I. Wprowadzenie do choroby Bowena
A. Definicja i charakterystyka

Choroba Bowena jest rzadkim typem raka skóry, który rozwija się na powierzchni skóry lub błon śluzowych. Jest to forma raka in situ, co oznacza, że dotknięte obszary skóry lub błony śluzowej zawierają zmienione komórki nowotworowe, ale nie przerzutowe jeszcze do innych części ciała.
B. Historia odkrycia choroby
Choroba Bowena została nazwana na cześć Johna T. Bowena, amerykańskiego dermatologa, który po raz pierwszy opisał tę chorobę w 1912 roku. Od tego czasu, badania i leczenie choroby Bowena znacząco się rozwinęły.
C. Znaczenie edukacji i świadomości społecznej
Edukacja i świadomość społeczna odgrywają kluczową rolę w walce z chorobą Bowena. Ważne jest, aby ludzie zdawali sobie sprawę z czynników ryzyka związanych z tą chorobą, jak również znaczenia regularnych badań skórnych. Podnoszenie świadomości może pomóc w wczesnym wykryciu i leczeniu choroby, poprawiając tym samym prognozy pacjentów.
II. Etiologia choroby Bowena
A. Czynniki genetyczne
Istnieje pewne dziedziczenie skłonności do choroby Bowena, co sugeruje, że czynniki genetyczne mogą odgrywać rolę w jej rozwoju. Osoby mające historię rodzinnej choroby Bowena mogą być bardziej podatne na jej wystąpienie. Jednak dokładne geny związane z tą chorobą nie zostały jeszcze zidentyfikowane i badania w tej dziedzinie są wciąż prowadzone.
B. Czynniki środowiskowe
Czynniki środowiskowe mogą również przyczyniać się do rozwoju choroby Bowena. Na przykład, narażenie na promieniowanie UV jest uważane za jedną z głównych przyczyn tej choroby, dlatego osoby pracujące na zewnątrz, które są narażone na długotrwałe działanie promieniowania UV, są bardziej podatne na jej wystąpienie. Inne czynniki środowiskowe, takie jak palenie tytoniu i używanie solarium, również mogą zwiększać ryzyko wystąpienia choroby Bowena.
III. Czynniki ryzyka
A. Ekspozycja na promieniowanie UV
Szeroka ekspozycja na promieniowanie ultrafioletowe (UV) jest uważana za jeden z głównych czynników ryzyka wystąpienia choroby Bowena. Długotrwałe narażenie skóry na promieniowanie UV zwiększa ryzyko rozwoju zmian nowotworowych, w tym choroby Bowena. Dlatego osoby pracujące na zewnątrz lub te, które bez odpowiedniej ochrony korzystają z słońca, są bardziej narażone.
B. Wpływ infekcji wirusem HPV
Wirus ludzkiego brodawczaka (HPV) jest również identyfikowany jako czynnik ryzyka choroby Bowena. Niektóre szczepy wirusa HPV mogą zwiększać ryzyko rozwoju nowotworów skóry, w tym tej specyficznej choroby. Zakażenie wirusem HPV może zwiększyć podatność na rozwój choroby Bowena, zwłaszcza w przypadku osób o obniżonej odporności.
C. Inne czynniki ryzyka
Inne czynniki ryzyka obejmują palenie tytoniu, stosowanie solarium, obniżoną odporność, starszy wiek, a także predyspozycje genetyczne. Palenie tytoniu i stosowanie solarium mogą zwiększać ryzyko rozwoju zmian nowotworowych i powinny być unikane. Dodatkowo, osoby z obniżoną odpornością, takie jak pacjenci po przeszczepie narządów lub chorzy na HIV, są bardziej narażone na rozwój choroby Bowena.
IV. Objawy kliniczne choroby Bowena
A. Wczesne objawy
Wczesne objawy choroby Bowena obejmują występowanie czerwonych, nieprawidłowych plam na skórze, które mogą być łuszczące się lub pokryte strupami. Te plamy mogą być łagodne i mogą wywoływać świąd, ale często nie są bolesne. Mogą pojawić się na obszarach skóry narażonych na słońce, takich jak twarz, szyja, ramiona i nogi. Nieleczona choroba Bowena może rozwijać się w bardziej zaawansowaną postać.
