malarii. Ciepłe i wilgotne środowisko sprzyja rozwojowi komarów, zwłaszcza gatunków Anopheles, które są wektorami malarii. Wysoka wilgotność oraz dostępność zbiorników wodnych sprzyja rozmnażaniu się komarów, co z kolei zwiększa ryzyko transmisji malarii. W regionach o ciepłym klimacie malarię można spotkać przez cały rok, podczas gdy w regionach o klimacie sezonowym infekcje często związane są z określonymi porami roku, gdy populacja komarów jest najliczniejsza.
VI. Objawy i przebieg choroby
A. Pierwsze objawy zakażenia
Zakażenie malarią charakteryzuje się szeregiem objawów, z których najczęstsze to:
- Gorączka: Jest jednym z pierwszych objawów infekcji i może występować regularnie zgodnie z cyklem życiowym pasożyta.
- Dreszcze: Osoby zarażone mogą doświadczać napadowych dreszczy, które mogą powodować drżenie ciała.
- Bóle głowy: Mogą być obecne zaraz po dreszczach i są częstym objawem malarii.
B. Ciężkie przypadki i powikłania
Nieleczona lub nietrafiona terapia malarii może prowadzić do poważnych konsekwencji oraz powikłań, włączając w to:
- Anemia: Infekcja może prowadzić do niskiego poziomu czerwonych krwinek, co z kolei prowadzi do niedokrwistości.
- Uszkodzenie mózgu: W przypadkach ciężkich zakażeń, szczególnie wywołanych przez pasożyty Plasmodium falciparum, może wystąpić obrzęk mózgu lub porażenie mózgowe.
- Niewydolność narządów: Tętnice mózgowe, płuca, nerki – zakażenie malarią może prowadzić do uszkodzenia różnych narządów i systemów w organizmie, prowadząc do niewydolności.
VII. Diagnoza i metody wykrywania
A. Tradycyjne metody diagnostyczne
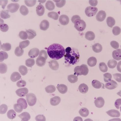
- Mikroskopia: Jedną z tradycyjnych i nadal powszechnie stosowanych metod diagnozy malarii jest mikroskopia. Polega ona na badaniu próbki krwi pod mikroskopem w celu identyfikacji obecności pasożytów malarii oraz oceny ich rodzaju i stężenia.
- Testy na obecność pasożytów we krwi: Inną tradycyjną metodą diagnostyczną jest używanie testów umożliwiających wykrycie obecności pasożytów malarii we krwi. Te testy mogą obejmować barwienie krwinek lub inne techniki umożliwiające obserwację i identyfikację pasożytów.
B. Nowoczesne testy diagnostyczne
- Szybkie testy diagnostyczne (RDTs): Szybkie testy diagnostyczne malarii (RDT) są szybkimi i łatwymi w użyciu testami, które wykorzystują antygeny lub przeciwciała, aby wykryć obecność pasożytów malarii we krwi. Są one często wykorzystywane w terenach, gdzie dostęp do laboratoriów jest ograniczony.
- Badania molekularne: Badania molekularne, takie jak PCR (reakcja łańcuchowa polimerazy), mogą być stosowane do identyfikacji DNA pasożytów malarii z dużą precyzją. Badania te wykorzystują techniki genetyczne do wykrywania i identyfikacji pasożytów malarii, a ich stosowanie może być przydatne szczególnie w przypadkach, w których tradycyjne metody diagnostyczne mogą zawodzić.
Skuteczna diagnoza i metody wykrywania malarii są kluczowe dla szybkiego wdrożenia właściwego leczenia. Wybór odpowiedniej metody diagnozy zależy od dostępnych zasobów oraz specyfiki zakażenia w danym regionie. W dzisiejszych czasach, rozwój nowoczesnych metod diagnostycznych zbiera wiele pozytywnych opinii ze względu na ich szybkość, dokładność i praktyczność w różnych warunkach klinicznych i terenowych.
VIII. Leczenie malarii
A. Leczenie farmakologiczne
- Artemizyniny i ich pochodne: Podstawą leczenia malarii jest stosowanie artemizynin oraz jej pochodnych, takich jak artemeter, artesunat czy dihydroartemisinina. Substancje te są bardzo skuteczne w zwalczaniu pasożytów malarii, zwłaszcza Plasmodium falciparum, który jest najgroźniejszym czynnikiem wywołującym malarię.