B. Zaawansowane objawy
Zaawansowane objawy choroby Bowena mogą obejmować powstanie grubej, łuszczącej się, czerwonej skorupy lub guza na skórze. Może istnieć krwawienie z tych zmian, a skóra wokół nich może być zgrubiała. W zaawansowanych przypadkach może dojść do owrzodzeń lub nadżerek, co jest związane z większym ryzykiem zakażenia. Ważne jest, aby monitorować zmiany na skórze i jak najszybciej skonsultować się z lekarzem w przypadku wystąpienia niepokojących objawów.
V. Diagnostyka choroby Bowena
A. Badanie fizykalne
Badanie fizykalne jest często pierwszym krokiem w diagnostyce choroby Bowena. Podczas badania lekarz może zauważyć nieprawidłowe plamy lub guzki na skórze pacjenta. Ważne jest dokładne zbadanie całej skóry, ponieważ choroba Bowena może występować na różnych obszarach ciała. Jeśli zostaną zidentyfikowane niepokojące zmiany, lekarz może zalecić dalsze badania.
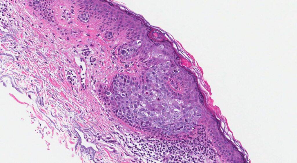
B. Badania histopatologiczne
Badania histopatologiczne czyli badanie mikroskopowe tkanki skórnej pobranej w wyniku biopsji są kluczowe w potwierdzeniu diagnozy choroby Bowena. Pod mikroskopem patolog ocenia charakterystyczne cechy zmiany, takie jak atypowe komórki w naskórku, zanik śródnaskórkowy i obecność nacieków komórek nowotworowych na granicy brodawki skórnej. Wyniki takiego badania umożliwiają lekarzowi ustalenie właściwego leczenia.
C. Inne metody diagnostyczne
W przypadkach, w których występują podejrzenia o rozprzestrzenianiu się choroby Bowena lub obecności innych zmian nowotworowych, lekarz może zalecić dodatkowe metody diagnostyczne, takie jak badania obrazowe (np. zdjęcie rentgenowskie lub tomografia komputerowa), badania krwi (np. oznaczanie markerów nowotworowych) lub badania w celu oceny ogólnego stanu zdrowia pacjenta. Te dodatkowe badania mogą być przeprowadzane w celu ustalenia odpowiedniego planu leczenia i monitorowania pacjenta.
VI. Naturalny przebieg choroby Bowena
A. Progresja choroby
Choroba Bowena ma różny naturalny przebieg i może się różnie rozwijać u różnych pacjentów. W niektórych przypadkach, plamy lub guzki związane z chorobą Bowena mogą pozostać stabilne przez długi czas, nie powodując większych objawów ani komplikacji. Jednak u innych pacjentów zmiany mogą stopniowo się powiększać, proliferując i zajmując większe obszary skóry. Istnieje też ryzyko rozwoju skórnego raka płaskokomórkowego związanego z chorobą Bowena. Ważne jest monitorowanie zmian na skórze i regularne kontrole u lekarza w celu zdiagnozowania i zatrzymania progresji choroby.
B. Potencjalne powikłania
Choć większość przypadków choroby Bowena nie powoduje poważnych powikłań, nadal istnieje ryzyko wystąpienia niektórych komplikacji. Nieleczona lub zaawansowana choroba Bowena może prowadzić do rozwoju owrzodzeń lub nadżerek na skórze, co zwiększa ryzyko zakażenia. Istnieje również ryzyko transformacji choroby Bowena w skórny rak płaskokomórkowy, szczególnie w przypadkach, gdy zmiany są duże, głębokie lub nieleczone przez długi czas. Ważne jest, aby skonsultować się z lekarzem i rozważyć odpowiednie leczenie i monitorowanie w celu zapobiegania lub minimalizacji potencjalnych powikłań.
VII. Choroba Bowena a inne nowotwory skóry
A. Różnicowanie z rakiem kolczystokomórkowym
Różnicowanie między chorobą Bowena a rakiem kolczystokomórkowym jest istotne ze względu na podobieństwo objawów i cech histopatologicznych. Zarówno choroba Bowena, jak i rak kolczystokomórkowy mogą objawiać się jako czerwone plamy, guzki lub owrzodzenia na skórze. Jednak raka kolczystokomórkowego cechuje większa atypia komórkowa, bardziej agresywny wzrost i większe ryzyko przerzutów. W celu różnicowania między tymi dwoma nowotworami, konieczne jest przeprowadzenie dokładnej oceny klinicznej, badania dermatoskopowego oraz badania histopatologicznego.