- Inne leki antymalaryczne: Oprócz artemizynin, istnieją inne leki antymalaryczne, które mogą być stosowane w zależności od rodzaju pasożytów, oporności na leki oraz innych czynników. Przykłady takich leków to chlorochina, meflochina, atowakuon i proguanil.
B. Oporność na leki
- Problem oporności na leki: Narastający problem oporności na leki przeciwko malarii staje się coraz bardziej zauważalny w niektórych regionach świata, zwłaszcza w obszarach, gdzie malarię wywołuje Plasmodium falciparum. Oporność na leki może powodować trudności w leczeniu oraz prowadzić do poważnych komplikacji i zgonów.
- Znaczenie monitorowania oporności na leki: Ważne jest monitorowanie oporności na leki w obszarach endemicznych dla malarii, aby szybko rozpoznać ewentualne zmiany w skuteczności stosowanych leków i dostosować strategie leczenia. Badania nad nowymi lekami i połączeniami leków antymalarycznych są również prowadzone w celu opracowania bardziej skutecznych terapii i zapobiegania rozprzestrzenianiu się oporności.
Leczenie malarii wymaga skrupulatności oraz dostosowania do indywidualnych przypadków i specyfiki regionu. Stosowanie zalecanych terapii oraz monitorowanie oporności na leki są kluczowymi elementami walki z tą chorobą i zapewnienia skutecznego i bezpiecznego leczenia pacjentów z malarią.
IX. Zapobieganie malarii
A. Środki ochrony indywidualnej
- Siatki przeciw komarom: Jednym z najskuteczniejszych środków profilaktycznych przeciwko malarii jest stosowanie moskitier, czyli siatek przeciwko komarom. Montaż siatki nad łóżkiem lub sypialnią zapewnia fizyczną barierę, która uniemożliwia komarom przenoszenie pasożytów malarii.
- Repelenty: Należy stosować środki odstraszające komary, czyli repelenty, które zawierają substancje odstraszające owady, takie jak DEET czy icaridin. Regularne stosowanie repelentów na skórę oraz odzież pomaga zmniejszyć ryzyko ukąszenia komarów zarażonych malarią.
- Odzież ochronna: Noszenie odzieży długorękawowej i długich spodni, zwłaszcza w godzinach wieczornych i nocnych, może zapewnić dodatkową warstwę ochrony przed ukąszeniami komarów.
B. Szczepionki przeciwko malarii
- Aktualny stan badań nad szczepionkami: Naukowcy stale prowadzą badania nad nowymi szczepionkami przeciwko malarii, aby opracować skuteczne metody zapobiegania tej chorobie. Ostatnie lata przyniosły postępy w zakresie rozwoju potencjalnie skutecznych szczepionek, które mogą zmniejszyć ryzyko zakażenia malarią.
- Szczepionka RTS,S: Jedną z najbardziej zaawansowanych szczepionek przeciwko malarii jest szczepionka RTS,S, która została opracowana dla dzieci i młodzieży. Szczepionka ta jest obecnie stosowana w ograniczonym zakresie w niektórych regionach, jako element strategii kontroli malarii.
Zapobieganie malarii jest kluczowym elementem w walce z tą chorobą zakaźną. Stosowanie środków ochrony indywidualnej, takich jak siatki przeciw komarom, repelenty i odzież ochronna, oraz rozwój skutecznych szczepionek przeciwko malarii są niezbędne do zmniejszenia liczby przypadków malarii i poprawy zdrowia publicznego.
X. Wpływ malarii na społeczeństwo
A. Ekonomiczne koszty malarii
- Malaria a gospodarka: Malaria ma ogromny wpływ na gospodarkę krajów endemicznych. Choroba ta prowadzi do obniżenia produktywności, wzrostu kosztów opieki zdrowotnej oraz utraty dni pracy zarówno przez pacjentów, jak i opiekunów chorych. Ponadto, inwestycje w zapobieganie i leczenie malarii absorbują znaczne środki finansowe, które mogłyby być przeznaczone na rozwój infrastruktury czy edukację.
- Koszty opieki zdrowotnej: Walka z malarią generuje znaczne koszty dla systemów ochrony zdrowia, które muszą zapewnić dostęp do skutecznych leczeń, diagnostyki oraz programów prewencyjnych. Brak odpowiedniej infrastruktury zdrowotnej w krajach endemicznych może prowadzić do wzrostu zanieczyszczenia środowiska i braku dostępu do leczenia, pogłębiając problem malarii.