B. Różnicowanie z innymi stanami przednowotworowymi
Istnieje kilka stanów przednowotworowych skóry, które mogą mieć podobne objawy do choroby Bowena, takie jak łuszczyca, rogowacenie słoneczne czy łojotokowe zapalenie skóry. Różnicowanie choroby Bowena od innych stanów przednowotworowych skóry jest istotne dla właściwej diagnostyki i leczenia. Badanie dermatoskopowe oraz pobranie wycinka skóry do badania histopatologicznego są kluczowe w ustaleniu dokładnej diagnozy.
W przypadkach podejrzenia choroby Bowena lub innych zmian skórnych, zalecane jest jak najszybsze skonsultowanie się z lekarzem dermatologiem w celu odpowiedniej oceny i ewentualnego podjęcia dalszych działań diagnostycznych i terapeutycznych.
VIII. Leczenie chirurgiczne
A. Wycięcie chirurgiczne
Wycięcie chirurgiczne, znane również jako eksycja, jest jednym z głównych sposobów leczenia choroby Bowena. Procedura polega na chirurgicznym usunięciu zmiany skórnej (plamy lub guzka) związaną z chorobą Bowena ze zdrową tkanką otaczającą zmianę. W przypadkach, gdy zmiany są niewielkie lub ograniczone, wycięcie chirurgiczne może być skuteczną metodą leczenia, zapewniając jednocześnie możliwość przeprowadzenia badania histopatologicznego wyciętej tkanki w celu potwierdzenia całkowitego usunięcia zmiany.
B. Kriochirurgia
Kriochirurgia, nazywana również krioterapią, jest techniką leczenia, która polega na zamrażaniu zmian skórnych za pomocą ciekłego azotu lub innych substancji chłodzących. W przypadku choroby Bowena, kriochirurgia może być stosowana do zniszczenia zmian skórnych poprzez ich zamrożenie. Procedura ta jest stosunkowo prosta, często przeprowadzana w warunkach ambulatoryjnych i może być skuteczną opcją terapeutyczną w przypadku pojedynczych zmian skórnych.
C. Laseroterapia
Laseroterapia stanowi alternatywną metodę leczenia choroby Bowena, polegającą na zastosowaniu światła laserowego do niszczenia zmian skórnych. Istnieje kilka rodzajów laserów, które mogą być używane do leczenia choroby Bowena, w tym laser dwutlenku węgla (CO2) i laser argonowy. Zaletą laseroterapii jest precyzyjne i selektywne niszczenie zmian skórnych, co może być szczególnie przydatne w przypadku zmian umiejscowionych na trudno dostępnych obszarach skóry lub wrażliwych miejscach, takich jak twarz. Laseroterapia może być skuteczną opcją, szczególnie w przypadku niemożliwości zastosowania innych metod leczenia lub w przypadku wielokrotnych zmian skórnych.
IX. Leczenie niechirurgiczne
A. Terapia fotodynamiczna
Terapia fotodynamiczna (PDT) jest metodą leczenia, która polega na zastosowaniu substancji światłoczułych (fotosensybilizatorów) i naświetlaniu zmian skórnych światłem o odpowiedniej długości fali. W przypadku choroby Bowena, fotosensybilizator jest nakładany na zmianę skórną, a następnie obszar jest naświetlany światłem, co prowadzi do reakcji chemicznej, niszczenia komórek nowotworowych i zmiany skórnej. Terapia fotodynamiczna może być skuteczną opcją terapeutyczną, szczególnie w przypadku rozległych zmian lub gdy istnieje ryzyko nawrotu.
B. Radioterapia
Radioterapia jest metodą leczenia, która polega na zastosowaniu promieniowania jonizującego do niszczenia komórek nowotworowych. W przypadku choroby Bowena, radioterapia może być stosowana w postaci promieniowania wiązki elektronowej lub promieniowania rentgenowskiego, skoncentrowanego na zmianach skórnych. Procedura ta może być stosowana szczególnie w przypadku trudno dostępnych lub obszernych zmian skórnych, a także w sytuacjach, gdy inne metody leczenia są niewskazane.
C. Terapia farmakologiczna
Terapia farmakologiczna choroby Bowena może obejmować zastosowanie miejscowych leków stosowanych topikalnie, takich jak kwas 5-fluorouracylowy (5-FU), imikwimod, kwas trichlorooctowy (TCA) lub kwas salicylowy. Te substancje mogą być stosowane do bezpośredniego leczenia zmian skórnych związanych z chorobą Bowena. Ponadto, w niektórych przypadkach, lekarz może zalecić doustne leki przeciwnowotworowe lub immunomodulacyjne w celu leczenia zaawansowanych lub rozległych postaci choroby Bowena.