B. Społeczne konsekwencje malarii
- Wpływ na społeczności: Malaria może przenosić się łatwo między ludźmi w społecznościach, co prowadzi do cyklicznego występowania choroby i trwałego obciążenia systemów zdrowia oraz społeczności lokalnych. Choroba ta może także tworzyć napięcia społeczne, zwłaszcza gdy zasoby medyczne są ograniczone, a dostęp do leczenia jest niewystarczający.
- Wpływ na edukację: Malaria może prowadzić do częstych absencji uczniów w szkołach, co ma negatywny wpływ na realizację programów edukacyjnych i rozwój intelektualny dzieci. Ponadto, konieczność opieki nad chorymi członkami rodziny może zmniejszać szanse na regularne uczęszczanie do szkół, ograniczając tym samym potencjał edukacyjny społeczności.
- Wpływ na produktywność: Z powodu malarii, ludzie często cierpią na spadek energii, zmęczenie, bóle ciała i gorączkę, co negatywnie wpływa na ich produktywność zawodową. Brak zdrowej siły roboczej może prowadzić do obniżenia wydajności pracy, wydłużenia czasu rekonwalescencji oraz zwiększenia absencji w miejscach pracy.
Wpływ malarii na społeczeństwo jest bardzo złożony i wymaga kompleksowych działań, zarówno na poziomie zdrowotnym, jak i społecznym. Świadomość konsekwencji malarii na gospodarkę, społeczności oraz edukację jest kluczowa dla opracowania skutecznych strategii przeciwdziałania tej chorobie zakaźnej.
XI. Inicjatywy globalne i walka z malarią
A. Organizacje międzynarodowe
- Światowa Organizacja Zdrowia (WHO) odgrywa kluczową rolę w koordynowaniu działań na całym świecie w celu zwalczania malarii. WHO działa m.in. poprzez opracowywanie globalnych wytycznych, wspieranie badań nad lekami oraz inicjatywami edukacyjnymi.
- Fundacja Billa i Melindy Gatesów aktywnie zaangażowana jest w walkę z malarią poprzez finansowanie badań nad lekami, programów prewencyjnych oraz dostarczanie środków zapobiegających rozprzestrzenianiu się choroby, takich jak siatki przeciwkomarowe.
B. Cele zrównoważonego rozwoju (SDGs)
Działania zmierzające do eliminacji malarii wpisują się w cele zrównoważonego rozwoju ONZ, zwłaszcza w cel numer 3 – „Zdrowie i dobre samopoczucie”. Eliminacja malarii przyczynia się do poprawy stanu zdrowia społeczeństw, co ma istotny wpływ na osiągnięcie innych celów zrównoważonego rozwoju, takich jak wyeliminowanie ubóstwa czy zapewnienie edukacji.
XII. Przyszłość w walce z malarią
A. Nowe technologie w walce z malarią
Nowe technologie odgrywają coraz większą rolę w walce z malarią. Niektóre innowacje technologiczne to:
- Edycja genów komarów: Wykorzystanie technologii CRISPR/Cas9 do zmiany genetycznego materiału komarów Anopheles, które przenoszą malarię. Poprzez edycję genów komarów możliwe jest wprowadzenie zmian, które mogą ograniczyć lub całkowicie zahamować przenoszenie malarii.
- Siatki przeciwkomarowe z nowoczesnymi środkami owadobójczymi: Opracowywanie siatek przeciwkomarowych z nowoczesnymi środkami owadobójczymi może skutecznie zapobiegać atakom komarów i zmniejszyć transmisję malarii.
B. Prognozy i wyzwania
Wyzwania w eliminacji malarii obejmują m.in. odporność na leki, zmiany klimatyczne sprzyjające rozprzestrzenianiu się choroby, trudności w dotarciu z interwencjami do odległych społeczności oraz brak infrastruktury zdrowotnej w niektórych regionach.
Niemniej jednak, dzięki postępowi w badaniach naukowych, rozwijaniu nowych technologii oraz zwiększonemu zaangażowaniu międzynarodowych organizacji i rządów, istnieją prognozy na przyszłość, że eliminacja malarii stanie się możliwa. Wdrażanie skutecznych strategii prewencyjnych, leczenia oraz monitorowanie rozprzestrzeniania się choroby mają szansę zmniejszyć jej wpływ na społeczności i przyczynić się do zmniejszenia zachorowań na malarię.