W przypadku podejrzenia lub diagnozy choroby Bowena, istotne jest skonsultowanie się z lekarzem dermatologiem w celu omówienia najodpowiedniejszych opcji leczenia z uwzględnieniem indywidualnej sytuacji pacjenta oraz cech i lokalizacji zmian skórnych.
X. Nowoczesne metody leczenia
A. Immunoterapia
Immunoterapia jest metodą leczenia, która polega na zastosowaniu leków, które wykorzystują naturalne mechanizmy obronne organizmu do walki z chorobami, w tym z chorobą Bowena. W przypadku choroby Bowena, immunoterapia może polegać na stosowaniu leków, które wzmacniają reakcję układu odpornościowego organizmu, zwalczając tym samym komórki nowotworowe. Dwa główne rodzaje leków stosowanych w immunoterapii to interferon i interleukiny.
B. Terapie celowane
Terapie celowane to metody leczenia, które skupiają się na celowym niszczeniu określonych cząsteczek lub receptorów, które zachodzą w organizmie w wyniku choroby. W przypadku choroby Bowena, terapie celowane mogą polegać na zastosowaniu leków, które hamują określone szlaki sygnalizacyjne, odpowiedzialne za wzrost i rozwój komórek nowotworowych. Przykłady terapii celowanych stosowanych w leczeniu choroby Bowena to inhibitory kinazy tyrozynowej oraz leki hamujące angiogenezę.
XI. Profilaktyka choroby Bowena
A. Ochrona przed słońcem
Ochrona przed słońcem jest kluczowym elementem profilaktyki choroby Bowena, ponieważ narażenie skóry na promieniowanie UV może zwiększać ryzyko jej rozwoju. Osoby mające skłonność do choroby Bowena powinny unikać nadmiernego wystawiania skóry na słońce, szczególnie w godzinach największego nasłonecznienia (10:00-16:00). Należy stosować kremy z filtrem UV, nosić nakrycie głowy i odpowiednią odzież ochronną oraz korzystać z cieniutkich.
B. Szczepienia przeciwko HPV
Choroba Bowena jest często związana z zakażeniem wirusem brodawczaka ludzkiego (HPV), szczególnie typem wirusa HPV 16. Dlatego też jednym z elementów profilaktyki tego schorzenia jest szczepienie przeciwko HPV. Dostępne szczepionki przeciwko wirusowi HPV mogą zapobiegać infekcji i zmniejszyć ryzyko rozwoju choroby Bowena. Szczepienia są zalecane zarówno dla młodzieży, jak i dla osób dorosłych, szczególnie jeśli istnieje zwiększone ryzyko zakażenia wirusem HPV.
Profilaktyka choroby Bowena ma duże znaczenie w zapobieganiu rozwojowi tej choiny skórnej oraz zmniejszaniu ryzyka jej nawrotu. Regularne monitorowanie zmian na skórze, unikanie nadmiernego nasłonecznienia oraz podjęcie odpowiednich działań, takich jak szczepienia przeciwko HPV, mogą pomóc w zmniejszeniu ryzyka zachorowania na chorobę Bowena. W razie jakichkolwiek podejrzeń dotyczących zmian skórnych, zawsze warto skonsultować się z lekarzem dermatologiem.
XII. Edukacja i świadomość społeczna
A. Kampanie edukacyjne
Kampanie edukacyjne są ważnym elementem zwiększania świadomości społecznej na temat choroby Bowena. Kampanie te są często przeprowadzane przez organizacje zajmujące się zdrowiem skóry i mają na celu zwiększenie świadomości na temat objawów, ryzyka i sposobów profilaktyki tej choroby. Takie kampanie mogą być prowadzone przez różne organizacje i instytucje, takie jak fundacje, towarzystwa dermatologiczne, szpitale czy krajowe programy zdrowotne.
B. Rola lekarzy i organizacji zdrowotnych
Lekarze dermatolodzy odgrywają kluczową rolę w profilaktyce, diagnostyce i leczeniu choroby Bowena. To właśnie oni są w stanie ocenić stan pacjenta i zalecić odpowiednie działania, jeśli pojawią się podejrzenia dotyczące zaawansowania choroby Bowena lub jej powikłań. Organizacje zdrowotne, takie jak towarzystwa dermatologiczne, również mają istotne znaczenie w zapewnieniu rzetelnej informacji na temat choroby Bowena dla pacjentów oraz w przeprowadzaniu badań i badań klinicznych.
XIII. Aktualne badania nad chorobą Bowena
A. Nowe odkrycia genetyczne
Badania genetyczne nad chorobą Bowena mają na celu lepsze zrozumienie mechanizmu powstawania tej choroby oraz identyfikację czynników ryzyka związanego z jej rozwojem. Nowe odkrycia genetyczne mogą pomóc lekarzom w diagnozowaniu choroby Bowena, określaniu jej przebiegu oraz personalizacji terapii. Identyfikacja konkretnych mutacji genetycznych może również otworzyć drogę do nowych metod leczenia, ukierunkowanych na konkretne cechy molekularne tej choroby.
B. Innowacje w metodach leczenia
Aktualne badania nad chorobą Bowena skupiają się również na poszukiwaniu innowacyjnych metod leczenia. Nowe terapie, takie jak terapie celowane, immunoterapie czy terapie genowe, są badane pod kątem ich skuteczności w zwalczaniu choroby Bowena. Innowacyjne metody leczenia mogą oferować pacjentom skuteczniejsze i bardziej bezpieczne alternatywy w porównaniu do tradycyjnych metod, takich jak krioterapia czy chirurgiczne usuwanie zmian skórnych.
XIV. Przyszłe kierunki badań
A. Potencjalne terapie
W przyszłości badania nad chorobą Bowena mogą prowadzić do opracowania nowych terapii, które będą bardziej skuteczne i bezpieczne dla pacjentów. Jednym z potencjalnych kierunków badań nad chorobą Bowena jest rozwój terapii genowych. Terapia genowa polega na wprowadzeniu do organizmu pacjenta białka lub sekwencji DNA w celu poprawienia funkcjonowania uszkodzonych komórek. Innym potencjalnym kierunkiem badań jest rozwój immunoterapii, która wykorzystuje naturalne mechanizmy obronne organizmu do walki z chorobą.
B. Nowe technologie diagnostyczne
Kolejnym kierunkiem badań nad chorobą Bowena jest rozwój nowych technologii diagnostycznych, które umożliwią szybką i skuteczną diagnozę choroby. Obecnie najpopularniejszą metodą diagnostyczną jest biopsja skóry, ale ta technika może wiązać się z pewnymi ograniczeniami i ryzykiem powikłań. W przyszłości technologie, takie jak obrazowanie molekularne, badania przesiewowe za pomocą biomarkerów lub analiza obrazów z wykorzystaniem sztucznej inteligencji, mogą pomóc w dokładniejszej i bardziej precyzyjnej diagnozie choroby Bowena.
XV. Podsumowanie
A. Kluczowe informacje
- Choroba Bowena to rzadki typ raka skóry, który rozwija się w warstwie naskórka. Swoją nazwę zawdzięcza Johnowi Bowenu, który opisał tę chorobę w 1912 roku. Choroba Bowena charakteryzuje się powstawaniem czerwonych, niebolesnych, łuskowatych plam na skórze, które mogą ewoluować w zmiany nowotworowe. Czynnikiem ryzyka rozwoju choroby Bowena są m.in. nadmierna ekspozycja na promieniowanie słoneczne oraz zakażenie wirusem brodawczaka ludzkiego (HPV).
B. Znaczenie wczesnej diagnostyki i leczenia
- Wczesna diagnostyka i leczenie choroby Bowena odgrywają kluczową rolę w zapobieganiu rozwojowi zmian nowotworowych i poprawie rokowań. Regularne badanie skóry oraz wizyty u dermatologa mogą pomóc w wczesnym wykryciu choroby Bowena, co z kolei umożliwi szybsze wdrożenie leczenia. Wczesne stadium choroby Bowena może być skutecznie leczone, a odpowiednia interwencja może zapobiec jej progresji do bardziej zaawansowanego raka skóry.
C. Wpływ edukacji na prewencję choroby
- Edukacja na temat choroby Bowena może odgrywać kluczową rolę w prewencji i wczesnym wykrywaniu tej choroby. Poprawna informacja na temat czynników ryzyka, wskazówek dotyczących ochrony przed promieniowaniem UV oraz regularnych badań kontrolnych może przyczynić się do zmniejszenia liczby przypadków choroby Bowena. Kampanie edukacyjne skierowane do społeczeństwa oraz szkolenia dla personelu medycznego mogą zwiększyć świadomość oraz umiejętność rozpoznawania objawów i zmian skórnych związanych z chorobą Bowena.