XIII. Podsumowanie
A. Kluczowe wnioski i przyszłe kroki
Podsumowując, kluczowe wnioski dotyczące walki z malarią obejmują:
- Konieczność dalszego rozwoju i implementacji nowych technologii w zwalczaniu malarii, takich jak edycja genów komarów czy technologie zapobiegające ukąszeniom owadów przenoszących chorobę.
- Wyzwania związane z eliminacją malarii, takie jak odporność na leki, zmiany klimatyczne i trudności w dotarciu z interwencjami zdrowotnymi do wszystkich społeczności.
- Potrzebę ciągłego zaangażowania międzynarodowych organizacji, rządów oraz społeczności lokalnych w działania mające na celu kontrolowanie i eliminację malarii.
Przyszłe kroki w walce z malarią powinny obejmować:
- Intensyfikację prac badawczych i rozwojowych mających na celu opracowanie skuteczniejszych leków, szczepionek oraz technologii zwalczających malarię.
- Zwiększenie działań prewencyjnych, takich jak promowanie używania siatek przeciwkomarowych, eliminacja źródeł wody, które stanowią środowisko rozwoju larw komarów oraz edukacja społeczna na temat profilaktyki i objawów malarii.
- Wspieranie inicjatyw globalnych mających na celu spłaszczenie krzywej zachorowalności na malarię i dążenie do jej ostatecznej eliminacji.
Podsumowując, walka z malarią wymaga zaangażowania wielu dziedzin i podmiotów, ale poprzez zintegrowane działania oparte na najnowszych technologiach i badaniach naukowych, istnieje szansa na ograniczenie wpływu tej choroby i osiągnięcie celu eliminacji malarii na świecie.
XIV. Najczęściej zadawane pytania (FAQ)
A. Czy można całkowicie wyeliminować malarię?
Wyeliminowanie malarii jest wyzwaniem, ale możliwe do osiągnięcia. Wiele krajów podejmuje działania mające na celu kontrolowanie i eliminację malarii poprzez programy immunizacji, leczenie chorych, zapobieganie ukąszeniom komarów i edukację społeczeństwa. Globalne inicjatywy, takie jak Roll Back Malaria Partnership, zmierzają do całkowitego wyeliminowania malarii do 2030 roku.
B. Jakie są różnice między różnymi gatunkami pasożytów Plasmodium?
Występuje kilka gatunków pasożytów Plasmodium odpowiedzialnych za malarię, z których najgroźniejsze dla ludzi są Plasmodium falciparum i Plasmodium vivax. Plasmodium falciparum jest bardziej śmiertelny i prowadzi do cięższych objawów, podczas gdy Plasmodium vivax może przejść w stan uśpiony w wątrobie i prowadzić do nawrotów zakażenia.
C. Dlaczego malaria jest tak trudna do opanowania?
Malaria jest trudna do opanowania z powodu wielu czynników, w tym szybkiej adaptacji komarów Anopheles przenoszących chorobę do nowych warunków, rosnącej odporności pasożytów na leki, braku dostępu do skutecznych opiek zdrowotnej, oraz złożoności interakcji między człowiekiem, owadami i środowiskiem.
D. Czy istnieją skuteczne szczepionki przeciwko malarii?
Obecnie istnieje tylko jedna zatwierdzona przez WHO szczepionka przeciwko malarii, jaką jest RTSS/AS01 (Mosquirix). Szczepionka ta nie zapewnia całkowitej ochrony, ale może zmniejszyć ryzyko zachorowania na malarię u dzieci. Trwają również badania nad nowymi szczepionkami przeciwko malarii.
E. Jak mogę chronić się przed malarią w podróży?
Podróżując do krajów, gdzie istnieje ryzyko zachorowania na malarię, ważne jest stosowanie środków ochrony osobistej, takich jak noszenie odzieży zakrywającej ciało, korzystanie z repelentów przeciwkomarowych, spanie pod siatką przeciwko komarom oraz profilaktyczne stosowanie leków przeciwmalarycznych zgodnie z zaleceniami lekarza specjalisty ds. tropikalnych chorób zakaźnych.