Podsumowując, wczesna diagnostyka i leczenie choroby Bowena, a także edukacja na temat tej choroby, są kluczowe dla zmniejszenia jej wpływu i poprawy rokowań dla pacjentów. Wiedza na temat czynników ryzyka oraz wskazówek dotyczących ochrony skóry przed szkodliwym promieniowaniem UV może przyczynić się do zmniejszenia liczby zachorowań na chorobę Bowena. Wdrażanie skutecznych programów edukacyjnych i zwiększanie świadomości społecznej może odegrać istotną rolę w prewencji tej choroby.
XVI. Najczęściej zadawane pytania (FAQ)
A. Co to jest choroba Bowena?
- Choroba Bowena to rzadki typ raka skóry, który rozwija się w warstwie naskórka. Może manifestować się jako czerwone, łuskowate plamy na skórze, które mają potencjał do przekształcenia się w zmiany nowotworowe. Nazwa choroby pochodzi od lekarza, który opisał ją po raz pierwszy, Johna Bowena, i została po raz pierwszy opisana w 1912 roku.
B. Jakie są najczęstsze objawy choroby Bowena?
- Najczęstszym objawem choroby Bowena są czerwone, niebolesne i łuskowate plamy na skórze. Mogą one występować na różnych obszarach ciała, zazwyczaj na ekspozycji na słońce, takich jak twarz, ręce i nogi.
C. Jakie są główne czynniki ryzyka choroby Bowena?
- Główne czynniki ryzyka rozwoju choroby Bowena to nadmierne narażenie na promieniowanie słoneczne oraz zakażenie wirusem brodawczaka ludzkiego (HPV). Ponadto, osoby starsze, o jasnej karnacji, mające historię oparzeń słonecznych oraz osoby z obniżoną odpornością mają zwiększone ryzyko rozwoju tej choroby.
D. Jakie metody diagnostyczne są stosowane w przypadku choroby Bowena?
- Diagnostyka choroby Bowena opiera się głównie na badaniu dermatoskopowym oraz pobraniu wycinków skóry do badania histopatologicznego. Badania te pozwalają lekarzowi dokładnie ocenić zmiany skórne i potwierdzić diagnozę choroby Bowena.
E. Jakie są dostępne metody leczenia choroby Bowena?
- Metody leczenia choroby Bowena mogą obejmować krioterapię (zamrażanie zmian skórnych), terapię fotodynamiczną, leczenie miejscowe (za pomocą kremów lub maści), a także chirurgiczne usunięcie zmian skórnych.
F. Czy choroba Bowena może prowadzić do raka skóry?
- Tak, choć jest to rzadkie, choroba Bowena może ewoluować do bardziej zaawansowanego raka skóry, dlatego wczesna diagnoza i leczenie są kluczowe.
G. Jak można zapobiegać chorobie Bowena?
- Zapobieganie chorobie Bowena polega głównie na ochronie skóry przed nadmiernym narażeniem na promieniowanie UV poprzez stosowanie kremów z filtrem UV, unikanie bezpośredniego ekspozycji na słońce w godzinach największego nasilenia promieniowania oraz noszenie ochronnej odzieży.
H. Jakie są najnowsze badania i innowacje w leczeniu choroby Bowena?
- W obszarze badań nad nowymi metodami leczenia choroby Bowena, prowadzone są badania nad terapią skoncentrowaną na celach molekularnych, terapią biologiczną oraz terapią genową. Ponadto, badania nad nowymi substancjami aktywnymi stosowanymi w leczeniu miejscowym mogą prowadzić do rozwoju skuteczniejszych metod terapeutycznych.
I. Czy choroba Bowena jest dziedziczna?
- Nie ma dowodów na to, że choroba Bowena jest dziedziczna. Jednakże, niektóre osoby mogą mieć genetyczną predyspozycję do rozwoju zmian skórnych związanych z chorobą Bowena.
J. Jakie są różnice między chorobą Bowena a innymi chorobami skóry?
- Choroba Bowena jest zwykle klasyfikowana jako stan przedrakowy lub rak in situ, co oznacza, że komórki rakowe rozwijają się wyłącznie w warstwie naskórka. Odróżnia to chorobę Bowena od innych nowotworów skóry, które mogą być bardziej inwazyjne i przenikać do głębszych warstw skóry lub innych tkanek.
